Vertical Root Fractures: The Diagnostic Dilemma and Hidden Menace
Endodontic procedures can have the same success rate as implants when proper techniques are used.
That said, reinfections after endodontic procedures can be frustrating. While missed canals, improper canal cleaning, and obturation are causes for failure, coronal leakage and root fractures are the source of most endodontic failures.
Proper hygiene and well-fabricated restorations can help prevent coronal leakage, but root fractures can be a real enigma. Excessive canal enlargement and obturation forces are significant contributors to root fractures, which are often unrecognized even prior to endodontic treatment.
Early recognition of root fractures is significant. Undiagnosed, a root fracture can not only cause failure of the endodontic treatment, but it can also be responsible for extensive periradicular bone loss, which can compromise a future implant in the area. Diagnostic prowess and good radiographic assessments are paramount in determining whether a root fracture is present, especially before endodontic treatment.
Let’s start with a pre-treatment assessment and a few simple concepts from the dental literature. The most common tooth in the mouth for vertical root fractures is the lower second molar. Therefore, before considering endodontic treatment — especially on a lower second molar — use some common-sense diagnostic tools and be aware of findings in the dental literature.
The most common place to see a root fracture is on the marginal ridges, especially the distal marginal ridge. Good magnification and transillumination are helpful. In a case whereby the pulp is non-vital, the clinician should always ask: “Why is that pulp non-vital?”
Consider a situation whereby the pulp is non-vital, with or without radiographic evidence of periapical bone loss. Was there gross caries or a large restoration in the tooth? What if there was no restoration or caries in the tooth? If that were the case, why was the pulp non-vital?
This is a consideration that should point the clinician to consider that the cause is a vertical root fracture. The root might not be “split” and the clinician might not be able to visualize the fracture, but in the absence of any other observed etiology, the clinician should consider that a root fracture is present and that the prognosis for the pending endodontic treatment might not be favorable.
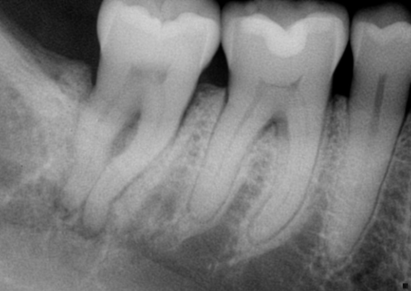
This is known as “fracture necrosis.” Figures 1A-1C highlight an undiagnosed root fracture in the lower second molar. Note non-vital pulp with periapical/periradicular bone loss and no restoration or caries. The clinician should question why the pulp became non-vital. With no other objective etiology, a vertical root fracture should be considered.
Radiographs and especially CBCT are valuable diagnostic tools for determining the presence of a root fracture. Unfortunately, unless the fracture is wider than about 0.15 mm (the tip of a #15 endodontic file), it cannot be visualized in the CBCT scan. There are some strong associations between radiographic findings and the presence of a root fracture. Specifically, when the bone loss presents in a “J” shaped pattern, it is highly suggestive that a root fracture is present.



This can often be seen on a two-dimensional periapical radiograph, with the bony lesion typically extending from the apex to the crestal bone, sometimes resulting in a deep and narrow isolated periodontal pocket. This pocket sometimes cannot be probed because it occurs in the interproximal area. Taking radiographs of the lower second molars can be challenging, especially with patient compliance (sometimes the tooth is “way back there” and may be uncomfortable for the patient).
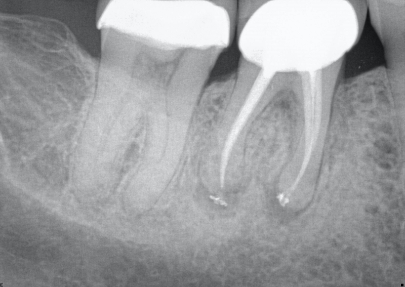
Consider this: lower second molars are typically positioned in the cancellous bone, almost directly in the middle of the buccal and lingual cortical bony plates. When pulp necrosis becomes infected, the subsequent bone loss is only observed on a periapical radiograph when the bone loss reaches the junction of the cancellous and cortical bone. This makes the radiographic diagnosis of pulp necrosis difficult, especially for the lower second molar. CBCT can be essential in determining periapical or periradicular bone loss (see Figures 2A-2B).


Endodontic procedures remove diseased pulp and promote periapical healing. The root canal procedure ultimately provides the foundation for a final restoration. The endodontic treatment and subsequent full-coverage restoration can be expensive for the patient. Therefore, proper pre-treatment assessment is imperative.
Often, an undiagnosed root fracture can cause endodontic treatment to fail even before the endodontic treatment is initiated. Proper pre-treatment diagnosis, common sense, and clinician intuition will help the patient avoid unnecessary treatment by recognizing root fractures in their earliest stages.
SPEAR STUDY CLUB
Join a Club and Unite with
Like-Minded Peers
In virtual meetings or in-person, Study Club encourages collaboration on exclusive, real-world cases supported by curriculum from the industry leader in dental CE. Find the club closest to you today!

By: Lou Berman
Date: January 13, 2020
Featured Digest articles
Insights and advice from Spear Faculty and industry experts


