Self-Awareness: An Essential Trait of Contemporary Team Building
Spear’s Dr. Ricardo Mitrani explains how self-awareness can improve team building, leading to healthier and happier relationships.
The Pursuit of Great Dentistry
The Pursuit of Great Dentistry
Spear’s Dr. Ricardo Mitrani explains how self-awareness can improve team building, leading to healthier and happier relationships.
To enhance dental case acceptance, dentists must prioritize driving value for patients by offering comprehensive and personalized care. Here are six tips for driving value.
Spear Member Stories: Dr. Wesley Mullins and Dr. Jonathan Rogers — Meet the Dental Guys After a year hiatus, two longtime members of the Spear community are back behind the microphone. Dr. Wesley Mullins and Dr. Jonathan Rogers relaunched their podcast The Dental Guys in January. Dr. Mullins, a Faculty Club member, and Dr. Rogers, a Spear…
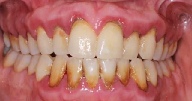
The 2018 periodontal classification changed the process for diagnosing periodontitis. In part one of this two-part series, Dr. Du Toit examines the changes.
Building Bonds, Enhancing Practices: Tiffin, Ohio, Spear Study Club In the heart of Tiffin, Ohio, a tight-knit community of dental professionals has found solace, support, and inspiration through a Spear Study Club led by Dr. Jack Felton, a general practitioner, and Dr. Robert Dornauer, an oral surgeon. Since its formation in 2013, this club has…
Addressing failure in dentistry involves probing root causes. Here, Dr. Mitrani explores interdisciplinary communication, planning, and execution barriers.
Spear Education Welcomes Dr. Effie Habsha as Esteemed Faculty Member Spear Education, a leading provider of dental education, is delighted to welcome Dr. Effie Habsha to its esteemed faculty. Renowned for her expertise in prosthodontics and her pioneering efforts in championing women in dentistry, Dr. Habsha’s addition enhances Spear’s commitment to delivering top-notch dental education….
Dr. Frank Spear and Spear Education Clinch Top Honors in Dentistry Education for 2023 Spear Education is happy to announce that Dr. Frank Spear has been recognized as a Top Instructor of 2023 and Spear Education has secured the prestigious title of Top Course Provider of 2023 by Course Karma. Course Karma’s Top Educator Awards…
Spear Enterprise Announces Strategic Partnership With Gen4 Dental Partners Spear Education, a leading provider of comprehensive dental education and support services, is pleased to announce a strategic partnership with Gen4 Dental Partners, a rapidly growing and innovative dental service organization. As part of this collaboration, Gen4 Dental Partners’ dentists will gain access to Spear Enterprise‘s…
Dental records retention is complex due to varying laws and requirements. Learn essential best practices to streamline compliance and safeguard patient data.
End of content
End of content
Deliver Exceptional Patient Care and Take the Next Steps
7201 E. Princess Blvd, Scottsdale, AZ 85255
Phone: 866.781.0072 | Fax: 480.588.9072
User Agreement & Policies | Accessibility | Sitemap
© Copyright Spear Education, LLC, All rights reserved
Spear Education
Nationally Approved PACE Program
Provider for FAGD/MAGD credit.
Approval does not imply acceptance by
any regulatory authority or AGD endorsement.
4/1/2025 to 03/31/2028
Provider ID# 219029
7201 E. Princess Blvd, Scottsdale, AZ 85255
Phone: 866.781.0072 | Fax: 480.588.9072
User Agreement & Policies | Accessibility | Sitemap
© Copyright Spear Education, LLC, All rights reserved
Spear Education
Nationally Approved PACE Program
Provider for FAGD/MAGD credit.
Approval does not imply acceptance by
any regulatory authority or AGD endorsement.
4/1/2025 to 03/31/2028
Provider ID# 219029
7201 E. Princess Blvd, Scottsdale, AZ 85255
Phone: 866.781.0072 | Fax: 480.588.9072
User Agreement & Policies | Accessibility | Sitemap
© Copyright Spear Education, LLC, All rights reserved
Spear Education
Nationally Approved PACE Program
Provider for FAGD/MAGD credit.
Approval does not imply acceptance by
any regulatory authority or AGD endorsement.
4/1/2025 to 03/31/2028
Provider ID# 219029