A Quick Tooth Shade Matching Technique to Simplify the Chairside Process
Restoring teeth to a natural appearance is a challenging task today. Patients’ expectations are high, and there is a wide array of restorative techniques and materials from which to choose. It incorporates restorative materials that blend seamlessly with the surrounding teeth, and at the crux of it all is the tooth shade matching technique.
Restorative dentists need to understand the challenges related to tooth color and shade matching. The fewer teeth restored, the more challenging the task, so creating an acceptable outcome can be daunting. However, a subtractive shade evaluation technique can help simplify the chairside selection process.
Tooth Shade Selection Basic Principles
Understanding color dimensions is critical in the outcome of the restorative procedure.
- Hue defines the color.
- Chroma defines the intensity or saturation of the color or hue.
- Value defines the lightness or darkness observed.
And adhering to basic protocols when selecting shades will also assure a predictable and consistent result:
- Clean debris from matched teeth.
- Remove bright colors from the field of view.
- Determine tooth shades in daylight or under standardized daylight temperature lamps.
- Keep treatment room walls neutral in color.
- Perform shade selection at eye level.
- Evaluate shades under multiple light sources/conditions.
- Perform shade matching before tooth desiccation occurs at the beginning of treatment.
- Quickly complete shade matching/selection to avoid eye fatigue/strain.
Instrumental and visual/manual techniques are used for shade selection in clinical practice. The instrumental technique uses chairside spectrophotometers or colorimeters (e.g., VITA Easyshade, Cynovad ShadeScan, etc.). However, since these instruments are expensive and exhibit variable results, most practitioners use a visual/manual technique to select shades.

The Vitapan Classical Shade Guide (a.k.a., VITA) is the most popular and historical, developed in 1956. It consists of 16 tabs arranged in four groups, A-D, based on hue with increasing chroma. Chroma increases as 1, 2, 3, 4.
The tab arrangement is as follows:
- A: Reddish-Brownish – A1, A2, A3, A3.5, A4
- B: Reddish-Yellowish – B1, B2, B3, B4
- C: Greyish – C1, C2, C3, C4
- D: Reddish-Grey – D1, D2, D3
VITA introduced the Vitapan 3D-Master Shade Guide in 1998 as a shade matching guide improving the predictability and logical sequencing of matching teeth shades. The numbering system is slightly different than the VITA Classical Shade Guide because it incorporates a number-letter-number format.
- The first number of the VITA Classical Shade Guide indicates a color’s value from 0-5 (lightest to darkest).
- The middle letter indicates a color’s hue (Yellowish-Medium; R-Reddish).
- The second number indicates a color’s chroma from 1-3 (least to most chromatic).
This system observes a color’s value followed by hue and then the hue’s intensity, or saturation/chroma; however, porcelain powders and shade formulations correspond only to the VITA Classical Shade Guide rather than the Vitapan 3D-Master Shade Guide. Suppose both shade guides are utilized in the determination process. In that case, it is ideal to always include a photographic image of a VITA Classical Shade tab as a reference, along with the master tab.
In tooth shade matching, begin with a color’s hue, followed by chroma, then value. The subtractive tooth shade matching technique utilizes this sequence as a basis for choosing or selecting teeth shades. The technique is a simple, efficient, and predictable method to quickly get to a reference shade tab that reflects the general appearance of a tooth. Because it is a powerful and efficient technique, it is important to follow the steps precisely, as shown in the sequential photographs.
Subtractive Tooth Shade Matching Technique

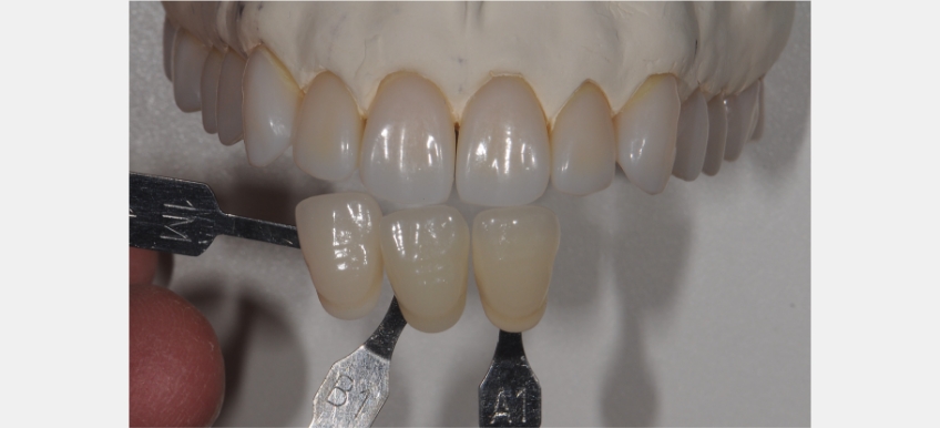
To begin, select an approximate shade using 3-5 shade tabs. Pick three tabs that reflect your initial observations of hue, chroma, and value and best match the color of the representative tooth. You do not need to spend much time selecting at this point. It takes only a few seconds to obtain the approximate series of shade tabs.

Have an assistant hold the tabs next to the representative tooth while you begin subtracting tabs from the selected series. Shade tabs should be the same plane as the reference tooth or teeth.
More facial shade tabs will appear lighter (higher in value) than the reference tooth. Tabs placed more palatal will appear darker (lower value) than the reference tooth.
I prefer to place the tabs’ incisal edge to the incisal edge of the reference tooth or teeth to maintain the same facial plane. Focus on the middle third of the shade tab as a reference point for determining the best match while proceeding through this selection exercise.

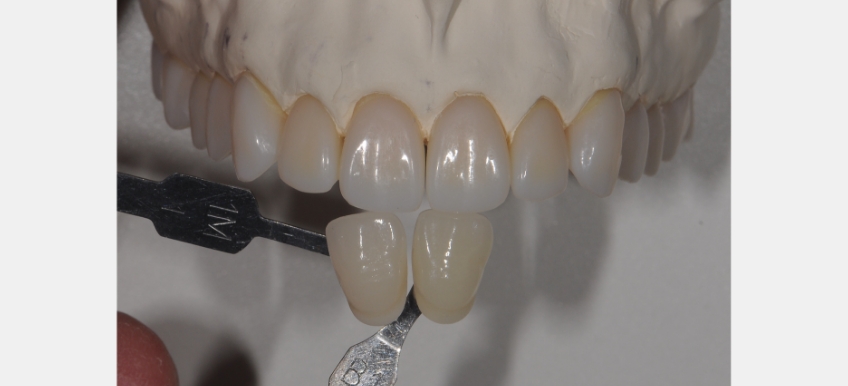
Begin the subtractive tooth shade matching technique by closing your eyes for 3-4 seconds. Then open your eyes and select the shade tab that does not match/belong, which should be obvious and performed quickly. Remove that shade tab from the group.

Next, close your eyes and wait 3-4 seconds again. Open your eyes, indicate the non-matching shade tab, and remove this tab from the group.

Continue this process until there is only one tooth shade tab remaining, which reflects the approximate hue, chroma, and value of the reference tooth. Indicate the selected shade on the dental laboratory prescription.
In this example, a Vitapan 3D-Master shade tab remained closest to the reference tooth. The dental laboratory receives this image along with the previous image that included the Vita Classical tab B1 and any additional details and nuances on the prescription, such as incisal edge translucency, craze lines, hypo calcification, etc.
Using this subtractive tooth shade matching technique should quickly and efficiently provide a reference to the proposed shade. I hope you find this technique valuable and efficient in gaining improved restorative outcomes.
References
- Ragain, J. C. (2016). A review of color science in dentistry: shade matching in the contemporary dental practice. Journal of Dental & Oral Disorders Therapy, 4(2), 1-5.
- Egger, B. (2001). Natural Color Concept. Quintessenz Zahntechnik, 27(11), 1284-1296.
- Alayed, M. A., Alnasyan, A. S., Aljutayli, A. A., Alzaben, M. M., Alrusayni, W. M., & Al Hujaylan, A. A. (2021). Considerations and implications in shade selection for dental restorations: A review. Journal of Pharmacy & Bioallied Sciences, 13(Suppl 2), S898.
- Paravina, R. D., & Swift Jr, E. J. (2009). Color in dentistry: match me, match me not. Journal of Esthetic and Restorative Dentistry, 21(2), 133-139.
- Paravina, R. D. (2009). Performance assessment of dental shade guides. Journal of Dentistry, 37, e15-e20.
SPEAR ONLINE
Team Training to Empower Every Role
Spear Online encourages team alignment with role-specific CE video lessons and other resources that enable office managers, assistants and everyone in your practice to understand how they contribute to better patient care.

By: Jeffrey Bonk
Date: July 12, 2022
Featured Digest articles
Insights and advice from Spear Faculty and industry experts


