Occlusal Appliances: The Options
As an educator, one of the most confusing areas for clinicians in my experience concerns which occlusal appliance to prescribe. There are many reasons for the confusion, not the least of which is that there are so many different appliances available and taught by dental schools and private institutions. Most dentists therefore assume that what they are taught must be the correct appliance to use. The confusion starts when they discover somebody else uses a different appliance, or the one they made did not fulfill its intended purpose.
This brings us to one of the other reasons significant confusion exists, different patients may respond very differently to the same appliance. This means that your favorite design might be very comfortable for one patient, and yet not tolerated by another. This is especially true if you are trying to manage a patient in pain.

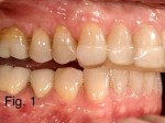
1. Anterior Only Appliances: This family of appliances is characterized by having no posterior occlusal contacts on the appliance; all of the occlusion is on the anterior teeth, both in clenching, and excursive movements. Familiar names would be a Hawley bite plane, very popular in the 1970s, a Sved appliance, NTI, Best Bite Discluder, and numerous spinoffs named after different clinicians. The differences with these appliances are typically how many anterior teeth are in occlusion, and whether the appliance covers the incisal edges of the anterior teeth or not. In addition these appliances can be constructed on the maxillary of mandibular teeth. Fig. 1 represents one style of anterior only appliance.

2. Full coverage appliances built in a seated condylar position, (Centric Relation), with anterior guidance: These appliances may be made on the maxilla or mandible. In either case, share the fact that the intercuspal position on the appliance has been adjusted with the patient’s condyles in a seated position. In addition the appliance has been adjusted so that during excursive movements there are no posterior occlusal contacts. Typically only the canines touch in left and right lateral movements, and the incisors in protrusive movements. Adding a ramp to the anterior portion of the appliance commonly creates the anterior guidance. Fig. 2 illustrates the concept of a ramp for anterior guidance.

3. Full coverage appliances built in a seated condylar position, (Centric Relation), flat plane: This appliance is essentially identical to the #2 appliance mentioned above, and can also be made on the maxillary or mandibular arch, the difference is its lack of anterior guidance. Instead the appliance is built as a flat plane, this typically allows some posterior occlusal contacts during excursive movements, particularly on the side the patient is moving toward, (group function). Fig. 3 illustrates the concept of a flat plane appliance without a ramp.

4. Full coverage appliances not built in a seated condylar position, but with anterior guidance: This appliance is identical to #2 also, except that its intercuspal position is not adjusted to coincide with the patient’s seated condylar position. It does provide anterior guidance when the patient moves in a lateral or protrusive direction from the intercuspal position.
5. Full coverage appliances not built in a seated condylar position, flat plane: This appliance is identical to #3 above, except that its intercuspal position is not adjusted to coincide with the patient’s seated condylar position. And as in #3, it typically allows for posterior occlusal contacts in excursive movements.
6. Posterior only appliances: These appliances are the opposite of anterior only appliances, in that they have only posterior occlusal contacts, no anterior contacts. Common names would be a “Gelb” appliance or a Posterior Pivot. Fig. 4 represents an example of a posterior only appliance without anterior contact.

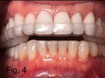
7. Mandibular anterior repositioning appliances: These appliances direct the mandible to a specific position anterior to a fully seated joint position. Depending upon the design of the appliance, they typically allow some amount of movement in a protrusive or lateral direction from the directed position. In addition they commonly cover both the maxillary and mandibular arches, but not always. The common appliances in this category are used to treat snoring or sleep apnea. Fig. 5 represents a maxillary only appliance designed to direct the mandible into an anterior position.
8. Soft appliances: These appliances are typically full coverage and created on either the maxillary or mandibular arch. Their occlusion varies as they are compressible and therefore the occlusal contacts change with bite force. They may be thought of as the common pressure formed athletic mouth-guard, but can be used for other purposes as well.
These eight categories cover the most common appliance designs, there is no wonder confusion exists given the number of possible options. In the next article I will examine why we prescribe appliances.
SPEAR NAVIGATOR
Transform how your practice runs by engaging the team through
coaching and training
A guided path to excellence through structured coaching and self-guided resources that will align your team, streamline processes and drive growth. Transform your practice by implementing Spear’s proven playbooks for developing and retaining a high-performing dental team.

By: Frank Spear
Date: November 15, 2013
Featured Digest articles
Insights and advice from Spear Faculty and industry experts



