Spear Digest
Learn From Our Blog Articles and Case Studies
Learn from Spear Faculty and partners through articles on occlusion, restorative dentistry, dental implants, esthetics, and more — insights that help you refine your skills and grow your practice.
Sort By
No results found.
-

- Esthetics
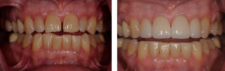
Battling the Dental Overtreatment Tsunami in Today’s Market
Communication is key to fighting dental overtreatment. Dr. Mitrani explains how to help patients avoid pitfalls through a real-life patient…By Ricardo Mitrani
• March 7, 2024
-

- Esthetics
Enamel Rods: The Key to Successful Restorative Adhesion
Dr. Jefferey Bonk outlines the importance of enamel rods in ensuring optimal adhesion and ideal longevity of restorations.By Jeffrey Bonk
• October 31, 2023
-

- Esthetics
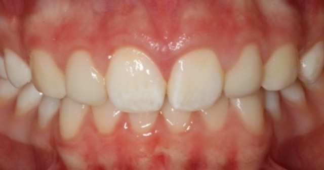
Four Key Elements of Esthetic Dentistry and the Importance of the Prototype
Spear’s Dr. Ricardo Mitrani outlines the four key elements of communicating esthetic considerations and the importance of utilizing a prototype.By Ricardo Mitrani
• October 13, 2022
-

- Esthetics
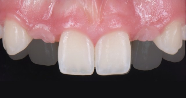
Using Golden Percentage in Dentistry for Ideal Tooth Proportions
One key aspect of esthetic dentistry is using geometric proportions, like the golden percentage, to create predictable and pleasing restorative…By Jeffrey Bonk
• June 30, 2022
-

- Esthetics
- |
- Implants
- |
- Techniques / Materials
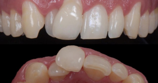
Three Solutions for Congenitally Missing Lateral Incisors: A Photo Essay
Addressing missing lateral incisors often requires interdisciplinary solutions like canine substitution, resin-bonded single retainer bridge, cantilever bridge, or a single-tooth…By Ricardo Mitrani
• June 21, 2022
-

- Esthetics
Planning the Class IV: Workhorse of Cosmetic Dentistry, Part 3
Learn Dr. Jason Smithson’s go-to protocol for layering direct composite to achieve esthetic success and functional durability.By Jason Smithson
• August 6, 2021
No results found.
Your Journey to Great Dentistry Starts Here!
Opt in to receive our biweekly newsletter spotlighting the latest articles, events, seminars, workshops, courses, free downloads, and more from Spear.
