Benefits of Deep Margin Elevation for Treating Subgingival Margins
Author’s Note: Since this article was published in 2018, many people have asked about deep margin elevation. This conservative technique for restoring teeth with subgingival margins can be helpful for both direct and indirect restorations, and avoids the removal of bone and surgical treatment often necessary to access and restore teeth with subgingival margins.
Additional research has emerged since 2018 that further supports the benefits of utilizing deep margin elevation techniques for restoring teeth. Below, you’ll also find an additional technique dubbed the “Belknap band” that was introduced to me by my colleague and friend, Dr. William Belknap, to help with the adaptation of the matrix band for this procedure. Hopefully, you enjoy learning more about this concept and can utilize it for patients who present with subgingival margins.
Subgingival margins are a common clinical challenge. In these cases, deep margin elevation can be a useful technique to help restore teeth to their proper form and function.
What is deep margin elevation? In essence, this procedure involves placing a material to raise the restorative margin to an equigingival or supragingival location. Some of the earliest work published on the concept came from Dietschi and Speafico in 1998.
This technique has been referred to by many different names, including the “open sandwich technique,” “proximal box elevation,” and “margin elevation technique.” The concept gained traction in 2012 when Pascal Magne discussed the concept as a paradigm shift for direct and indirect restorations.




Since Magne reintroduced the concept, deep margin elevation has been gaining popularity as a way to raise indirect restoration margins supragingivally, especially for intraoral scanning. Margin elevation can be performed using a host of different materials, such as composites, glass ionomers or resin-modified glass ionomers.
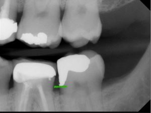
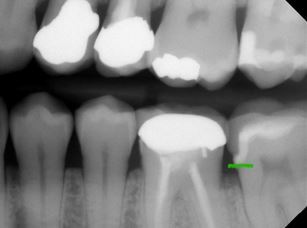
How does deep margin elevation work? Once the subgingival aspect of the prep is completed, a matrix is placed and tightly adapted to the tooth structure. A wedge is often not placed, enabling the margin elevation to reproduce an appropriate emergence profile.
The tooth is treated using the etching and bonding protocol (for composite) or a tooth conditioner (for glass ionomer or RMGI). The material can flow passively against the matrix until it is at an equigingival or supragingival location.





Typically, a post-op bitewing is taken to confirm the proper adaptation of restorative material to tooth structure, mainly when deep margin elevation is used to elevate a margin for indirect restorations. Deep margin elevation can be utilized near the bone with negligible effects on the biologic width when performed in a limited area.
In some cases, the matrix band may need to be adapted to accommodate the prep’s subgingival aspect. A #2 Tofflemire band or a modified #1 Tofflemire band can extend the matrix to ensure an adequate seal of the margin elevation material to the tooth.

Deep margin elevation has been shown to provide predictable long-term survival rates up to a decade after its performance. It’s yet another tool in our toolbox for managing subgingival preparations.
The Belknap Band
After adapting the matrix band so it seats further apically, it may still be challenging to have the band rest flush against the tooth. Gingival tissue may be present between the matrix band and the tooth’s subgingival margin in these instances. This increases the risk of material extending beyond the margin, leading to overhangs that are extremely difficult to correct.

To overcome this, the Belknap band can be utilized. Named after my friend and colleague, Dr. William Belknap, who taught me this technique, Teflon tape is placed between the band and the adjacent tooth.

This ensures an intimate adaptation between the band and the tooth, enabling the proper adaptation of restorative material during the margin elevation procedure. After the deep margin elevation technique is performed using the Belknap band, the Teflon tape and matrix band are removed, the new margin is refined, and the direct or indirect restoration can be completed.
References
- Frese, C., Wolff, D., & Staehle, H. J. (2014). Proximal box elevation with resin composite and the dogma of biological width: clinical R2-technique and critical review. Operative Dentistry, 39(1), 22-31.
- Dietschi, D., & Spreafico, R. (1998). Current clinical concepts for adhesive cementation of tooth-colored posterior restorations. Practical Periodontics and Aesthetic Dentistry, 10, 47-54.
- Magne, P., & Spreafico, R. C. (2012). Deep margin elevation: a paradigm shift. American Journal of Esthetic Dentistry, 2(2), 86-96.
SPEAR ONLINE
Team Training to Empower Every Role
Spear Online encourages team alignment with role-specific CE video lessons and other resources that enable office managers, assistants and everyone in your practice to understand how they contribute to better patient care.

By: Andy Janiga
Date: May 7, 2021
Featured Digest articles
Insights and advice from Spear Faculty and industry experts


