Veneer Preparations: When To Break Interproximal Contact
When preparing teeth for veneers, I aim to be conservative and leave everything in enamel. This would mean leaving the interproximal intact and not preparing through the contact. Unfortunately, this may not always be possible or recommended, depending on the clinical situation.
This article will address the clinical situations encountered in practice that necessitate breaking the interproximal contact.
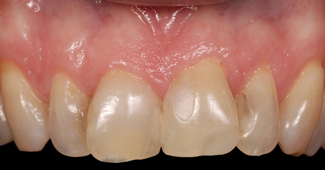
Existing interproximal restorations
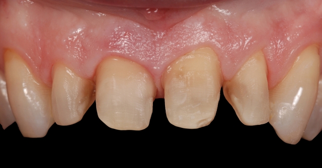
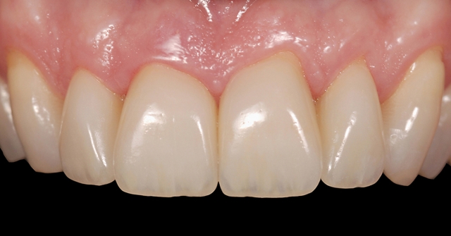
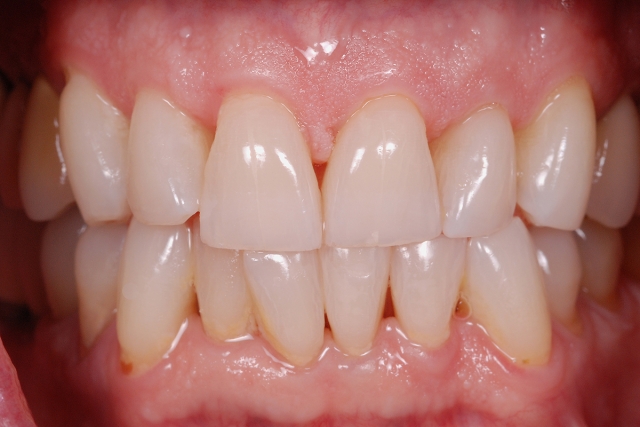
In most clinical situations, if a Class III restoration is present, I will prepare through the contact to get beyond the composite and place the margin on sound tooth structure (Figs. 1a–1c).



In these situations, I will also typically replace the existing composite during tooth preparation so I know it is sound. The risk of placing the margin on the existing interproximal restoration is microleakage, which may lead to discoloration/caries.1
It must be noted that there are times when I will leave my veneer preparation on composite with the idea of being more conservative with the preparation. Generally, the existing interproximal restorations in these situations extend much farther onto the palate — so much so that if you wanted to get beyond the restoration, you would prepare the tooth for a partial crown. In these circumstances, replacing the existing composite and placing the veneer margin through the contact on the palatal surface is critical to be accessible if/when future leakage occurs.
Diastemas, triangular-shaped teeth, open gingival embrasures
It is imperative to prepare teeth with diastemas or black triangles through the interproximal embrasure and place the margin at the interproximal-palatal line angle (Figs. 2a–2c).



This allows the technician the ability to close the diastema while maintaining a smooth emergence off of the preparation. In addition, the tooth preparation in these situations needs to be dropped subgingival for the same reason of creating a natural subgingival emergence profile that is easily cleanable.
Significant color change is desired
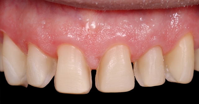
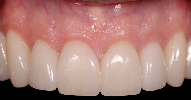
The more dramatic the color difference between the natural tooth and the desired veneer restoration, the more apt I am to prepare through the interproximal (Figs. 3a–3c).



The main goal here is esthetics. Moving the margin more palatally removes the risk of seeing the junction or show-through from the tooth.
It’s interesting to note that when you combine the above clinical scenarios with the many other reasons why veneers would typically be placed, you’ll find that it is not uncommon for the preparation to break the interproximal contact.
Reference
- Peumans M., De Munck J., Fieuws S., Lambrechts P., Vanherle G., Van Meerbeek B. (2004). A prospective ten-year clinical trial of porcelain veneers. Journal of Adhesive Dentistry, 6(1).
SPEAR campus
Hands-On Learning in Spear Workshops
With enhanced safety and sterilization measures in place, the Spear Campus is now reopened for hands-on clinical CE workshops. As you consider a trip to Scottsdale, please visit our campus page for more details, including information on instructors, CE curricula and dates that will work for your schedule.

By: Greggory Kinzer
Date: March 8, 2017
Featured Digest articles
Insights and advice from Spear Faculty and industry experts


