Guidelines for Posterior Denture Teeth
Similar to the arguments of centric relation vs. “neuromuscular,” amalgam vs. composite, and metal vs. nonmetal restorations in dentistry, there is a debate about fully balanced vs. lingualized occlusal setups. Personally, I believe there are cases that call for either of these posterior occlusal schemes preferentially. However, there are some basic principles of setting posterior denture teeth that need to be considered in nearly every denture case, regardless of your favored philosophy.

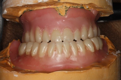
Just as with anterior denture teeth, many manufacturers make posterior denture teeth with varying characteristics and a variety of molds usually designed with cusp steepness of 0°, 10°, 20°, 22°, 30°, 33°, or even 40° with huge plunging maxillary lingual cusps! How can any reasonable dentist make the “right” choice? Each manufacturer will tell you why their molds and designs are best and even might cite research to support their decision.

In my opinion, a denture tooth should be durable — with about a seven-year expectancy of wear, because the average denture should be replaced approximately every 5–7 years due to bone and tissue changes. Dentures should come in a wide variety of sizes and molds and should have posterior occlusal table dimensions that are similar to natural teeth. Being available in Vita shades is critical in combination removable/fixed cases. Ideally, they would also have matching posterior and anterior shading (a problem with nearly every brand with which I have worked). Lastly, the first bicuspid lingual cusp should transition smoothly to the canine lingual anatomy. Unfortunately, I have not found a denture tooth company that makes a decent first maxillary bicuspid that transitions nicely on the palatal side from canine to posterior teeth — their palatal cusps are always too prominent.

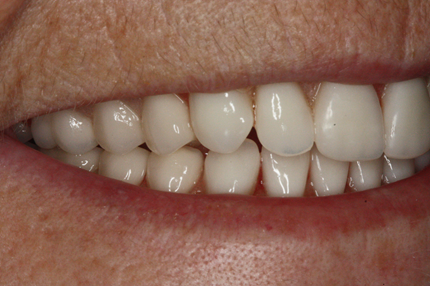
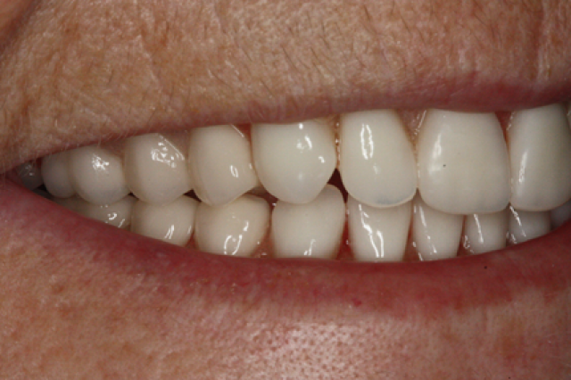
Incisors were reset chairside, per patient desires.
Here are some guidelines for selecting and positioning posterior denture teeth that I have found to aid in successful denture therapy:
- For skeletal Class I patients with severely resorbed ridges, use 10° teeth over 0° teeth, with a flat anterior-posterior and right-left plane extrapolated from the mandibular incisal edges to a bilateral point approximately two-thirds up the retromolar pads.
- Where the edentulous ridges are in crossbite, 0° teeth over 0° teeth work well and are reasonably esthetic.
- Be willing to mix and match posterior tooth molds to suit the anatomical needs of the patient for function. For example, it is often necessary to order two separate maxillary cards if there is a unilateral cross-bite — one with cusps and one without.
- Avoid setting teeth posterior to the upturn of the mandible behind the buccal shelf because dislodging forces will be created in function, and tissue entrapment of the buccal mucosa will likely occur.
- Teeth should always be set over the crest of the ridge — not out in space somewhere for esthetic benefit, because anatomy dictates function. In other words, put denture teeth where the bone says the natural ones would be, even if esthetics are compromised.
- View the maxillary first bicuspid as a transitional tooth in the arch, focusing more on developing a group function guidance scenario off the buccal triangular cusp than on making the lingual cusp occlude. In fact, it may be necessary to flatten or round the lingual cusp for patient comfort and/or speech pattern.
- Carefully consider articulation as well as occlusion. Articulation is how the prosthesis functions during chewing; occlusion is how the teeth come together in a static position, such as during swallowing. Appropriate articulation is the key to successful denture therapy.
- Avoid using cusps any steeper than 22° because complete denture wearers chew horizontally, with only a slight vertical component, in contrast to the “warped teardrop” chewing pattern in dentate patients. Steep cusps often create destabilizing interferences during denture articulation.
VIRTUAL SEMINARS
The Campus CE Experience
– Online, Anywhere
Spear Virtual Seminars give you versatility to refine your clinical skills following the same lessons that you would at the Spear Campus in Scottsdale — but from anywhere, as a safe online alternative to large-attendance campus events. Ask an advisor how your practice can take advantage of this new CE option.

By: Kevin Huff
Date: June 22, 2016
Featured Digest articles
Insights and advice from Spear Faculty and industry experts



