When to Use Zirconia Abutments
Who does not, at least at times, want a tooth-colored abutment? It sounds great, until they break.
To be clear, zirconia abutments do have a place in my office. Case selection is important and when it comes to zirconia abutments, I would go one step further and say it is critical.
What is the biggest issue with zirconia abutments? It’s as simple as the above; they break easier than titanium abutments. Not all zirconia abutments are equal in their fracture resistance because some are 100% zirconia, including the connection to the implant. These are perhaps the most prone to fracture.
Other zirconia abutments have metal-cemented to zirconia, typically titanium or gold. The advantage of this type of design is that you can have a metal-to-metal interface of the abutment and implant, and the metal can support the zirconia. The disadvantages of this design are the risk of the metal base and the zirconia separating from each other, and any unsupported zirconia has a higher fracture risk.
Before using zirconia abutments, there are two conditions that must be met in this order:
1. Esthetics Demand a Tooth-Colored Abutment
If I don’t absolutely need a tooth-colored abutment, then zirconia is out, and I don’t even have to think about my second requirement. With a talented ceramist and today’s materials, you’re often able to meet even the highest esthetic demands without the use of zirconia abutments.
2. I Can Minimize Forces on the Abutments
If I must use a tooth-colored option, I do everything I can to control and minimize the forces on the abutment. And when I say minimize, I mean as much as possible!
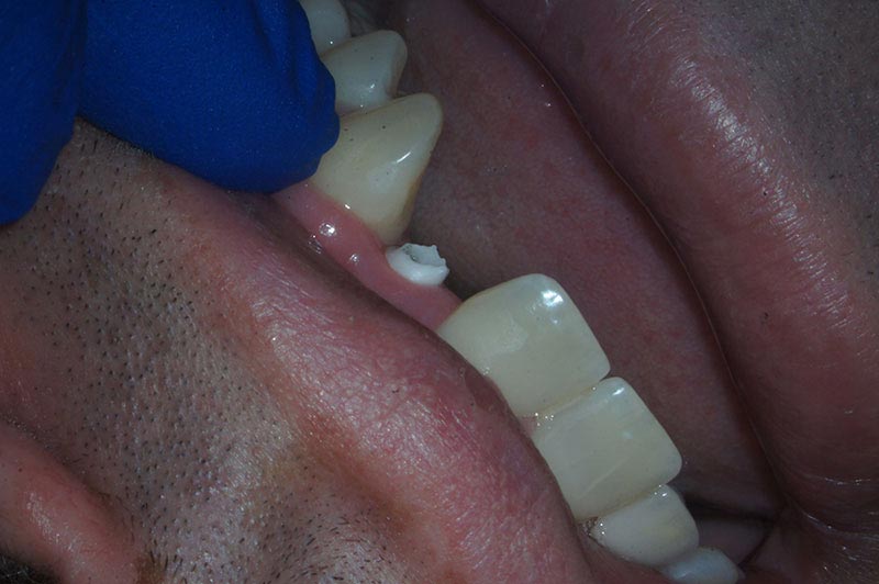
Do you think I am being paranoid? Let me share a case that was actually fit for the use of a zirconia abutment until something changed, resulting in a violation of rule #2 above and causing a relative disaster (though it could have been much worse).
This happened to my patient’s abutment within five days of a new crown placed by another dentist before the patient returned to see me, which violated condition #2.



It’s worth noting that this abutment had been in place for more than five years, just with a crown that minimized the forces on the abutment. Five days, that is all it took. Think about that the next time you’re planning your cases.
One great thing that happened here is that the abutment broke, so I could still grab it and remove it. Had it not broken, the implant itself could have been damaged. In a way, the weak link of the 100% zirconia abutment may have prevented a bigger problem.
Suppose you have met the above criteria and need a zirconia abutment. The next thing to consider is whether to use a fully monolithic or hybrid-style zirconia abutment.
In general, I prefer to use a hybrid style abutment, particularly if the case lends itself to fabricating a custom tall titanium base. This not only gives excellent retention to the zirconia structure but also supports it and lessens the chances of fracture compared to a 100% zirconia abutment.
SPEAR campus
Hands-On Learning in Spear Workshops
With enhanced safety and sterilization measures in place, the Spear Campus is now reopened for hands-on clinical CE workshops. As you consider a trip to Scottsdale, please visit our campus page for more details, including information on instructors, CE curricula and dates that will work for your schedule.

By: John Carson
Date: March 27, 2020
Featured Digest articles
Insights and advice from Spear Faculty and industry experts


