What Are Treatment Options for the Cracked Tooth?

In the first two parts of this three-part series on tooth cracks and fractures, I’ve discussed and reviewed the nature of diagnosing cracked or fractured teeth and the five types of tooth fractures that have been defined and described by the American Association of Endodontists.1,2 In this final article of the series, I’ll discuss the treatment options and rationale for the five different cracks when found in teeth.
When it comes to managing and repairing fractured teeth, there are a lot of thoughts/ideas/beliefs in doing so, especially for the ones that are slightly cracked or have nonrestorable fractures.
We’ll start with the easier types of cracked teeth to manage, then delve into the teeth with cracks that require different treatment modalities.
From craze lines to fractures
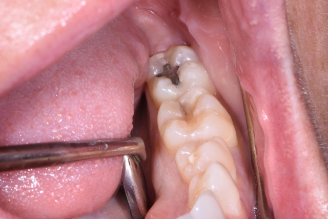
The most common, yet least concerning, “crack” found in teeth is a craze line, which only involves the enamel. They are commonly found in anterior and posterior teeth, and are present on the enamel surface. No treatment is indicated for these types of “cracks”; you simply need to monitor them for any changes in the tooth and craze-line area. (Craze lines are more of a concern when near or adjacent to restorations.)
On the other end of the spectrum of cracked or fractured teeth are vertical root fractures and split-tooth fractures. Once a tooth has been diagnosed with a vertical root fracture, sometimes the root involved is removed or, most of the time, the entire tooth is condemned and removed.
Vertical root fractures can mimic other conditions such as periodontal disease or, in previously treated root canal teeth, a failing endodontic treatment, so we may sometimes need to have a periodontist or endodontist help rule out these other possible concerns before final treatment of the tooth involved.
A split tooth starts in the coronal portion of the tooth and extends downward into the root surface. If the tooth isn’t split too far apically, it may be salvageable, but if the crack goes too far apically down the root surface, the tooth will often have to be extracted. Of course, you have to assess the pulpal status, because the pulp often is or has been involved in the deeper cracks and will require treatment.
Planning treatment for fractured cusp vs. cracked tooth
The last two types of cracked teeth, fractured cusp and cracked tooth, get a lot more interesting. We as clinicians have to manage each patient and tooth individually, because every situation can have a different set of variables. It can vary from a completely asymptomatic fracture noted upon removal of an old restoration to a tooth that has constant pain upon biting and thermal sensitivity to one that has a fractured cusp present with no sensitivity. Do you treat each of these the same? No. If not, how do you manage them? Here are some insight and guidelines on how to manage that cracked tooth or fractured cusp:
Once you’ve gathered data and developed a working diagnosis on the tooth in question, you have to determine the extent of the crack and whether the pulp is involved and healthy. If the pulp is healthy and stable, then is it a fractured cusp we are managing, or a cracked tooth? If it’s a fractured cusp, we have to look at removing the fractured cusp and assess the remaining tooth structure. If enough tooth remains, it may be possible to do a direct restoration to manage the situation. If not, then the tooth may require an inlay, an onlay or a build-up and crown.
Which one depends on many things: the amount of tooth and enamel left, ability to isolate, material choice, whether you’re bonding or cementing, whether it’s in an esthetic area where margin placement is of concern, how it plays into the long-term treatment plan (is it adjacent to an area missing teeth, will the patient need other restorations, bite changes, orthodontics), etc.

Considerations for cracked tooth treatment
If it’s a cracked tooth rather than a fractured cusp, the fracture/crack tends to be more centered in the tooth and, if not managed or treated properly, will lead to a split tooth and eventual tooth loss. In these situations, it’s recommended that the patient be informed of the guarded long-term prognosis of the pulp and/or tooth before pursuing treatment. Even with our best efforts, a cracked tooth can eventually get worse and lead to pulpal necrosis or a split tooth and tooth loss.
With a cracked tooth in which the pulp is involved and irreversibly inflamed and/or necrotic, the tooth will need root canal treatment along with assessing how deep the crack goes. Is it just into the pulp chamber or is it deep into the pulpal floor and down into the root itself? The deeper the crack, the more concerned we have to be about the long-term prognosis and whether the tooth will become a split tooth and eventually be lost.
If the pulp is healthy and intact, then the goal is keep the crack from getting worse. Covering the crack in its entirety will also keep bacteria from invading deeper into the tooth and leading to pulpal necrosis or future tooth loss. We also want to alleviate any symptoms prior to completing the final restoration.
Efficacy of final restoration methods
Ideally, the restoration should cover the entire crack, along with giving cuspal coverage and support. This is usually best managed with a crown or a build-up, which accomplish both criteria.
One study3 shows that if a cracked tooth with reversible pulpitis is managed with a crown and/or build-up, more than 80% of them are still vital in six years, with the remaining 20%of them eventually leading to irreversible pulpitis. Today, with all the new and improved materials and bonding techniques, many clinicians try to be “conservative” by leaving more of the tooth behind and managing these types of cracks with bonded direct or indirect restorations. The research is still out on just how effective these types of restorations are, but it looks promising.4,5
In my opinion, one part of success for these types of bonded restorations is that they’re more technique-sensitive than crowns, require the incorporation of sound restorative and bonding principles, and have to be completed at a very high level, using excellent isolation and magnification of the tooth in question. The other part that was mentioned in and discussed in one literature review6 is simply the ability of the clinician to develop a consensus of when to treat, what type of restoration to complete, and when to intervene with treatment.
With this in mind, ultimately, if the cracked tooth cracks further and eventually involves the pulp or develops into a split tooth and is lost, then we have to ask: Did we really help our patient long-term? Hopefully we will have more clinical studies in the future that can help guide us to doing the best and most conservative treatment and help our patients keep their teeth for a lifetime.
References
- American Association of Endodontists. Cracking the Cracked Tooth Code. Endodontics: Colleagues for Excellence. 1997 Fall-Winter; 1-13.
- American Association of Endodontists. Cracking the Cracked Tooth Code: Detection and Treatment of Various Longitudinal Tooth Fractures. 2008. Summer; 1-7.
- Krell KV, Rivera EM. A six year evaluation of cracked teeth diagnosed with reversible pulpitis: treatment and prognosis. J Endod. 2007;33: 1405-1427.
- Signore A et al. A 4- to 6-year retrospective clinical study of cracked teeth restored with bonded indirect resin composite onlays. Int J Prosthodont 2007; 20: 609-6160.
- Opdam NJM et al. Seven-year clinical evaluation of painful cracked teeth restored with direct composite restoration. JOE 2008; 34: 808-811).
- 6Lubisich, EB, Hilton, TJ, Ferrance, J. Cracked Teeth: A Review of Literature. J Esthet Restor Dent. 2010; Jun22:(3)
SPEAR STUDY CLUB
Join a Club and Unite with
Like-Minded Peers
In virtual meetings or in-person, Study Club encourages collaboration on exclusive, real-world cases supported by curriculum from the industry leader in dental CE. Find the club closest to you today!

By: Jeff Lineberry
Date: April 12, 2017
Featured Digest articles
Insights and advice from Spear Faculty and industry experts


