The Curse of Knowledge: Improving Dental Patient Communication
Running a successful dental office requires a combination of clinical expertise, business acumen, and excellent communication skills. Keeping abreast of industry related business trends and continually adapting to changes is essential for long-term success. In a previous article, we discussed three common dental patient communication challenges in times of this age of information:
- Information overload
- Confirmation bias
- Immediate gratification.
If you think about it, all of these refer to how patients interact with information, but then there is an additional challenge, which is often invisible to our eyes. It has to do with how we as healthcare providers present information to the patient regarding their clinical condition or the potential avenues of treatment available to address it. This is the curse of dental knowledge; our expertise makes it difficult to see things from the patient’s point of view.
The Curse of Dental Knowledge: Why Dentists Must Overcome Cognitive Bias
A couple of years ago, I participated as a speaker and facilitator in a workshop of one of the leading dental implant companies in the world. The audience was comprised of regional managers as well as representatives whose job consists of continually visiting dentists from around the country, interacting with them and their offices and becoming their implant provider. In many cases, they developed a close, trustworthy relationship, which was conducive to developing a broad understanding of the dentist’s psyche, behavior, and consumption patterns.
After having an interesting interactive discussion with the group of about fifteen individuals, I asked the participants to fill the blank to the following question:
“I wish dentists would be more…”
There were some interesting answers associated to this question, but for the purpose of this article I would like to reflect on the following answer:
“I wish dentists would communicate in a simpler way to their patients.”
What was quite compelling about this particular response was that all the participants agreed that this is a huge area of opportunity.
I must admit that this response was not all that new to me, as it had been brought to my attention before. I have also been guilty of it in the past. The notion they are referring to has been extensively researched in the behavioral psychology world and it is known as the curse of knowledge. This is a cognitive bias that causes people to fail to properly understand the perspective of those who do not have as much information as them.
Therefore, an expert in any field might struggle to teach beginners, because the expert intuitively assumes that what may be obvious to them is also obvious to others, even though that’s not the case.
An Examination of Two-Way Communication with “The Tapping Study”
One well-known example of the curse of knowledge was carried out at Stanford University in 1990 as part of Elizabeth Newton’s PhD dissertation, and it is known as “The Tapping Study.” In this study, participants were randomly assigned to be either a tapper or a listener. Each tapper finger-tapped three tunes (which were selected from a list of twenty-five well-known songs) on a desk. They were then asked to estimate the probability that the listener would be able to successfully identify the song that they tapped, based only on the finger tapping.
On average, tappers estimated that listeners would be able to correctly identify the tunes that they tapped in about 50% of cases, with estimates ranging anywhere from 10% to 95%. However, in reality, listeners were able to successfully identify the tune based on the finger tapping in only 2.5% of cases. This was far below even the most pessimistic estimate provided by a tapper, and which therefore represents evidence of the curse of knowledge.
Furthermore, when tappers listened to the experimenter tap out the tunes that they had chosen, they still estimated that around 50% of people would be able to guess the tune that was being tapped by the experimenter, since they themselves had an easy time identifying those tunes. This was the case even when those original tappers were replaced by new people, who had never served as either a tapper or a listener. Overall, the tapping study demonstrates how the curse of knowledge can affect people’s judgment. Specifically, it shows that people who know which tune is being tapped have an easy time identifying it. Therefore, they struggle to accurately predict the perspective of others, who don’t have the same knowledge that they do.
Contemporary dentistry is an incredibly comprehensive profession; the curse of knowledge may manifest itself at various levels, posing challenges to effective communication, patient care, and professional collaboration.
Overcoming Dental Patient Communication Challenges
As dentists, we possess extensive knowledge of dental terminology, procedures, oral health, and technology and therefore often struggle to communicate effectively with patients. The use of technical jargon and complex explanations can leave patients feeling overwhelmed and confused. This communication barrier can hinder informed decision-making and compromise the dentist-patient relationship.
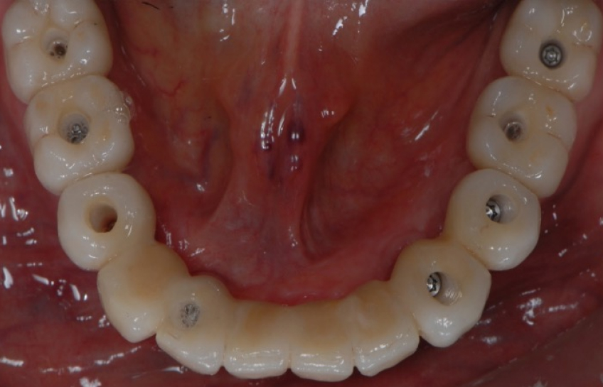
The following picture, depicts a prosthetic solution that can be described as:
- “Cad cam -generated.
- implant supported.
- screw retained.
- Segmented.
- Zirconia framework.
- Ceramic-layered reconstruction.

It becomes quite simple to fall into the curse of knowledge by solely listing the six elements of design that describe this prosthesis without providing fundamental background information on the materials and other specifications.
Allow me to provide a non-dental example of how challenging it was for me to bring my wife her sophisticated beverage of choice from Starbucks:
- Decaf
- Extra hot
- Double tall
- Non-fat
- Sugar free
- Lactose free
- Caramel macchiato

Clearly, one needs to be a connoisseur to even remember all these elements of design.
Joking aside, the rapid advancements in dental technology can contribute to the curse of knowledge, particularly when dentists are familiar with the latest tools and techniques. While these advancements enhance treatment outcomes, explaining complex technologies to patients in a way that they can comprehend becomes a challenge. Bridging this gap is essential to ensure that patients are well-informed and actively engaged in their oral health.
Ethical Considerations in Treatment Options
Dentists often face ethical dilemmas in presenting various treatment options to patients. The curse of knowledge may make it challenging to convey the potential risks and benefits of each option in a manner that patients can fully grasp. Striking a balance between providing comprehensive information and avoiding overwhelming details requires effective communication skills and a keen awareness of the patient’s level of understanding. This is particularly challenging when patients present to the dental clinic with what is known as terminal dentition (extremely debilitated dentition) requiring extensive implant treatment. It becomes quite difficult for the team to provide patients with a 360-degree context of what they can expect after treatment.
It is worth noting that in our globalized society, it becomes increasingly important to be culturally competent so that our communication and oral health information are accessible and relevant to a broad range of patients.
Continuing Education and Professional Collaboration
The curse of knowledge can also affect interactions among dental professionals. Highly specialized knowledge in specific areas of dentistry may lead to professional isolation and hinder interdisciplinary collaboration. Emphasizing the importance of continuing education and fostering a culture of collaboration can help break down silos and enhance overall patient care. The best remedy to level the playing field across the dental community is by assembling study clubs where the members can discuss patients’ treatment plans in a way that informs them about different areas, mitigating the described curse.
Here are some strategies to counteract the curse of dental knowledge.
- Use Plain Language: Avoid using jargon and technical terms without providing clear explanations. Use simple and understandable language to explain dental procedures, conditions, and treatment options.
Let’s compare the following two arguments:
| “Crown lengthening allows us to level the gingival architecture of the over-erupted central to a desired position, but based on the location of the CEJ, we would likely expose cementum, which may decrease the predictability of our bonded ceramic restorations.” | “When we perform crown lengthening to adjust your gum tissue, it might help us get the gum to the right place. However, considering the way your teeth are positioned, doing this could mean we end up revealing more of the root surface. This part called cementum, might become visible, and that might affect how well the dental materials we use stick to your teeth. This might make it a bit less reliable for a long-lasting restoration.” |
Clearly the second paragraph is more conducive to having more assertive communication with our patients.
- Visual Aids: Use visual aids such as diagrams, models, or charts to illustrate dental concepts. Visual representations can enhance understanding and make it easier for patients to grasp complex information.
- Spear Patient education videos: In my opinion, these videos represent the crown jewel as they present relevant and concise information using lay terminology quite easy to follow and relate to.
- Ask for Feedback: Encourage patients to ask questions and provide feedback on their understanding. This fosters an open communication channel and enables you to promptly address any confusion or misconceptions.
- Listen Actively: Pay attention to patient’s questions and concerns. Active listening helps you understand their perspective and allows you to tailor your explanations to meet their specific needs.
- Empathize: Acknowledge that dental information may be unfamiliar or overwhelming for some patients. Demonstrate empathy and patience to create a more comfortable environment for discussions.
- Provide Written Information: Offer written materials, brochures, or handouts that summarize important information. The patient education videos from Spear can be printed in a handout format for the patient to review these materials at their own pace and refer to them later.
- Use Analogies: Relate dental concepts to everyday experiences or analogies that patients can easily understand. This helps bridge the gap between their existing knowledge and the new information you’re providing.
- Train Staff: Ensure that all staff members, not just dentists, are aware of the curse of knowledge and practice effective communication strategies. Consistent communication throughout the entire dental team helps create a cohesive patient experience. This is why our Spear online membership has a robust collection of team meetings that allow the dental team to be up to speed with the best way to communicate with patients.
The curse of dental knowledge poses challenges in contemporary dentistry, affecting dental patient communication, collaboration among professionals, and ethical considerations in treatment planning. Dentists must actively work to mitigate these challenges by prioritizing effective communication, remaining humble in their expertise, and embracing continuous education and interdisciplinary collaboration.
Ricardo Mitrani, D.D.S., M.S.D., is a Spear Resident Faculty member.
SPEAR Membership
Learn Faster. Treat Better.
Whether you have 10 minutes or time to dive deeper, Spear Membership gives you the learning, tools, and support to keep improving.
Choose the level of support and structure that fits your goals.

By: Ricardo Mitrani
Date: June 18, 2024
Featured Digest articles
Insights and advice from Spear Faculty and industry experts


