Restorative Space for Locators: How Much is Enough?
A simple question focused on edentulous treatment options, for what might be an entry-level dental implant-related prosthesis, results in several case-dependent scenarios. A literature search results in a significant variation in recommended space requirements from 8.5 mm to 12.0 mm — what does that mean exactly?
Not many outcome-oriented treatment results in dentistry would accept 3.5 mm or more variation. What information is currently available that assists in the treatment planning for an edentulous patient looking for a locator-assisted or supported removable prosthesis?

Vertical Height Considerations
The lingering thought is this: If 8.5 mm of restorative space is the minimum requirement, is it reasonable to assume that is enough, and move forward with treatment? How does a more restorative space help us?
Let’s say 12.0 mm is at the top of the range for the minimum space needed. What about 15.0 mm? What are the risks associated with 8.5 mm, and what are the risks associated with 15.0 mm?
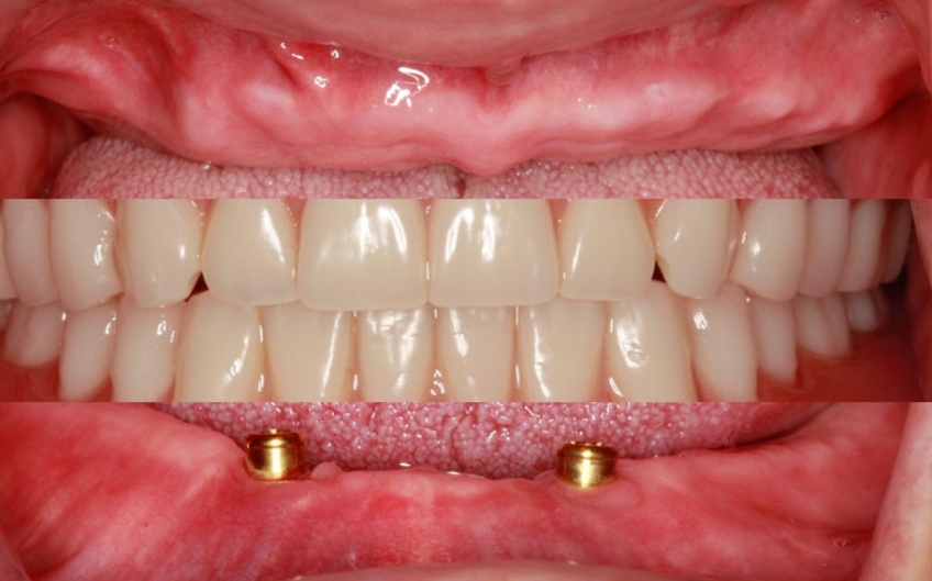
The first consideration relates to what we are measuring — the starting and ending points of the measurement. Let’s assume we are working with a Straumann bone-level implant, where the restorative platform is level with the alveolar bone. We will begin the measurement at this point.
- The thickness of soft tissue in a hypothetical example is 2.0 mm
- The recommended thickness of acrylic around the metal locator housing is 2.0 mm
- The combination of the locator abutment (1.0 mm above tissue), the locator housing and attachment (2.25 mm), along with a space between the attachment & abutment to accommodate for movement (1.0 mm), equals 4.25 mm
- The restorative space measurement required to embed the locator components in the acrylic denture base adds up to 8.25 mm
The 8.5 mm measurement as a minimum for restorative space works well for a 2-implant retained overdenture where the attachments are embedded in acrylic and positioned lingual to the denture teeth in the anterior segment.
What about a scenario where the denture tooth is positioned over the attachment components?
The visible labial aspect of the tooth can overlap the attachment components while maintaining 2.0 mm of acrylic horizontally. The lingual height of the denture tooth that accommodates some overlay of acrylic resin onto the surface, for example, is 3.0 mm.
When the denture tooth is included in the vertical space measurements, the distance is now 11.25 mm to the crest of the alveolar bone, or in this scenario, the restorative platform of the dental implant.

Think about the cross-section of a denture tooth positioned over the attachment components. A posterior tooth, premolar or molar, works well with a 3.0 mm lingual tooth height, providing a surface area for acrylic to overlap the denture tooth approximately 1.0 mm — leaving 2.0 mm if the tooth is exposed relative to the denture base.
Contrast this with an anterior tooth, where 2.0 mm of exposed tooth on the lingual or palatal aspect will result in a bulky contour leading up to the incisal edge. To simulate a more natural contour, additional restorative space is needed in the anterior segment, where 3.0 mm of lingual tooth height may not be enough.
All the above scenarios relate to locator abutments connected directly to the dental implant fixture. Adding a connecting bar, using the locator attachment system, will increase the vertical space requirements. The height of the bar must also include the desired space between it and the soft tissues to facilitate cleansability.

Horizontal Space Considerations
Overdenture design incorporates the support of the extraoral soft tissues while at rest and during facial expression. Understanding the soft tissue support the overdenture provides depends on the extraoral landmarks that help determine tooth position.
This is the concept described in the LTR Classification, where the L focused on lip support, the T on tooth position, and the R, as the third phase, focused on the ridge relative to the desired tooth position based on the lip support. The focus of the LTR Classification is on the horizontal component of the removable overdenture prosthesis.
The horizontal space requirements of a Locator attachment system include 5.45 mm for the metal cap and 2.0 mm of acrylic surrounding the cap. When evaluating the space in cross section, 9.45 mm of space is required where the 2.0 mm of acrylic is on the facial and lingual of the 5.0 mm wide metal housing.
Here is where the denture tooth comes into view once again. As mentioned above, a denture tooth can overlap the locator components if enough acrylic remains (2.0 mm) to surround the metal locator cap or housing.
What Happens When the Denture Tooth Is Adjusted?
A layered composite denture tooth is explicitly designed with a layer that bonds well to acrylic and a layer that responds well to the functional forces involved in chewing. When a modern denture tooth is modified to accommodate a locator cap, for example, it is undoubtedly possible to compromise the bond to the denture base. Modifying the denture tooth may increase the chances of repair in the future.
What Happens Clinically?
Dental implants improve the retention and stability of a removable prosthesis while exposing weak points in the design that would otherwise be unnoticed.
Advertisements for direct-to-implant attachment systems often highlight the degree of accommodation available for angled dental implants. The angled locator abutments add stress to the system, which shows up as nylon attachments that quickly wear out, increased wear of the abutment itself, and the need for additional restorative space to accommodate the components and the path of insertion/removal. Angle correction can be accomplished using a connecting bar with adequate restorative space.

Acrylic is less than 2.0 mm, resulting in increased flexibility where the locator cap comes out of the denture base or fractures over the locator housing. The material properties of acrylic processed under heat and pressure improve with increased thickness.
The goal of using acrylic with a thickness of at least 2.0 mm is to improve the flexural strength and resistance to bending that occurs during function and on insertion and removal of the overdenture.
A metal intaglio framework is recommended to increase the stiffness of the overdenture and minimize material fracture. The framework is typically made of a cobalt chrome alloy designed to limit bending and torsional challenges that could break the overdenture. The metal framework’s volume adds to the amount of restorative space required vertically and horizontally.
It’s important to understand that the recommended 2.0 mm acrylic thickness is not reduced but rather added to the metal framework thickness and remains part of the restorative space calculation.
Setting Expectations
Inevitably, complications arise when pushing the envelope on the material requirements. Sometimes, teeth break simply because the prosthesis is dropped in the sink while being cleaned.
As teeth functionally wear over time and as the patient inserts and removes the implant-retained/assisted overdenture over time, the prosthesis’s weak point will come to light, providing an opportunity to discuss the next steps.
Having a discussion with the patient in advance to set expectations is an important component of care related to implant-retained or assisted overdentures.
SPEAR campus
Hands-On Learning in Spear Workshops
With enhanced safety and sterilization measures in place, the Spear Campus is now reopened for hands-on clinical CE workshops. As you consider a trip to Scottsdale, please visit our campus page for more details, including information on instructors, CE curricula and dates that will work for your schedule.

By: Doug Benting
Date: November 5, 2021
Featured Digest articles
Insights and advice from Spear Faculty and industry experts


