Enamel Rods: The Key to Successful Restorative Adhesion
Restoring a patient’s smile and giving them life-changing, renewed self-confidence is one of the most rewarding things a dentist can do. Contemporary ceramic veneers are an essential restorative material in many smile design procedures, as they allow for conservative preparation and maintenance of natural tooth structure. The longevity and predictability of these restorations stem from proper preparation and design. Early failure due to leakage, recurrent caries, and marginal staining frustrates the dentist and the patient. In this article, we will see how managing the tooth preparation relative to the direction of the enamel rods is crucial to long-term marginal seal and veneer success.
The Importance of Enamel Rods

In Spear’s Restorative Design workshop, we cover the topic of ceramic veneer preparation design in detail. We do several hands-on exercises where participants prepare various partial coverage designs to maintain tooth structure and create outcomes that will satisfy shade change and esthetic and functional needs. The most challenging aspect related to anterior veneer preparation is interproximal margin placement. In the attempt to remain conservative and yet provide hidden margins and dental hygiene access, many participants struggle with adequate margin extension. Unsupported enamel rods are a common frustration thread in these workshop exercises. So, let’s look at “visual” insights into creating adequate veneer margin extension and direction to reduce early restoration failure.
Enamel, as we know, covers the surface of natural teeth. The direction of enamel rods is perpendicular to the outer aspect of the tooth surface. Adhesion is strongest to the ends of the enamel rods (in fact, the literature supports that 50% of adhesive strength is lost when bonding is to the sides of the enamel rod). Acid etching enamel rod ends remove hydroxyapatite crystals and expose a roughened enamel surface into which resin adhesive may penetrate. These micro-tags are the fundamental mechanism of resin-enamel adhesion. If enamel rod ends are not appropriately exposed during tooth preparation, not only will poor adhesion result, but fracture of the unsupported enamel rods will jeopardize restoration longevity.

If teeth are ideally aligned, the contact point of adjacent teeth is directly superior to the tip of the interproximal gingival papilla. The diagram below provides a visual image of how this relationship should appear. If veneer preparations are to be integrated, the dentist must decide if the natural interproximal contact will be maintained or re-created in the ceramic veneer. In either case, tooth preparation must not violate the direction of enamel rods to ensure restorative longevity. This diagram expressly delineates the direction of the enamel rods as 90 degrees relative to the outer aspect of the teeth.

The following image provides visual insights into potential marginal failure due to poor tooth preparations. Tooth “A” indicates adequate palatal extension of the veneer preparation to restore the tooth contacts in ceramic material. However, the preparation margins were not aligned adequately (parallel to the enamel rods) and will result in premature fracture of enamel rods.
Tooth “B” shows that the mesial aspect of the preparation was intended to leave the natural tooth contact intact. However, the interproximal extension is prepared too far toward the lingual. This results in unsupported enamel rods and challenges for the dental laboratory in designing an adequate and sealed margin. Again, the veneer will potentially succumb to early failure. The distal margin of tooth “B” is also improperly placed. The attempt was to break the natural tooth contact and restore it in ceramic. However, the preparation margin did not extend enough to the palatal, leaving unsupported enamel rods and a challenging marginal ceramic seal.

The following image shows adequate marginal extension to avoid fracture of enamel rods. Palatal margin placement allows for proper dental hygiene and adequate separation for straightforward cementation protocols. Note that the preparation margins follow the direction of enamel rods.

A Visual Case Study
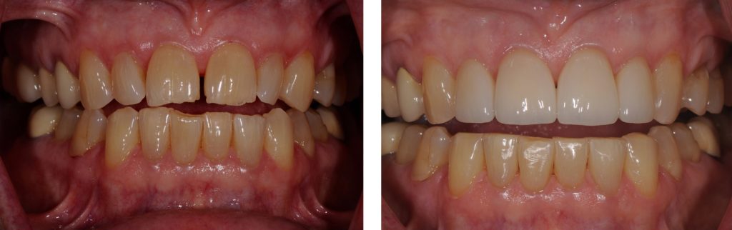
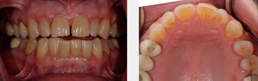
As an example of veneer margin placement, I include a brief case study using one of my patients, Connie. This is the example I used at the beginning of this article, showing a successful veneer case.
Connie wanted to improve her appearance in a conservative manner. Without going too deep into the elements of facially generated treatment planning (Spear offers an excellent hands-on workshop that outlines complex treatment planning), it was determined that four anterior veneers would satisfy the needs and request for improved esthetics and function.

Veneer preparations were prepared on teeth #7-10. Interproximal contacts were to be restored in ceramic. Tooth #10 required a more extensive palatal preparation. Providing adequate marginal extensions resulted in a pleasing and satisfactory outcome for her.


The importance of visualizing enamel rod direction and applying the protocols necessary for avoiding poor margin placement should not be underestimated or overlooked. Fractured enamel rods will not likely be noticed or observed at the time of ceramic veneer cementation. However, at the next follow-up appointment (2-3 weeks or more), staining of the ceramic margin is indicative of enamel rod fracture. This is “the beginning of the end” for the newly placed ceramic veneer. The life span (which literature supports to be 20-30 years) is now approximately one-half!
This experience is disheartening to the dentist, and the decision to remake the veneer is now in question. As no dentist wants to experience this situation, proper preparation technique, adequate magnification, and cementation protocols must be followed precisely.
I hope the information outlined here on enamel rods helps you create predictable restorative outcomes using ceramic veneers. And remember, if you want to go deeper into this subject, detailed veneer design, ceramic materials information, and hands-on application are included as part of the curriculum of our Restorative Design workshop. We would love to see you there!
SPEAR campus
Hands-On Learning in Spear Workshops
With enhanced safety and sterilization measures in place, the Spear Campus is now reopened for hands-on clinical CE workshops. As you consider a trip to Scottsdale, please visit our campus page for more details, including information on instructors, CE curricula and dates that will work for your schedule.

By: Jeffrey Bonk
Date: October 31, 2023
Featured Digest articles
Insights and advice from Spear Faculty and industry experts


