Can Bonding Broken Tooth Fragments Really Work?
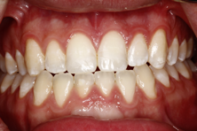
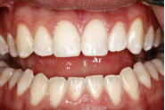
A 19-year-old patient named Tim presented with a crown fracture on his two central incisors. We decided to use the broken tooth fragments he brought to repair the fracture; the treatment was successful. Tim was pleased to have his smile back, and I was glad we could accomplish an otherwise long, complex restoration in a short emergency visit.

Published research, as well as Andreasen’s guide on dental trauma, recommends that rebonding of fractured fragments is a viable treatment option. What helped us get a favorable outcome in this case?
- The fracture had not affected the pulp.
- I was able to see Tim within hours of the accident.
- Tim had been able to bring the fractured fragments with him when he came to see me.
- He had put the fragments in a moist paper towel inside a plastic bag, so the fragments were not dehydrated.
- The fragments were a perfect fit. The pieces when put together completed the missing tooth structure in its entirety.
Technique

- First, a putty index was made with the broken fragments in position.
- Generous bevel was placed on the enamel. This helped to increase the enamel surface area for better bond strength.
- The putty index was used to orient the fragments to correct location.
- Composite restoration with total-etch technique using a fourth-generation bonding agent was completed.
- Using the fragments made it easy to replicate the original anatomic form, color, and texture in the restoration.
It’s been 15 months, and Tim hasn’t had any problems with the treatment. (He also doesn’t wear the nightguard appliance I recommended; however, his teeth have tested vital at two follow-up appointments.)

References
- Badami V, Reddy SK. (2011). Treatment of complicated crown-root fracture in a single visit by means of rebonding. The Journal of the American Dental Association, 142(6), 646-650.
- Macedo GV, Ritter AV. (2009). Essentials of rebonding tooth fragments for the best functional and esthetic outcomes. Pediatric Dentistry, 31(2).
VIRTUAL SEMINARS
The Campus CE Experience
– Online, Anywhere
Spear Virtual Seminars give you versatility to refine your clinical skills following the same lessons that you would at the Spear Campus in Scottsdale — but from anywhere, as a safe online alternative to large-attendance campus events. Ask an advisor how your practice can take advantage of this new CE option.

By: Vivek Mehta
Date: April 12, 2012
Featured Digest articles
Insights and advice from Spear Faculty and industry experts


