How To Restore Severely Discolored Teeth
One of the toughest challenges in restorative dentistry is to mimic the translucency of natural teeth. In the esthetic zone, the most common type of indirect restoration is fabricated out of a translucent, all-ceramic material.
The approach is highly predictable, as technicians using these materials can replicate the translucency of natural teeth. The appearance of the restoration is most ideal when it is bilayered, but nice outcomes can be produced when surface characteristics are applied to a monolithic restoration.
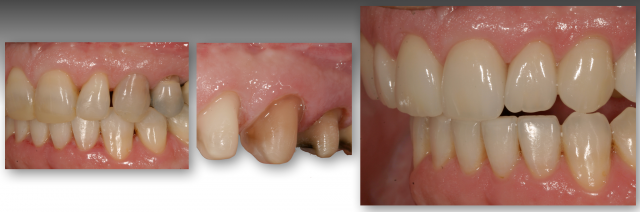
When masking a severely discolored tooth, you must use a material that is opaque to completely mask the tooth. The discoloration may be isolated to a small area on the preparation or involve the whole tooth. If the tooth has not been treated endodontically and the discoloration is isolated to a small area of the preparation, a treatment option is to remove 0.2 to 0.3 mm of dentin and mask the discoloration with an opaque resin.
The masking resin I currently use is Estolite Color Low Chroma Opaque (Tokuyama Dental). This material looks like A1 dentin. If the tooth is endodontically treated, extreme caution must be used to prevent removing tooth structure, which could result in a structurally compromised tooth. Preparing the tooth deeper in isolated areas may significantly weaken the tooth. A minimum of 1.5 mm ferrule must be maintained on the labial and lingual aspect of the preparation. The remaining tooth structure should be a minimum of 1.0 mm in thickness. If the discoloration is in the gingival one-third of a tooth with a crown preparation, it is difficult at times to achieve the 1.0 mm shoulder preparation which is required to achieve adequate strength for most materials.
If most of the tooth to be prepared is severely discolored, the material for the crown restoration must have a base or substructure that is totally opaque to mask the discoloration. A metal ceramic crown has traditionally been used in this situation. When an opaque substructure is used to fabricate the restoration, it requires a more skilled technician to manage the layering of the ceramic to mimic the depth of translucency of a natural tooth.
The recommended preparation design is an extensive crown preparation with facial reduction depths of 1.2 mm for the shoulder and 1.7 mm in the incisal one-third. If the tooth is endodontically treated, this gingival depth may not be achieved without structurally compromising the tooth, and should not be done in order to preserve adequate tooth structure. The esthetic outcome in the gingival one-third will be compromised, generally appearing too opaque and high value. The alternatives to metal to mask discolored preparations are e.max Press HO (high opacity) or e.max Press MO (medium opacity), depending on the severity of the discoloration, the depth of the preparation, and the thickness of the material.
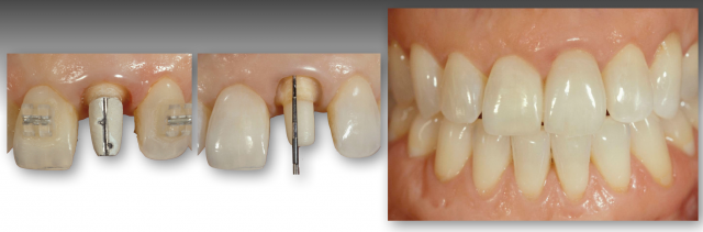
These materials have a 500 mpa flexural strength. The base layer (e.max Press MO or HO) must comprise at least 50% of the total thickness of the restoration. If they are thinned to less than 0.8 mm, the veneer glass ceramic overlay will be thicker than the base layer. This may cause fracturing of the restoration. Both materials require the application of a layer of e.max Ceram (flexural strength of 80 mpa) to develop the translucency required to mimic nature. If a monolithic technique is used with the e.max Press MO and HO, it is extremely challenging to simulate the depth of translucency of natural teeth. The opaque substrate is at the surface, and stains are applied on the surface to simulate translucency.
Another material option is high strength zirconia (approximately 1000 mpa), which is used for crown and bridge substructures. If the zirconia is thick enough it is opaque. In the anterior region of the mouth, it is often thinned, which makes it more translucent and therefore will not mask effectively. All high strength zirconia materials should be layered with a glass ceramic for esthetic reasons (80 mpa).
(Note: article continues after photo set)







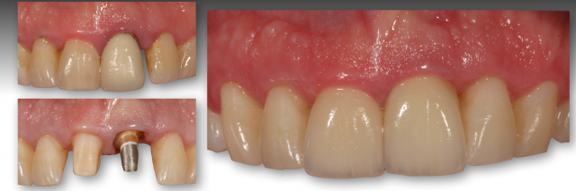
You’ll need to work with the dental technician before beginning treatment. The technician must determine which materials can be used to predictably mask the underlying discolored tooth. Remember, the discoloration generally appears more intense as the tooth is prepared and the enamel is either thinned or removed.
VIRTUAL SEMINARS
The Campus CE Experience
– Online, Anywhere
Spear Virtual Seminars give you versatility to refine your clinical skills following the same lessons that you would at the Spear Campus in Scottsdale — but from anywhere, as a safe online alternative to large-attendance campus events. Ask an advisor how your practice can take advantage of this new CE option.

By: Robert Winter
Date: July 25, 2018
Featured Digest articles
Insights and advice from Spear Faculty and industry experts


