The Importance of Using Dental Templates
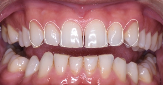
The move to digital technologies in dental education risks overshadowing tactile skills; Dr. Zadeh explains how tools like dental templates help bridge this gap.
The Pursuit of Great Dentistry
The Pursuit of Great Dentistry
The move to digital technologies in dental education risks overshadowing tactile skills; Dr. Zadeh explains how tools like dental templates help bridge this gap.
Empowering Future Dentists: Spear Education Hosts Diversity in Dentistry Event Spear Education recently hosted an inspiring event in partnership with Diversity in Dentistry Mentorships (now Mentorships in Dentistry) to empower the next generation of dental professionals. The event, held at Spear’s Scottsdale campus on Sept. 9, 2024, brought together undergraduate and dental school students for…
30 Dental Professionals Complete Spear Education’s Core Workshop Curriculum Path The Spear Core Workshop Curriculum is designed to help dentists master predictable, long-term success for cases from common to complex Spear Education proudly announces the successful completion of its Spear Core Workshop Curriculum by 30 dedicated dental professionals. These doctors have received this honor by…
Part four of Dr. Jason Smithson’s series on rubber dams, clamp options, floss ties, and Teflon tape takes center stage.
Dental industry trends that address accessibility, demographic influences, quality, and waiting times will evolve into best practices. Here are ten to watch.
Spear Education Announces Exclusive New Coaching Program Navigator provides self-guided and coach-directed tools that empower dental professionals and their teams to overcome challenges, streamline processes, and drive growth. Spear Education is excited to introduce Navigator, an innovative and exclusive coaching program designed to help dental practice owners achieve sustainable growth and elevate patient care by…
Monitoring your employee referral recruitment is essential to accurately assess its value. In the final part of our series on ERPs, we explore key metrics and improvement strategies.
In part 3 of this series, Dr. Jason Smithson covers the main arguments for using a rubber dam in dental procedures.
In part two of this guide to recruitment referral programs, we delve into what it takes to keep workers engaged and participating in your ERP.
Guiding patients in navigating dental insurance coverage disputes is essential to ensure they remain on track with their treatment plans.
End of content
End of content
Deliver Exceptional Patient Care and Take the Next Steps
7201 E. Princess Blvd, Scottsdale, AZ 85255
Phone: 866.781.0072 | Fax: 480.588.9072
User Agreement & Policies | Accessibility | Sitemap
© Copyright Spear Education, LLC, All rights reserved
Spear Education
Nationally Approved PACE Program
Provider for FAGD/MAGD credit.
Approval does not imply acceptance by
any regulatory authority or AGD endorsement.
4/1/2025 to 03/31/2028
Provider ID# 219029
7201 E. Princess Blvd, Scottsdale, AZ 85255
Phone: 866.781.0072 | Fax: 480.588.9072
User Agreement & Policies | Accessibility | Sitemap
© Copyright Spear Education, LLC, All rights reserved
Spear Education
Nationally Approved PACE Program
Provider for FAGD/MAGD credit.
Approval does not imply acceptance by
any regulatory authority or AGD endorsement.
4/1/2025 to 03/31/2028
Provider ID# 219029
7201 E. Princess Blvd, Scottsdale, AZ 85255
Phone: 866.781.0072 | Fax: 480.588.9072
User Agreement & Policies | Accessibility | Sitemap
© Copyright Spear Education, LLC, All rights reserved
Spear Education
Nationally Approved PACE Program
Provider for FAGD/MAGD credit.
Approval does not imply acceptance by
any regulatory authority or AGD endorsement.
4/1/2025 to 03/31/2028
Provider ID# 219029