Color and Shade Selection for Anterior Composites
Composite restorations should emulate the optical characteristics of natural teeth. Theoretically, in the stratification technique, when replacing dentin, a dentin shade should be selected, when replacing enamel, an enamel shade should be used, and when replacing a translucent incisal edge, a translucent shade of composite would best be used. When viewing a tooth in a cross-sectional side view, it can be seen that the enamel is the thinnest at the gingival margin, and the dentin is close to the surface (higher-chroma area).1,2

Observation of the incisal aspects of the tooth, which are predominantly enamel, reveals a very translucent zone. This is because the dentin is very thin and the translucent enamel dominates the optical effects. When formulating a restoration in this zone, it would be beneficial to select a translucent shade of composite or create this simulation with an appropriate tint3,4 (e.g., Tokuyama Dental America, Estelite Color).

When formulating the appropriate stratification of composite shades to achieve the desired alteration in replacing the missing tooth structure, it’s best to use the composite material itself. Reference to a classic shade guide, such as the VITA shade guide, can be misleading. Creating a custom shade tab from the material itself will yield the most consistent results (e.g., Tokuyama Dental America, Estelite Omega, custom shade tabs).
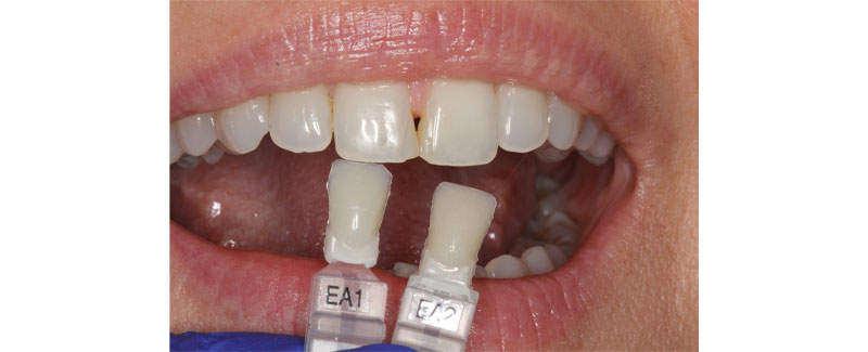
The first step is to select the basic shade from the middle one-third of the tooth. Place a small amount of composite on the tooth itself and light-cure. Next, select the gingival shade, which is usually a higher chroma than the middle third. For example, if the middle third of the tooth is Shade A1, the gingival shade may be Shade A1.5 or A2.5,6 (Figs. 3–5).


Finally, when selecting the incisal shade, it may be necessary to choose a more translucent shade, beyond the enamel shades to harmonize with the surrounding or adjacent tooth structure to create the desired effects.
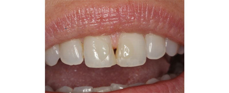
It’s best to complete this custom shade selection at the start of the appointment to avoid the effects of tooth dehydration. When a tooth dehydrates, the value typically increases and the perceived chroma decreases. When this is done, the result is a significant mismatch when the tooth rehydrates and returns to its natural state and shade. Understanding this principle will help to avoid the tendency of progressive correction during the layering process to make alterations to the shifting shade of the tooth. Once a preferred color mock-up is completed, the key is to trust it and commit to the formulation to ensure the best match.

References
- Terry DA. Natural Aesthetics with Composite Resin. Mahwah, NJ: Montage Media Corp.; 2004. pp 2–19.
- Chu SJ, Paravina RD, et al. Color in Dentistry: A Clinical Guide to Predictable Esthetics. Berlin: Quintessence Publishing; 2017. pp 70–89, 136–142.
- Fahl N. Mastering composite artistry to create anterior masterpieces, Part 1. Journal of Cosmetic Dentistry. 2010; 26(3):56–68.
- Fahl N. Mastering composite artistry to create anterior masterpieces, Part 2. Journal of Cosmetic Dentistry. 2011; 26(4):42-55.
- Finlay S. Stratification: An essential principle in understanding Class IV composite restorations. Journal of Cosmetic Dentistry. 2012; 28(1):32-34.
- Manauta J, Salat A. Layers: an Atlas of Composite Resin Stratification. Milan: Quintessence Publishing; 2012. pp 25–77.
SPEAR campus
Hands-On Learning in Spear Workshops
With enhanced safety and sterilization measures in place, the Spear Campus is now reopened for hands-on clinical CE workshops. As you consider a trip to Scottsdale, please visit our campus page for more details, including information on instructors, CE curricula and dates that will work for your schedule.

By: James Peyton
Date: May 8, 2019
Featured Digest articles
Insights and advice from Spear Faculty and industry experts


