The Importance and Strategy Behind Custom Incisal Guide Tables
Restoration of natural teeth and implants to proper form and function is integral to our patient treatment success. The objective is maintaining physiologic integrity harmoniously with adjacent hard and soft tissues. The goal of complex restorative treatment is to attain:
- Freedom from disease in all masticatory structures
- Maintain a healthy periodontium
- Obtain stable TMJs
- Create a stable occlusion
- Maintain healthy teeth (and implants, as needed)
- Create optimal esthetics
- Provide comfortable and smooth function
These goals for restorative dentistry are essential to gain predictable results that will last a long period for our patients. Individually, each contributes to the overall restoration success. However, the functional component represents a critical piece to the puzzle of rehabilitating complex and dysfunctional presentation. Proper function is crucial to a stable long-term result.
Establishing and managing anterior guidance during functional movements is a key aspect for attaining this success, and custom anterior guide tables are instrumental in this regard.


Unfortunately, many dentists (and patients) think of occlusion as static. The general perspective is putting the upper and lower teeth together, biting down, or interdigitating tooth models together.
These perspectives are important, for sure, but occlusion is dynamic rather than static. How the teeth relate to each other in moving pathways determines the long-term stability and success of restorations.
Understanding and designing functional courses that help attain and create stability leads to predictable outcomes, and anterior guidance is the chief component of long-term success.
Schyuler’s Principles of Occlusal Dynamics
The term dates to 1953, when Dr. Clyde Schyuler introduced the concept of anterior guidance. The principles of occlusal dynamics that he embraced are still valid and applied today. When applied to dental restorations, these principles help to create occlusal stability and functional success.
Schyuler’s principles are:
- Static coordinated occlusal contacts of the maximum number of teeth when the mandible is in centric relation
- Anterior guidance in harmony with lateral eccentric position on the working side
- Disclusion of all posterior teeth in protrusion
- Disclusion of all non-working inclines in lateral excursions
- Group function (as needed) of working side inclines in lateral excursions
Schyuler espoused the importance of managing tooth contacts during functional (dynamic) movements. Many other researchers have also advocated the use and importance of anterior guidance in restorative dentistry. Developing occlusions without attention to these principles leads to potential failure. Anterior guidance was Schyuler’s key to success — and it is the “tool” used to achieve these predictable results.
The Value of Anterior Guide Tables for Restoring Anterior Teeth
We know the importance and value of anterior guidance — the goal is to disclude the posterior teeth in lateral functional movements. Whether canine contact or group function is utilized depends on the stability of the teeth and periodontium for each situation.
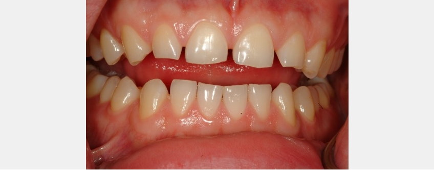
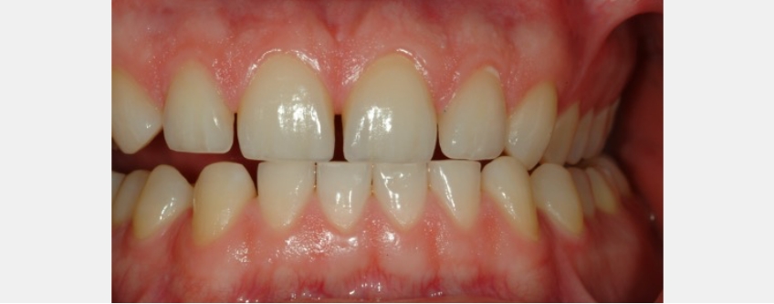
In restoring anterior teeth, the decision must be made to either maintain the existing guidance patterns or change the anterior guidance to create stability. Anterior guide tables are utilized for these changes.
Incisal guide tables are fabricated from face-bow-mounted models of natural teeth or provisionals. Excursions are traced from the centric position outward to the maximum lateral (eccentric) position on the semi-adjustable articulator.
Typically, an acrylic material is utilized for the incisal guide pin to trace the lateral movements and create the guidance patterns. Alternatively, a laboratory putty may be substituted as the tracing medium.
The tracing pattern/process moves the guide pin through the “doughy” material until it completely sets. This tracing provides a replica of the lingual and incisal contours. When the dental technician mounts the prepared teeth models, the technician may ideally form the final restorative contours using the custom incisal guide table as a reference.
Changing Incisal Guidance Patterns


When restoring anterior teeth to correct esthetics and function, provisionalization is critical. Establishing proper shapes, contours, and functional surfaces are key components of provisionals. These changes can and will direct and alter the guidance that subsequently occurs.
The provisionals “test-drive” the esthetic and functional change. Correction and alteration of the provisional contours affects the guidance and tooth-to-tooth relationships. Once these contours are acceptable, casts of these tooth shapes are obtained, and duplication of these contours can be established by fabricating the incisal guide table.
This customized “pathway device” helps the dental technician establish the final restorations’ exact ceramic/metal contours.
Maintaining Existing Guidance or Slope




Sometimes, maintaining the anterior guidance contours is essential, which may be necessary for patients who require restoration of a worn dentition. Patients with excessive wear patterns may not be able to tolerate a steepened anterior guidance pattern — an inadvertent increase in steepness could result in premature ceramic restoration fracture, tooth mobility, or another catastrophic event.
To avoid these situations, it is necessary to “duplicate” the existing guidance pathways of the worn dentition so as not to steepen the anterior guidance. This process is accomplished by mounting models (via face-bow transfer on a semi-adjustable articulator) of the patients existing worn teeth.
An incisal guide table is fabricated by tracing the worn tooth patterns in excursive directions. Once the custom guide table is fabricated, the diagnostic wax-up is completed using this guide table as a reference to the slopes and angles of disclusion represented from the worn dentition and wear patterns.
This approach may be used to fabricate the new provisional restorations in the existing guidance contours. This technique will allow for better control and predictability as the restorative process proceeds.
As a reference, this thought process and technique are well outlined and thoroughly discussed in our Worn Dentition campus workshop.
Achieving Predictability With Anterior Guide Tables
I hope this discussion and explanation give you some insight into the importance and use of incisal guide tables. The Spear Online platform contains additional information about the use and fabrication of these guide tables. Additionally, your dental laboratory technicians can be a valuable source of information and understanding.
Restoration of debilitated dentitions can be very challenging — there is significant complexity to re-establishing proper function and stability in these cases. The use and application of incisal guide tables reduce some of the anxiety associated with the restorative process.
These devices provide reference, guidance, and predictability for the outcome. I encourage you to learn how to utilize and implement these guide tables into routine restorative practice.
References
- Schuyler, C. H. (1953). Factors of occlusion applicable to restorative dentistry. The Journal of Prosthetic Dentistry, 3(6), 772-782.
SPEAR campus
Hands-On Learning in Spear Workshops
With enhanced safety and sterilization measures in place, the Spear Campus is now reopened for hands-on clinical CE workshops. As you consider a trip to Scottsdale, please visit our campus page for more details, including information on instructors, CE curricula and dates that will work for your schedule.

By: Jeffrey Bonk
Date: November 29, 2021
Featured Digest articles
Insights and advice from Spear Faculty and industry experts


