Diagnosing and Managing Cracked Tooth Syndrome
What is cracked tooth syndrome? Cracked tooth syndrome, or CTS, refers to an incomplete fracture in a posterior tooth. First described by Cameron in 1964, CTS involves a fracture that begins in the crown and extends into dentin, sometimes toward the pulp. Patients typically report unexplained biting or thermal sensitivity.
Understanding cracked tooth syndrome: Definition, diagnosis, and why it matters
Cracked tooth syndrome is characterized by a fractured plane of unknown direction and depth that may progress to the periodontal ligament or pulp, as defined by Ellis in 2001. Diagnosing cracked tooth syndrome can be difficult and often requires a multidisciplinary approach.
It’s a common condition that can be confusing, ranging from harmless enamel craze lines to fractures that may require extraction. Knowing how to identify, test, and manage these conditions is crucial for protecting tooth structure and enabling patients to make informed decisions about their dental care. This overview brings together foundational concepts and diagnostic considerations to support your daily practice.
If you’d like to build even stronger clinical confidence in this area, Spear’s Treatment Planning With Confidence workshop, offered in Scottsdale, dives deep into conservative approaches for stabilizing compromised teeth.
What are the different types of tooth cracks?
Craze lines

Craze lines are superficial enamel cracks found in both anterior and posterior teeth. They are self-limiting stress fractures in the enamel only and do not penetrate dentin. Craze lines require identification but no treatment unless staining creates an esthetic concern.
Fracture lines
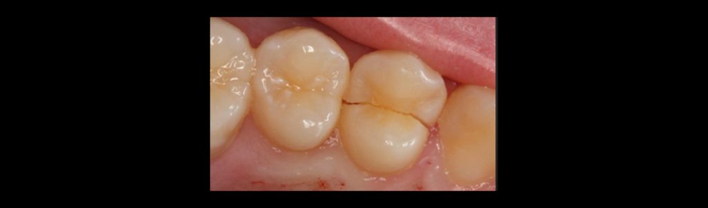
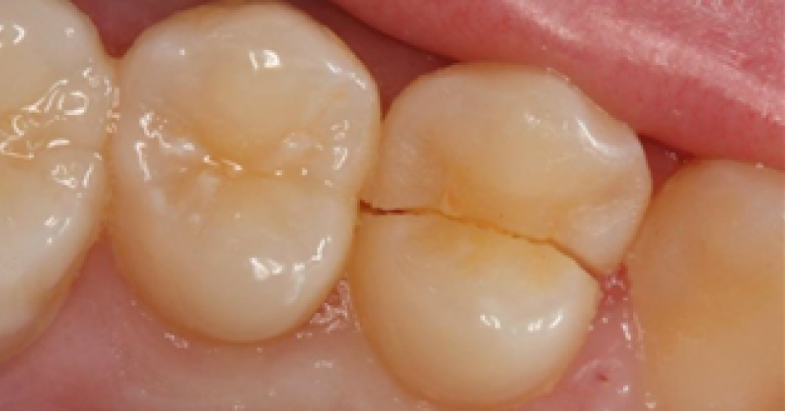
Fracture line cracks penetrate dentin. They may appear as stained lines with no enamel separation or as true splits in enamel. Symptoms may include biting pressure, release pain, and cold sensitivity. Fracture lines in posterior teeth that cross marginal ridges are more concerning than those that remain within the confines of the occlusal surface.
Fracture lines are commonly observed in teeth with extensive restorations, resulting from the weakening of the natural tooth structure. Severity and prognosis cannot be fully determined until pulp testing and definitive excavation are performed.
Fractured cusp

The most common fractured cusp is the distolingual cusp of lower molars, particularly second molars. This pattern is linked to Class III lever mechanics and occlusal forces near the temporomandibular joint (TMJ). Upper molars are more resistant due to their anatomical structure and the support they receive from the transverse ridge.
Cuspal fractures may be lateral or vertical, which are the worst case. Factors contributing to cusp fracture include parafunction, cumulative masticatory load, sudden trauma, and previous restorations. Restored teeth are 30 times more likely to fracture than unrestored teeth. Pulp involvement varies.
Cracked tooth

A cracked tooth has a fracture extending apically from the occlusal surface without complete separation of tooth structure and ends within the cervical area of the tooth. The involvement of one or both marginal ridges dramatically reduces tooth stiffness; specifically, losing one marginal ridge results in approximately a 40% loss of tooth stiffness, while losing both marginal ridges results in approximately a 60% loss of tooth stiffness.
These teeth often present with pain on release during biting. The pulp may or may not be vital. Cracked teeth are most often seen in restored teeth, but unrestored teeth can also fracture (e.g., a fractured cusp).
Treatment may include cuspal coverage, root canal therapy, or extraction. A 4–6-week provisional with cuspal support can help determine the long-term prognosis.
Split tooth

A split tooth also begins as a crack from the occlusal surface. It extends apically to create two segments without physical separation, and may be seen extending through both the mesial and distal marginal ridges.
These teeth exhibit classic release pain, and long-standing vertical fractures may result in narrow bony defects at the mesial and/or distal aspect of the tooth. In these circumstances, a periodontal probe inserted into this defect may penetrate 4-6+ mm. This finding is pathognomonic of a split tooth diagnosis. Extraction is recommended.
Vertical root fracture

When a crack propagates enough to separate the root into two fragments, both halves become painful to mobilize. Extraction is recommended.
What are some diagnostic strategies and techniques for cracked tooth syndrome?
The goal of crack evaluation is to determine the origin, etiology, and structural integrity so that symptoms can be managed and long-term health restored. It’s up to the clinician and the patient to determine which testing or evaluation method(s) are utilized and what definitive therapy is instituted to achieve a long-term outcome for cracked tooth syndrome.
Foundational diagnostic steps for identifying cracked teeth
A thorough history and clinical exam form the basis of diagnosis. Percussion, palpation, periodontal assessment, pulp vitality testing, and visual inspection all contribute essential baseline data. Periapical radiographs help evaluate subgingival involvement, the extent of restoration, and periapical changes. Positive responses and the degree of tooth/root involvement will help determine the treatment pathway for cracked tooth syndrome.
What do top dentists recommend for enhanced observation and imaging tools?
There are ten imaging options that can aid clinicians in assessing and diagnosing cracked tooth syndrome. Some of these testing methods are more challenging to obtain than others, but each has its place in the crack evaluation process.
- Radiography
Traditional radiographs rarely show cracks clearly, as most cracks run mesial–distal and cannot be captured by the X-ray beam. Attempting to image from multiple angles will not improve or enhance radiographic diagnosis.
- Cone Beam CT
CBCT is excellent for detecting resorption within tooth roots, but less reliable for detecting cracks. Voxel size and crack width influence detectability.
- Optical Coherence Tomography (OCT)
Adapted from ophthalmology, OCT uses light reflection to evaluate mineralized structures and can help visualize caries and crack lines.
- Staining
After previous restoration removal, dyes such as gentian violet or methylene blue can enhance the visualization of cracks.
- Magnification
Higher magnification (14–18x) significantly improves detection. Clinicians without access to a microscope may refer patients to an endodontist for evaluation. (Only 25% of dentists use loupes with magnification greater than 3.5x.)
- Transillumination
A fiber-optic light can reveal a “light–dark” effect when a crack interrupts transmission through the tooth. If there is no crack, the entire tooth will be illuminated, whereas if a crack is present, only half of the tooth will be illuminated.
- Fluorescence
Optical devices (e.g., the Reveal system from Designs for Vision) used for caries detection can detect biofilm-contaminated cracks that fluoresce at specific wavelengths of light.
- Lasers
Emerging studies suggest diode lasers may help detect early signs of cracked tooth syndrome, potentially improving tooth longevity.
- Thermography
Still experimental and tested only on extracted root-canaled teeth, this technique uses ultrasonic vibrations within the crack to generate infrared heatmaps. May be a future diagnostic tool.
- Artificial Intelligence
AI systems, such as Pearl and Overjet, enhance radiographic interpretation, though cracks remain difficult to visualize on periapical images. It’s challenging for this technology to deliver on crack position and extent. Future advancements may improve the detection of cracked tooth syndrome.
What is the prognosis of cracked tooth syndrome?
Cracked tooth syndrome treatment depends on the extent of the fracture and the degree of pulpal involvement. Crack location, orientation, and extent determine the degree of treatment. Early, superficial cracks are more amenable to minimal or less-invasive treatment. More extensive cracks have a poorer prognosis and outcomes. Clark and Caughman classify prognosis as:
| Rating | Prognosis |
| Excellent | Fractures within dentin that angle toward the CEJ or slightly sub-gingival, or horizontal fractures that do not affect the pulp. |
| Good | Vertical crown fractures (mesial–distal) that do not involve the pulp. |
| Poor | Fractures penetrating dentin and pulp but confined to the crown. |
| Hopeless | Fractures extending from the crown into the root structure. |
Early detection of cracked tooth syndrome is essential. Understanding the etiology and prognosis of cracks helps clinicians preserve natural teeth and guide patients through treatment decisions with confidence. Spear’s occlusion workshop, Spear Online tooth crack courses, and patient education videos are valuable tools to help support those conversations and enhance outcomes in everyday practice.
References
- Bhanderi, S. (2021). Facts about cracks in teeth. Primary Dental Journal, 10(1), 20-27.
- Raj, S., & Singh, A. (2025). Cracked tooth syndrome: a diagnostic dilemma-a mini review. Frontiers in Oral Health, 6, 1572665.
- Kindaro, V., Molland, H., Shirbegi, S., Renner, P., & Krishnan, U. (2025). Diagnostic Accuracy of Methods Used to Detect Cracked Teeth. Clinical and Experimental Dental Research, 11(3), e70138.
- HasilAlahmari, S., & Fahad AlMutairi, H. (2025). Types and incidence of cracks in posterior teeth: an updated review. Way, 61, 19.
- Ferracane, J. L., Hilton, T. J., Funkhouser, E., Gordan, V. V., Gilbert, G. H., Mungia, R., … & Group, N. D. P. C. (2022). Outcomes of treatment and monitoring of posterior teeth with cracks: three-year results from the National Dental Practice-Based Research Network. Clinical Oral Investigations, 26(3), 2453-2463.
- Warreth, A. (2023). Cracked tooth syndrome: a review of the literature. Dental Update, 50(7), 555-562.
- Cameron, C. E. (1976). The cracked tooth syndrome: additional findings. Journal of the American Dental Association (1939), 93(5), 971-975.
- Huang, D., Swanson, E. A., Lin, C. P., Schuman, J. S., Stinson, W. G., Chang, W., … & Fujimoto, J. G. (1991). Optical coherence tomography. Science, 254(5035), 1178-1181.
- Baumgartner, A., Dichtl, S., Hitzenberger, C. K., Sattmann, H., Robl, B., Moritz, A., … & Sperr, W. (2000). Polarization–sensitive optical coherence tomography of dental structures. Caries Research, 34(1), 59-69.
- Sapra, A., Darbar, A., & George, R. (2020). Laser‐assisted diagnosis of symptomatic cracks in teeth with cracked tooth: A 4‐year in‐vivo follow‐up study. Australian Endodontic Journal, 46(2), 197-203.
- Matsushita-Tokugawa, M., Miura, J., Iwami, Y., Sakagami, T., Izumi, Y., Mori, N., … & Ebisu, S. (2013). Detection of dentinal microcracks using infrared thermography. Journal of Endodontics, 39(1), 88-91.
- Lee, T. Y., Yang, S. E., Kim, H. M., & Kye, M. J. (2021). Characteristics, treatment, and prognosis of cracked teeth: a comparison with data from 10 years ago. European Journal of Dentistry, 15(04), 694-701.
- Clark, L. L., & Caughman, W. F. (1984). Restorative treatment for the cracked tooth. Operative Dentistry, 9(4), 136-142.
- Reeh, E. S., Douglas, W. H., & Messer, H. H. (1989). Stiffness of endodontically-treated teeth related to restoration technique. Journal of Dental Research, 68(11), 1540-1544.
- Brännström, M. (1986). The hydrodynamic theory of dentinal pain: sensation in preparations, caries, and the dentinal crack syndrome. Journal of Endodontics, 12(10), 453-457.
FOUNDATIONS MEMBERSHIP
New Dentist?
This Program Is Just for You.
Spear’s Foundations membership is specifically for dentists in their first 0–5 years of practice. For less than you charge for one crown, get a full year of training that applies to your daily work, including guidance from trusted faculty and support from a community of peers, all for only $599 a year.

By: Jeffrey Bonk
Date: January 27, 2026
Featured Digest articles
Insights and advice from Spear Faculty and industry experts



