6 Steps to Creating a Removable Veneer Temporary
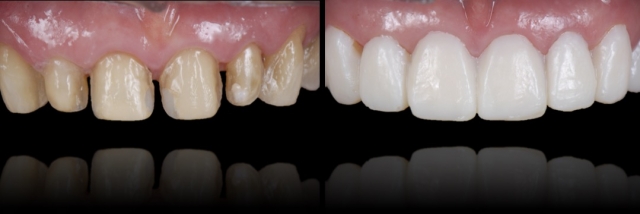
Ceramic veneers are a popular and efficient way of providing patients with the best esthetic results when there’s any type of esthetic concern.
Dental esthetic concerns can be grouped into four different categories:
- Change in color
- Change in contour
- Change in arrangement
- Change in position
Depending on the desired changes, the veneer configuration will also change. More often than not, the preparation needed is minimal, and this creates a problem trying to provisionalize. These problems can be either the clinical management of the provisional or having a brittle plastic provisional cemented temporarily onto the patient’s teeth.
Why use removable veneer temporaries?
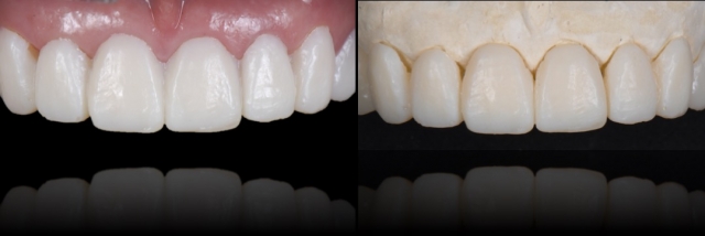
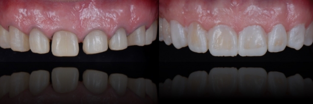
If the changes are almost minimal, the patient can leave without having a provisional. Now, if the patient is comfortable not using a provisional, that’s perfectly fine. But the key to creating a veneer restoration with which the patient is satisfied is to provide a mock-up the patient has seen and approved, and ensure the patient is 100% aware of the fact that the mock-up is a blueprint of what the ceramic veneers will look and feel like.
This is why we use removable veneer temporaries in some cases. This provisional will allow the patient to move around with the esthetic prototype in a nonthreatening way. They will not break it. They can remove it. They can keep the tissue clean. They can wear it whenever they want.
The removable veneer temporary also serves as a communication tool. It communicates the proposed changes by allowing the patient to experience the feeling of the enhanced contours and what their new smile will look like. They also gain trust in the procedure and in the restorative dentist.
Another added benefit is the health of the soft tissue. When you take into consideration the capability of removing the veneer temporary — allowing the patient to keep the area incredibly clean, thus reducing inflammation and irritation of the tissue — this will save you from the headache of bleeding spots when you’re trying to cement the restoration.
Steps to creating removable temporaries
Mock-up made in mouth
in this first example, we’re going to do the mock-up directly in the mouth.
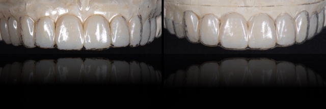
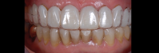
1. Fabricate the mock-up conventionally (Fig. 1).

2. Make an alginate impression with the mock-up in place. The alginates will pick up the mock-up in most cases. If not, remove gently without breaking it (Fig. 2).

3. Pour the cast (Fig. 3).

4. Fabricate a vacuum-formed thermoplastic material using the Mini-Star machine to create the matrix with Copyplast 1.5 mm (Fig. 4).

5. Trim the excess and add a drop of super glue in a nonvisible area to make sure the mock-up doesn’t detach (Fig. 5).

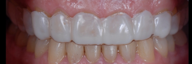
6. Deliver the removable veneer temporary (Figs. 6 and 7).


Thermoplastic matrix from wax-up
In this second example, we’re going to do a vacuum-formed thermoplastic matrix from a wax-up and a quick reline with soft-tissue conditioner.
1. Do a duplicate of the wax-up or impression from the mock-up intraorally (Figs. 8–10).



2. Fabricate a vacuum-formed thermoplastic material using the Mini-Star machine to create the matrix Copyplast 1.5 mm (Fig. 11).

3. Use some soft tissue conditioner like Lynal. Place in the intaglio surface of the matrix and reline it intraorally (Fig. 12).

4. Pressure-pot it.
5. Once you remove it from the pressure pot, trim the excess (Fig. 13).

6. Deliver the removable veneer temporary (Fig. 14).

Satisfaction for both patients and restorative dentists
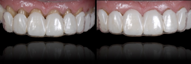
This is a great alternative to conventional provisionalization. It gives the patient the security of having something that will not break easily. It will also communicate the desired outcome and give the patient the confidence to move forward with treatment.
In the end, using the steps above could save you and your patients time and money by avoiding the need to create multiple veneer temporaries over multiple appointments. You’ll both be happier with this type of provisional.
References
- Hochman N, Zalkind M. Laminate veneer provisionalisation. Eur J Prosthodont Restor Dent. 1997 Mar; 5(1):31–4.
- Elkattah R, Kim JS, Londono J, Chiche G. Fabricating short-term interim restorations from edentulous tissue conditioner material. J Prosthet Dent. 2015 Oct; 114(4):614–5.
- Small BW. Provisional restorations for veneers. Gen Dent. 2008 Nov-Dec; 56(7):608–10.
SPEAR campus
Hands-On Learning in Spear Workshops
With enhanced safety and sterilization measures in place, the Spear Campus is now reopened for hands-on clinical CE workshops. As you consider a trip to Scottsdale, please visit our campus page for more details, including information on instructors, CE curricula and dates that will work for your schedule.

By: Ricardo Mitrani
Date: October 14, 2017
Featured Digest articles
Insights and advice from Spear Faculty and industry experts


