Utilizing Laser to Remove Ceramic Veneers
One of the toughest challenges when replacing old ceramic veneers is ensuring that we do not remove sound tooth structure, which is what usually happens when we use conventional protocols utilizing high-speed handpieces and diamond burs for veneer removal, as it is nearly impossible to avoid unnecessary sound tooth removal, even when operating with magnification.
A great alternative recommended for some time is to utilize laser units. They effectively degrade the bonding interface (adhesive resin) with hydrolysis of the water in the resin cement, which leads to easy veneer removal.
Debonding mechanisms that cause the adhesive resin to degrade by laser energy were explained by Tocchio et al in 1993. When he published an article on debonding orthodontic brackets utilizing a laser unit, he referenced the terms “thermal softening,” “thermal ablation,” and “photoablation.”
Morford et al. utilized the Fourier Transform Infrared Spectroscopy on 10 flat veneer samples (IPS Empress Esthetic, e.max Press HT) to assess which infrared laser wavelengths transmit through a veneer. Fourier Transform Infrared (FTIR) spectra for bonding cement were also obtained.
Consequently, Er: YAG laser energy transmission through different veneer thicknesses was measured. The energy necessary for debonding was determined, and the veneers were debonded with the laser. The time needed for total debonding was measured, and possible damage to the underlying tooth structure was assessed by light microscopy.
While the veneers did not show any characteristic water absorption bands in the FTIR, the bonding cement showed a broad H2O/OH absorption band. The Er: YAG laser debonding protocol was the “scanning method,” which was considered the ideal method of choice. The fiber tip was positioned at a distance of 3.0-6.0 mm from the veneer surface. So, the study suggests that utilizing the Er: YAG to maintain the veneer integrity possibly depends on the flexure strength of the veneer porcelain.
A recently published comprehensive review of the literature revealed that the laser is effective without collateral damage to the remaining tooth structure. Nonetheless, further well-designed controlled clinical trials and longitudinal prospective studies are needed to determine the precise laser parameters and duration of irradiation that could be used to remove ceramic restorations with varying thicknesses.
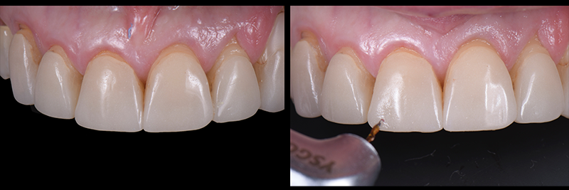
We have been successful utilizing the Waterlase iPlus (Er, Cr: YSGG) with the following settings (4 watts/ H mode/ 20 pulse/ 25 water/ 30 air) utilizing a turbo handpiece with the MX9 tip (Fig. 1). It’s essential to mention that we regularly alter these settings based on the veneer’s material, thickness, and clinical observation.

So far, we have experienced three different outcomes from this procedure.
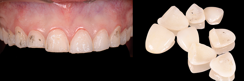
1. Clean Cut Removal
Essentially, the old veneer pops out intact, so it could be bonded back in place if needed. (Figs. 2–6)





2. Crack Removal
This mode of removal allows the dentist to remove large fragments through crack propagation, but prevents their utilization in the future. (Figs. 7–9)



3. Shatter Removal
This response to the laser often means that the ceramic shatters, and it takes longer for us to remove the veneer, but it allows us to do so without compromising the substrate. (Figs. 10 and 11)


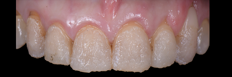
For some time now, it has been recommended that laser units be utilized for this purpose to obtain great results. The old veneers either pop out completely or crack, and the pieces can be easily removed. Sometimes, the old veneers “disintegrate” until the resin cement is evident.
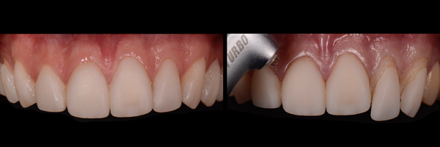
Once the veneer has been obliterated, a high-speed handpiece and a fine stripe diamond bur remove the underlying cement layer and expose fresh enamel/dentin for the future veneer.
References
- Tocchio, R. M., Williams, P. T., Mayer, F. J., & Standing, K. G. (1993). Laser debonding of ceramic orthodontic brackets. American Journal of Orthodontics and Dentofacial Orthopedics, 103(2), 155-162.
- Morford, C. K., Buu, N. C., Rechmann, B. M., Finzen, F. C., Sharma, A. B., & Rechmann, P. (2011). Er: YAG laser debonding of porcelain veneers. Lasers in Surgery and Medicine, 43(10), 965-974.
- Kellesarian, S. V., Ros Malignaggi, V., Aldosary, K. M., & Javed, F. (2018). Laser‐assisted removal of all ceramic fixed dental prostheses: A comprehensive review. Journal of Esthetic and Restorative Dentistry, 30(3), 216-222.
SPEAR ONLINE
Follow a Clear Path to Clinical and Practice Confidence
Next-level confidence isn’t random. It’s structured. Follow a clear pathway that will accelerate your clinical and practice progression.e.

By: Ricardo Mitrani
Date: April 9, 2019
Featured Digest articles
Insights and advice from Spear Faculty and industry experts



