
Taking the ‘Voodoo’ Out of Vertical Dimension of Occlusion
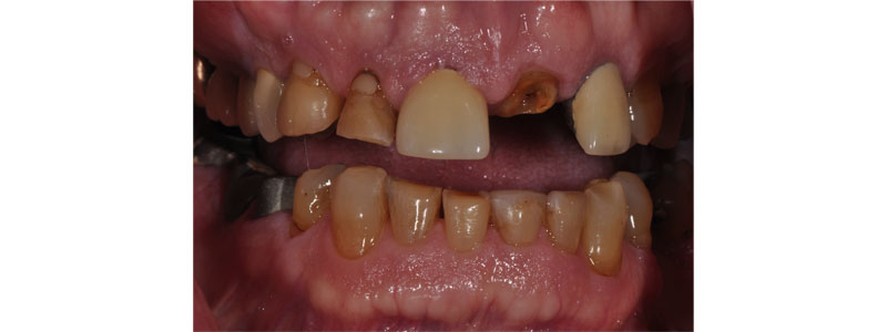
Images like this patient conjure up the fear and anxiety many dentists experience treating excessive tooth wear. Restoring worn dentitions is one of the more difficult undertakings dentists attempt. There is significant complexity involved in the restoration of these cases.
The fear stems from many different considerations and unknowns:
- Designing the correct plan
- How many teeth to restore
- Lack of restorative space
- Fear of fractured teeth, porcelain, implants, etc.
- And the lack of confidence as to whether the case will be successful
But one of the biggest concerns and stumbling blocks to restoring worn dentitions is determining the need to alter the Vertical Dimension of Occlusion (VDO).
VDO seems like “voodoo” to many dentists. There is a significant “vagueness” that centers on vertical dimension. This uneasiness creates internal turmoil and causes some dentists to avoid discussing signs and symptoms of tooth wear with their patients. Because of the discomfort around restoration and altering vertical dimension, it is easier for the dentist to “watch” and “monitor” the wear progression, rather than plan, design and restore the situation.
It has been said, “In an extensive prosthetic restoration (of worn dentition), the choice of altering vertical dimension is ‘the’ essential problem (Rebibo).” In talking to many dentists, I believe this statement to be true. The belief is that extensively worn teeth result in loss of tooth structure and a corresponding loss in vertical dimension. Because of this significant structure loss, a vertical dimension change will be necessary. This is not always true.
Generalized attrition does not always mean that the VDO has been lost and vertical must be changed. It is the dentist’s fear around changing the vertical dimension that prevents appropriate action.
This article defines VDO and provides some specific criteria for evaluation, decision-making and action for a change of vertical.
The Glossary of Prosthodontic Terms defines VDO as “the lower facial height measured between two points when the occluding members are in contact.” More precisely, VDO refers to the vertical position of the mandible in relation to the maxilla when the upper and lower teeth are intercuspated at the most closed position.
Vertical dimension relates to the posterior occlusion rather than the anterior occlusion (relationship). The VDO relates to the mandible rotating from the condylar hinge axis of the temporomandibular joint. The amount of rotation (mandibular movement) will affect the vertical positioning of the mandible. Thus, the vertical dimension is a reference point for lower facial height. I will look over this point in more detail.
When contemplating the restoration of severely worn teeth, the dentist must include vertical dimension as part of the decision tree of planning. There are five criteria that are considered for changing the vertical dimension:
- Prosthetic height
- Anterior occlusal relationship
- Skeletal typology
- TMJ
- Facial esthetics
Changing the VDO in worn dentition is a significant undertaking. This restorative change will require extensive dentistry and restoration of at least one arch, and it will be time-consuming and costly for the patient. Significant planning and design must first be undertaken before making any decisions about a vertical change.
The principles of Facially Generated Treatment Planning, as taught and supported by Spear Education, must be implemented. The “outcome-based design” for the positions of the teeth within the patient’s face must be determined. A comprehensive examination with proper photographs, facebow mounted models and FGTP treatment planning concepts must be completed before proceeding to a restorative plan.
Specialty collaboration is appropriate as part of a definitive restoration process. Prevention strategies and conservative measures should be the clinician’s main priorities. “Changing the VDO should only be initiated when comprehensive prosthetic treatment is justified (Abduo and Lyons).” That being said, let’s look at the five criteria for changing vertical dimension.

Prosthetic Height
One of the primary factors in determining and initiating a vertical dimension change is the presence or absence of adequate tooth height. Worn dentition cases lack of tooth structure as a result of the wear. Changing the vertical can be dependent upon the amount of tooth structure available for the restorative process.
If lack of restorative space exists, opening the vertical dimension is appropriate and necessary. If adequate tooth structure remains, no change in vertical may be needed. Increasing the vertical should be considered to accommodate adequate space for restorative materials.
The literature references a minimum 4mm of tooth preparation height (posterior) needed for resistance and retention form. It may be possible with today’s materials and adhesive systems to push that limit to 3mm. But adequate ferrule is the defining factor. Although crown-lengthening surgery can help in crown heights less than 3mm, consideration must be given to the remaining crown-to-root ratio.

The long-term prognosis of a dental restoration is directly related to the amount of remaining tooth (preparation) height. In designing a reconstruction from tooth wear, the posterior and the anterior prosthetic heights must be determined. Vertical dimension change affects both anterior and posterior segments.
The “Rule of Thirds” comes into play in these situations. This rule sates that if 1mm of vertical opening occurs in the posterior region, there will be a corresponding 3mm of vertical opening in the anterior. The “Rule of Thirds” is easily observed on an articulator. This ratio can be utilized effectively from a centric relation position, to gain space in the anterior, with minimal vertical change in the posterior.
Anterior Occlusal Relationship
The anterior tooth relationship relates to the overbite and overjet positions of the anterior teeth. In a normal Angle’s Class I incisor relationship, 3-4.0 mm of overjet and 2-3.0 mm of overbite (on average). The functional contacts are important for anterior guidance and must be maintained.
In a situation where the overbite is too deep (>4.0 mm) and the overjet too minimal (<2.0 mm), tooth interference may lead to pathway wear, tooth mobility, interproximal tooth opening, and tissue irritation. Alternatively, too little overbite and overjet can result in a lack of anterior guidance and an increase in posterior tooth wear. Changing the vertical dimension can help alleviate either situation. The vertical change will improve function, reduce wear patterns, and minimize the amount of tooth preparation necessary.

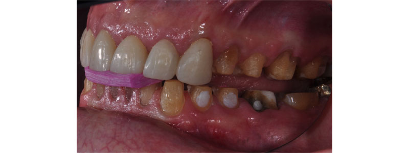
Restoring and managing anterior guidance is critical for success in rehabilitating worn dentitions. Altering the vertical dimension can be a key component in that success. The image provided references how the change in VDO affects the anterior tooth relationship. In an open bite situation, closing the vertical dimension will bring the anterior teeth closer together, creating a more ideal relationship.
Alternatively, opening a deep bite will provide increased distance between the incisors. A shallower guidance may be attained. This decreases overbite and overjet. Care must be taken when opening Class II-type situations. The downward rotation of the mandible will create a greater Class II condition that potentially increases overjet. Using facebow-mounted models will aid in visualizing the changes in anterior tooth relationships as the VDO is opened or closed.

Skeletal Typology
There are different underlying patterns in the vertical dimension of the face. Mandibles can grow in either vertical or horizontal directions. These vertical types of facial growth patterns have been classified as dolichofacial(also known as long-face type or hyper-divergent), brachyfacial (also known as short-face type or hypo-divergent) and mesofacial (medium- or neutral-face type, normo-divergent).
Ramus height and the gonial angle are key elements in the determination of skeletal facial types. An acute gonial angle is associated with a flat mandibular plane and a brachy-facial type individual. Alternatively, the dolichofacial type individual has an obtuse gonial angle and a steeper mandibular plane angle.
Lateral growth patterns are commonly known as Angles-type growth patterns: Angles Class-I, Class II, and Class III. These class types are based upon molar and cuspid relationships relative to mandibular length. These classifications and terminologies involve complex growth and development details.
The VDO is the result of musculoskeletal balance during growth. The bottom line is that the patient’s VDO is directly related to mandibular length and height. Cephalometric analysis does not give the ideal value of the vertical dimension, but the skeletal pattern can provide direction as to the predictability of opening or closing the OVD.
TMJ

A stable TMJ is crucial for attempting a successful change in the occlusal vertical dimension. As strict rotation around the hinge axis is utilized as the reference/starting point for VDO determination, it is important that centric relation or an adapted centric posture is attainable.
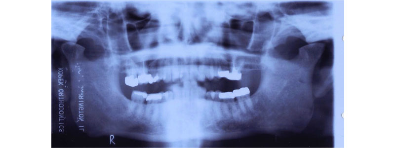
Intra-articular disease or dysfunction must first be evaluated and stabilized before initiating changes to the vertical dimension. A complete TMJ examination is intended to reveal joint pathologies such as disc displacement, crepitus, mandibular mobility, and the joint’s ability to be loaded under function. Additionally, radiographic analysis (such as panoramic X-ray, CBCT, or MRI, as necessary) is utilized to elucidate correct joint anatomy and condylar positions.
Evidence of osteoarthritic change or condylar surface abnormality precludes a change in vertical dimension until stabilization occurs. Additionally, patients who could have difficulty adapting to neuromuscular changes that occur with a change in OVD (e.g., Parkinson’s or elderly patients) should be avoided. Occlusal splint therapy is utilized to help stabilize and evaluate joint position before comprehensive restorative measures.

Facial Esthetics
The determinants of facial esthetics are the sagittal profile, facial tissue appearance, lip morphology and tooth display. A pleasant facial height is the target for a change in vertical dimension. Changing the VDO will not affect the upper lip dynamic relative to tooth display at rest (unless a maxillary osteotomy procedure is utilized).
Lower facial height is the reference parameter. In normal anatomical facial analysis, the mid-face and lower face heights should be approximately 50-50 in relation to each other. Loss of VDO due to tooth wear can negatively affect the facial appearance. Due to excessive tooth wear, a resultant pseudo-prognathism may arise from the forward mandibular rotation.
This also creates a potential for further edge-to-edge tooth wear. Altered facial contour, narrowed vermillion borders and an over-closed commissure are some of the negative effects, from a facial view, with loss of vertical dimension.
Although loss of vertical dimension of occlusion may contribute to the loss of facial height, increasing vertical dimension through restoration, even as much a 6mm, may not change the facial appearance alone. Increasing VDO should not be undertaken solely for the improvement of facial esthetics.
When confronted with severely worn dentitions, changes in occlusal vertical dimension become a significant consideration as part of the treatment process. Changes to the VDO can affect biological, mechanical and esthetic outcomes.
One of the keys to determine the effective change to VDO is to study the case on facebow mounted and articulated models. The influence of vertical change can be readily observed both in the anterior and posterior occlusion. Anterior tooth position and contact (overbite and overjet), along with incisal guidance becomes readily apparent. The restorative space requirement need is also observed.
Although facial appearance, health of the TMJ and skeletal typology are important parameters in the decision-making process, the primary motivators for a change in VDO are requirements of restorative space and anterior tooth relationships.
References
- Abduo, J., & Lyons, K. (2012). Clinical considerations for increasing occlusal vertical dimension: a review. Australian Dental Journal, 57(1), 2-10.
- Ahila, S. C., Sasikala, C., Kumar, B. M., Rajdeep, T., & Abinaya, K. (2016). Evaluation of the correlation of ramus height, gonial angle, and dental height with different facial forms in individuals with deep bite disorders. Annals of Medical and Health Sciences Research, 6(4), 232-238.
- Orthlieb, J. D., Laurent, M., & Laplanche, O. (2000). Cephalometric estimation of vertical dimension of occlusion. Journal of Oral Rehabilitation, 27(9), 802-807.
- Pepicelli, A., Woods, M., & Briggs, C. (2005). The mandibular muscles and their importance in orthodontics: a contemporary review. American Journal of Orthodontics and Dentofacial Orthopedics, 128(6), 774-780.
- Rebibo, M., Darmouni, L., Jouvin, J., & Orthlieb, J. D. (2009). Vertical dimension of occlusion: the keys to decision: We may play with the VDO if we know some game’s rules. International Journal of Stomatology & Occlusion Medicine, 2(3), 147-159.
SPEAR Membership
Build Your Practice and Become the Dentist You’re Meant to Be
Whether you have 10 minutes a month for focused learning or you’re ready for full-team training and practice coaching, a Spear Membership meets you where you are and helps you move forward with confidence.
Choose the level of structure, support, and progression that fits your journey.

By: Jeffrey Bonk
Date: May 24, 2019
Featured Digest articles
Insights and advice from Spear Faculty and industry experts


