Spear Digest
Learn From Our Blog Articles and Case Studies
Learn from Spear Faculty and partners through articles on occlusion, restorative dentistry, dental implants, esthetics, and more — insights that help you refine your skills and grow your practice.
-

- Treatment Planning
Orthodontic-Restorative Treatment Planning for an Esthetic Case
See how orthodontic-restorative treatment planning using FGTP principles delivered a conservative, predictable solution for a complex esthetic case.By Andy Janiga
• March 10, 2026
-

- Practice Team
Empowered Dental Hygienists Are Shaping the Future
Empowered dental hygienists are redefining care through leadership, collaboration, and whole-person dentistry, improving outcomes for patients and practices.By Machell Hoover
• February 24, 2026
-

- Finance
Dental Practice Trends 2026: Four Shifts to Watch
Explore top dental practice trends 2026, from flexible payments to culture and marketing strategies that build long-term practice resilience.By Judson Crawford
• February 10, 2026
-

- Restorative Dentistry
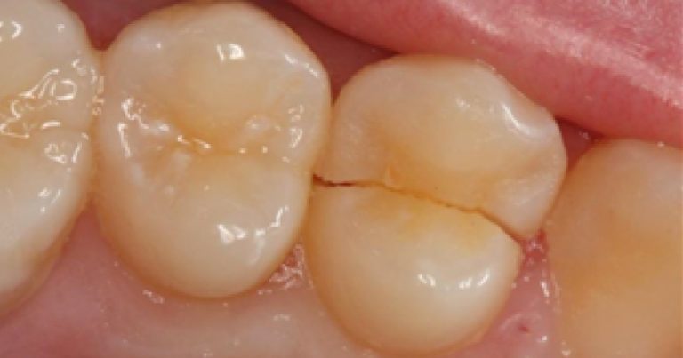
Diagnosing and Managing Cracked Tooth Syndrome
Cracked tooth syndrome overview covering diagnosis, crack types, testing methods, and prognosis to help dentists protect teeth and guide care.By Jeffrey Bonk
• January 27, 2026
-

- Treatment Planning
Comprehensive Dental Treatment Planning Starts With the Patient
Comprehensive dental treatment planning starts with understanding the person. Learn how better questions lead to care patients accept.By Ricardo Mitrani
• January 13, 2026
-

- Finance
Start 2026 Strong: 4 Financial Moves to Make Now
Dental practice financial planning tips to manage cash flow, increase profitability, and build long-term personal wealth heading into 2026.By Angie Svitak
• January 6, 2026
-

- Occlusion / Wear
Why Do Jaws Hurt? Rethinking Orofacial Pain in the 3D Imaging Era
Modern 3D imaging has upended the old belief that jaw pain is just stressed muscles, revealing a host of joint,…By Jim McKee
• December 30, 2025
-

- Techniques / Materials
Bonding Systems and Adhesive Strategy, Part 3
In the third installment of a series about bonding and adhesives, Dr. Jason Smithson compares etch-and-rinse and self-etch bonding strategies…By Jason Smithson
• December 16, 2025
No results found.
Your Journey to Great Dentistry
Starts Here!
Opt in to receive our biweekly newsletter spotlighting the latest articles, events, seminars, workshops, courses, free downloads, and more from Spear.

