An Insidious Yet Often Missed Dental Wear Pattern

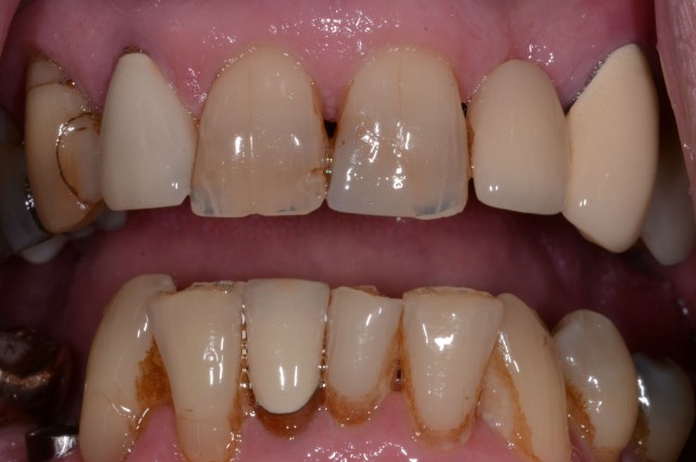
Do you have patients will incisal edges that look like this? Have you ever wondered how things got like this? Have patients ever asked you, “What happened and what we do know?”
Obviously if you have been practicing long enough the answer is yes.
So, what is going on here? What we see is pathway wear, otherwise known as wear due to a restricted envelope of function. This basically means your patient’s upper and lower teeth are creating too much friction against each other. If want to help your patients keep their teeth, keep reading for tips on how to handle pathway wear.
(Click here for a SpearTALK discussion on worn dentition.)
When we think about pathway wear the first thing to remember is that it’s much like any other dental issue in that the sooner we address it the easier and more predictable the treatment will be. The good news is that, just like most wear, the progression of pathway wear is much slower than a cavity. Sometimes it is even self-limiting and requires no treatment.
The bad news is that quite often it is not self-limiting. In fact, it can act like a negative feedback loop: As the pathway wear worsens, it results in increased friction that worsens the situation, which in turn increases the rate at which things get worse.
So this brings up the question, “How do we know when to do something rather than observing things?” For me the key here is making sure to look for pathway wear in my exams and taking photos like those that are taught at Spear Education in the Facially Generated Treatment Planning Workshop.
If we think about restricted pathways, one of three things will happen.
- If the restricted pathway was minor enough, then a little wear may be all that is needed to relieve things after which its progression will stop.
- The teeth will shift and relieve the restricted pathway, after which its progression will stop.
- The teeth will wear or fracture and collapse on themselves, thereby entering the negative feedback loop described above.
Clearly if the teeth wear slightly and resolve the restricted pathway, we don’t need to anything. It’s really if they shift to an unaesthetic position that the patient does not like or if they enter the negative feedback loop that we need to do something. The important thing here is to remember that while we don’t want to jump the gun and do treatment that is not needed, the sooner we identify when teeth have entered that negative feedback loop the better. This is where the photos I mentioned above or even simple intraoral pictures like the one below come into play. If we use these document and observe our patients’ wear patterns, we can know if things have stabilized or not.

If we catch things early, the fix is usually easier and more predictable. If the wear is minor enough, we can often correct the bite with orthodontics and simply restore the worn areas where needed with bonding. If, on the other hand, things are allowed to progress like shown in the first picture above, much more extensive treatment can be needed.
Click this link for more on how to think about wear cases and to simplify bonding. Or you can click here for a lesson on the etiologies of tooth wear.
John R. Carson, D.D.S., P.C., Spear Visiting Faculty and Contributing Author www.johncarsondds.com
FOUNDATIONS MEMBERSHIP
New Dentist?
This Program Is Just for You!
Spear’s Foundations membership is specifically for dentists in their first 0–5 years of practice. For less than you charge for one crown, get a full year of training that applies to your daily work, including guidance from trusted faculty and support from a community of peers — all for only $599 a year.

By: John Carson
Date: September 23, 2015
Featured Digest articles
Insights and advice from Spear Faculty and industry experts


