Orthodontic-Restorative Treatment Planning for an Esthetic Case
The orthodontic–restorative relationship is central to achieving predictable, long-lasting esthetic results, especially when teeth simply aren’t where they need to be.
Orthodontic-restorative treatment planning is a collaborative approach that uses orthodontics to position teeth before restorative care, improving esthetics, function, and long-term predictability.
Planning orthodontic-restorative treatment allows clinicians to position teeth intentionally before restorative care begins, creating a more conservative and durable path to esthetic success.
Facially Generated Treatment Planning (FGTP) provides a clear roadmap for this interdisciplinary approach, aligning function, esthetics, and patient goals from the start.
Why interdisciplinary orthodontic–restorative planning matters
In our New Hampshire office, we’re fortunate to have an orthodontic partner in this process: orthodontist and Spear Study Club leader Dr. Diane Shieh. Her expertise in orthodontic positioning prior to restorative treatment has simplified treatment plans and improved outcomes.
The following case illustrates how orthodontic-restorative treatment planning, guided by FGTP principles, delivered a conservative and predictable solution for a young patient with complex esthetic concerns.
This case is especially relevant for clinicians managing anterior esthetic challenges, crossbites, or compromised tooth position, where conservative restoration is the goal.
How orthodontic-restorative treatment planning guided this case
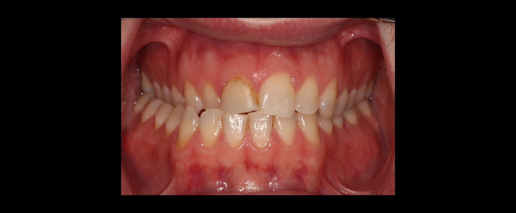
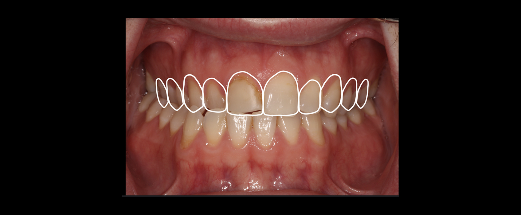
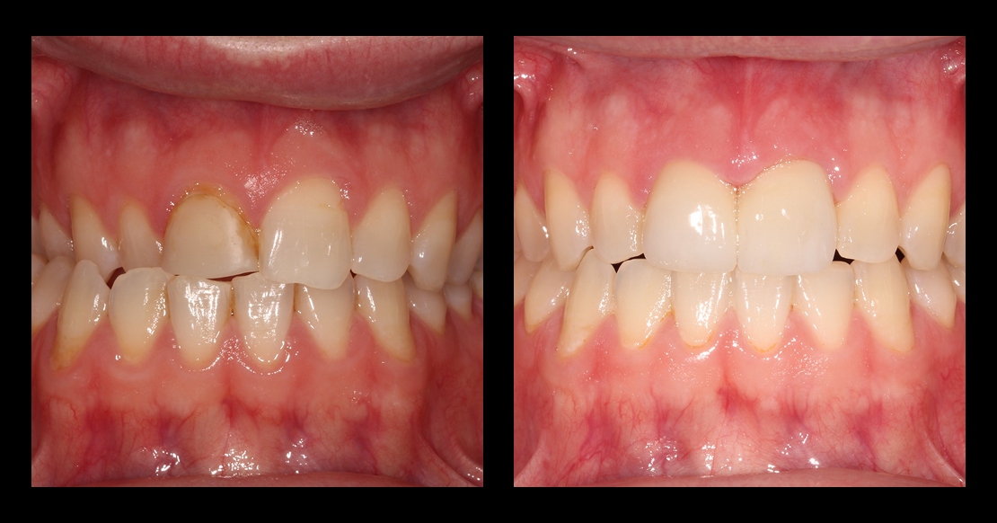
Zach, a patient in his mid-20s, came to our office seeking options for improving his upper front teeth, specifically the noticeable differences in size, shape, and shade between teeth #8 and #9. A childhood bicycle accident had left #8 chipped, and multiple composite restorations over the years hadn’t given him the esthetics he hoped for.


Taking an FGTP approach quickly revealed why restoring #8 had been so challenging. A crossbite was limiting available restorative space, and the gingival position of #8 was more coronal than #9, suggesting supereruption after the original trauma.

From here, we walked through the findings, consequences, and treatment options. One solution was a full mouth restorative approach: opening the vertical dimension, performing crown lengthening, and restoring the entire upper arch.
While possible, it was invasive and didn’t account for the underlying skeletal and airway issues contributing to his narrow maxilla and crossbite.
The more conservative and airway-conscious option was an orthodontic–restorative approach. Orthodontics could correct the crossbite, level the gingival margins, and restore harmony to the occlusal relationship.
Once the teeth were in their proper positions, we could address #8 and #9 with a single crown and veneer.
Zach chose the orthodontic–restorative path.
Why orthodontics came first in this restorative treatment plan
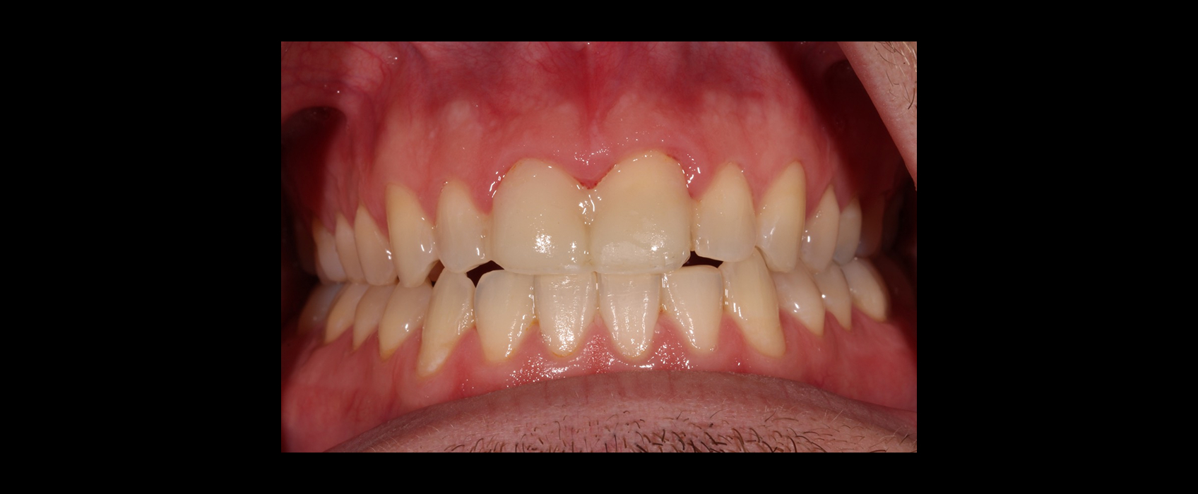
Clear aligners with attachments and elastics were used to correct the crossbite and improve tooth position. After 18 months, Zach’s teeth were in an ideal position for restorative care.




Restorative execution after orthodontic positioning
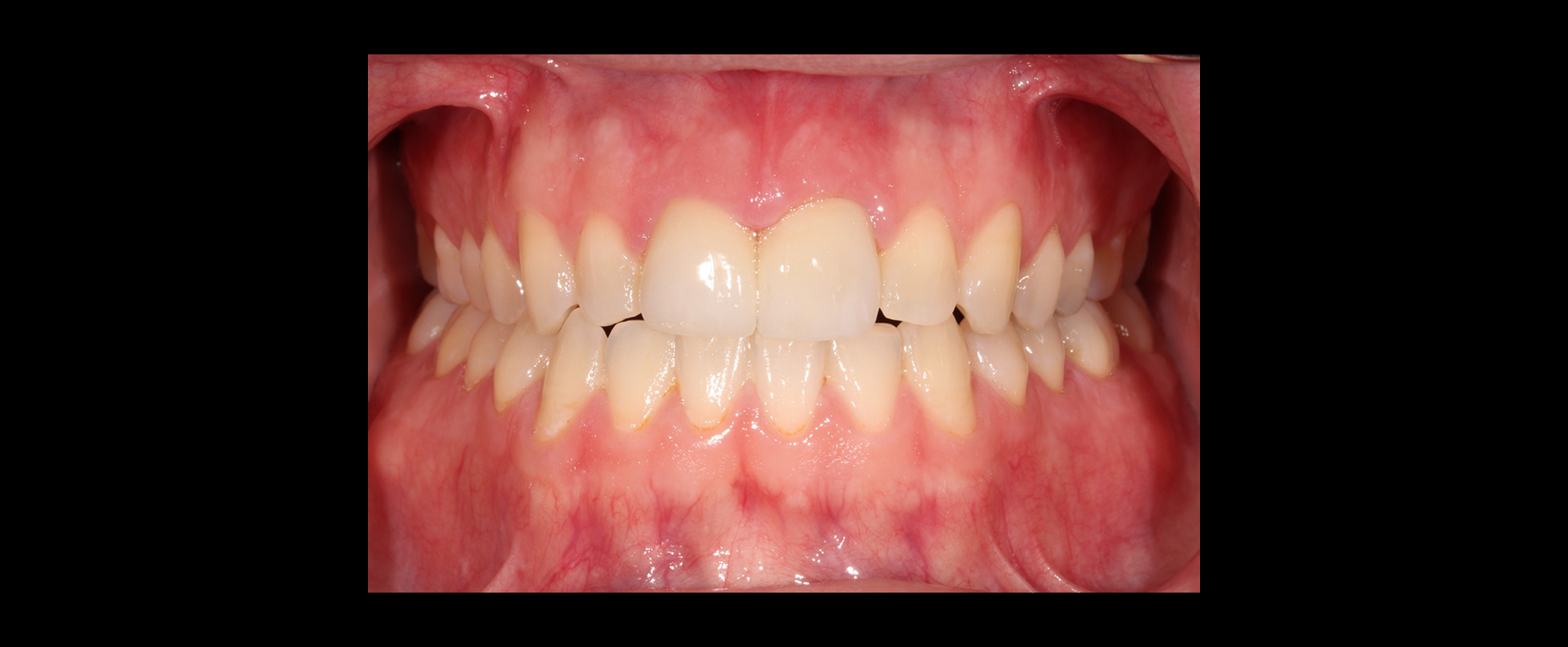
With the attachments removed, we prepared #8 and #9 and placed a diagnostic provisional to test esthetics and function. After one month with no occlusal adjustments needed, we moved forward with the definitive porcelain restorations.



Orthodontic-restorative treatment planning in practice
This case illustrates how orthodontic-restorative treatment planning, guided by FGTP principles, can simplify even the most complex esthetic challenges.
By placing teeth in their ideal positions before restorative care begins, clinicians can reduce invasiveness, preserve tooth structure, and create results that are both predictable and durable.
When orthodontists and restorative dentists collaborate early in the planning process, treatment options expand rather than narrow. The result is care that respects function, esthetics, airway considerations, and long-term stability — all while aligning with the patient’s goals.
For clinicians looking to strengthen their approach to orthodontic-restorative treatment planning, Spear’s Ortho–Restorative Integration: From Planning to Practice workshop offers a hands-on opportunity to apply FGTP principles, refine interdisciplinary workflows, and improve communication across the dental team.
It’s an excellent way to sharpen the exact skills that made cases like Zach’s so successful, while strengthening collaboration and communication across the dental team. .
Frequently Asked Questions
SPEAR campus Workshops
Step Into a Place Built for Mastery
Step away from the noise of practice and into focused, immersive training that changes how you think, diagnose, and lead.

By: Andy Janiga
Date: March 10, 2026
Featured Digest articles
Insights and advice from Spear Faculty and industry experts



