Dental Patient Compliance and Adherence: Impacts on Outcomes and Costs
In the realm of dentistry, the terms patient compliance and patient adherence play pivotal roles in the success of various treatments, including interdisciplinary approaches involving orthodontics, periodontics, and implant therapy. While often used interchangeably, these terms signify different aspects of patient behavior. Patient compliance refers to the degree to which a patient passively follows the health care provider’s instructions. In contrast, adherence indicates an active commitment and cooperation by the patient, following the treatment plan agreed upon with the health care provider.
This essay delves into the significance of these concepts, particularly focusing on adherence, and explores how it lacks effects treatment outcomes and escalates treatment costs, especially when patients sporadically miss treatment sessions or fail to follow prescribed care regimens.
The difference between patient compliance and adherence
Understanding the distinction between compliance and adherence is crucial in the context of health care, particularly in dentistry. Patient compliance suggests a one-way relationship where the dentist prescribes and the patient follows, often without room for dialogue or adaptation based on patient needs and circumstances.
Adherence, a more modern and patient-centric approach, implies a collaborative relationship where treatment plans are discussed, agreed upon, and followed by the patient, acknowledging their active role in their own health care.



The impact of non-adherence on dental treatments
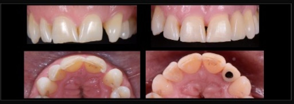
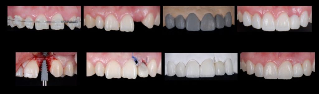
Non-adherence in dentistry can manifest in various forms: patients missing scheduled appointments; not following home care instructions; ignoring dietary recommendations (such as avoiding high-sugar foods, acidic soft drinks, or hard foods during the early stages of immediate loading implant protocols); or disappearing from the practice for long periods while in provisional restorations. These behaviors can significantly jeopardize the effectiveness of treatment plans, especially in complex interdisciplinary therapies and implant procedures.
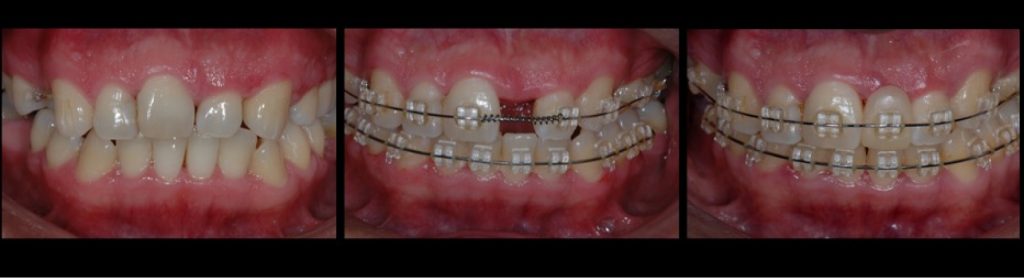
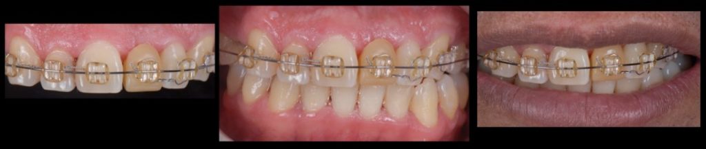
Orthodontic therapy often requires regular adjustments and strict adherence to wear schedules for devices like braces or aligners. Missing appointments or not wearing orthodontic appliances as prescribed can lead to extended treatment times, suboptimal results, or clinical relapse, requiring further corrective treatment.
Below are some images illustrating the consequences of non-adherence.


Some patients lose motivation over time or become distracted by other issues, which can hinder their ability to manage their dental health. It is not uncommon for patients wearing clear aligners to miss recall or follow-up appointments, which can impact their treatment.
The early stages of implant therapy are crucial for success. Adherence to a soft diet prevents undue stress on newly placed implants, and meticulous oral hygiene is critical. Non-adherence can lead to implant failure, infections, or the need for additional surgical interventions.
The consequences of non-adherence extend beyond prolonged treatment duration and compromised outcomes, including significant cost implications for both the patient and the health care system.
- Increased financial burden: Non-adherence can lead to additional procedures to manage complications or correct deviations from expected treatment outcomes. These additional treatments can be costly, increasing the overall financial burden on the patient.
- Resource allocation: When patients fail to adhere to the treatment plan, they utilize more health care resources, such as extra time from the dental professionals and additional materials. This not only impacts the efficiency of the dental practice but also affects the care of other patients who could have been treated during the time spent managing non-adherence.
- Risk of complications: In cases like implant therapy, non-adherence to post-operative care can lead to severe complications that require intensive and expensive treatments, thereby further escalating health care costs.
Strategies to enhance adherence
Improving patient adherence in dentistry requires a proactive approach, focusing on patient education, communication, and patient active involvement.
Enhanced communication
Effective communication forms the cornerstone of patient adherence. Clear, understandable explanations of the treatment processes and the importance of following each step can significantly increase adherence rates.
One of the biggest challenges of patient adherence is that many individuals with debilitated dentition who decide to embark on sophisticated interdisciplinary treatments, such as tooth extractions, implant placement, and immediate loading protocols, have a history of lifelong neglect. As the saying goes, old habits die hard.
It is not uncommon for these individuals to initially appear highly motivated but then revert to their old behaviors, missing appointments and going missing for extended periods. In many cases, they only return when complications arise. This can strain the doctor-patient relationship and may damage trust.
From the patient’s perspective, paying high sums of money and seeing things deteriorate can be frustrating and discouraging. From the treating team’s perspective, the frustration is equally significant, as all the time and effort in planning and execution may seem wasted. In these situations, effective communication is essential, and using analogies that resonate with patients can be helpful.
Comprehensive patient education
Educating patients about the consequences of non-adherence and the benefits of following the treatment plans can motivate them to take their treatment more seriously. In our office, we have been utilizing our library of Spear Patient Education videos consistently since 2016.
There are home care videos for each dental treatment, allowing patients to review step by step instructions clearly. We can even do customized annotations and email them these videos for their review and track their progress which can be particularly effective.

Patient-centered treatment plans
Customizing treatment plans to fit the patient’ s lifestyle, preferences, and capacities can improve adherence. For instance, offering appointment times that are convenient for the patient or simplifying care routines can lead to better adherence.
Regular follow-ups and reminders
Regular follow-up appointments and reminders can help keep patients on track. Automated reminder systems and follow-up calls or messages can be an effective way to reduce missed appointments and ensure continuous engagement with the treatment process. Let’s face it: our teams often need to become dental health coaches for our patients, as some require extra reminders to stay on track.
A shift toward collaborative and patient-centered dental care
The distinction between patient compliance and adherence is more than semantic; it reflects a fundamental shift towards a more collaborative and patient-centered approach in health care. In dentistry, where treatments often require extended periods and significant patient involvement, adherence is critical. The lack of adherence not only affects the efficacy of treatment but also significantly increases health care costs and resource utilization.
By employing strategies focused on improving communication, education, and patient engagement, dental professionals can enhance patient compliance and adherence, thereby improving treatment outcomes and optimizing health care resources. Ultimately, fostering a culture of adherence within the dental care framework is essential for the success of treatments and the well-being of patients.
VIRTUAL SEMINARS
Stay Sharp. Stay Current. Stay Ahead.
Join live, focused training designed to help you implement immediately and strengthen your expertise.

By: Ricardo Mitrani
Date: October 8, 2024
Featured Digest articles
Insights and advice from Spear Faculty and industry experts


