Terminal Dentition: 6 Common Causes
(Dr. William Runyon co-authored this article.)
There is a growing challenge for our profession: The aging U.S. population is demanding better alternatives to edentulism.
A National Institute of Health study revealed that nearly 1 in 5 patients over the age of 60 is edentulous, a number that jumps to 1 in 3 after the age of 75.1 (The number of edentate patients in the United States is currently stable at 9 million,2 but the baby boomer generation sees a new member turning 65 years of age every seven seconds!
Key elements responsible for edentulism
The key elements responsible for edentulism aren’t new to us — they’re conditions we deal with daily, and two or more of them occurring together seem to accelerate their lethal potential. The resulting mutilation and irreparable damage to our patients’ teeth is devastating; once the assault from these corrosive syndromes begins, it’s difficult to quickly or cost-effectively reverse the effects, and that can lead to terminal dentition.
The scope and magnitude of the diseases discussed in this article are not borderline-caries cases; they’re catastrophic and total in their scope of assault. We’ll discuss the psychological component of dealing with this diagnostic challenge in later articles, but first we must lay the groundwork of recognizing some of the most common conditions and syndromes contributing to terminal dentition.
Xerostomia
Also called “dry mouth,” xerostomia is common in many older patients. It’s usually thought of in conjunction with Sjogren’s syndrome, an autoimmune disorder, but xerostomia has a much broader clinical presentation potential. I see it most often as the result of taking of two or more prescription drugs that decrease salivary flow. Lose the buffering effects of saliva, and rampant decay is the result.
Rampant dental caries
Rampant dental caries is usually seen as a co-morbidity of xerostomia. When it affects the elderly, the root surfaces are the area most critically damaged.
Periodontal disease
Severe periodontal disease is ever-present in our world today, affecting almost 1 in 4 Americans over the age of 65. A major contributor to terminal dentition, severe periodontal disease is responsible for edentulism in approximately 33% of this group.2
Gastroesophageal reflux disease
GERD may seem out of place on this list, but it contributes to an acidic, corrosive environment in the oral cavity, and the damaging effects left behind are increasingly linked to root caries. Identified as a co-morbidity of sleep apnea, GERD leaves behind easily recognizable acid corrosion of the dentition — every dentist has seen the “pothole” defect on occlusal surfaces of posterior teeth. Additional signs include macroglossia, narrow mandible arch, high palatal vault, large uvula, and enlarged tonsils.2
Worn dentition
Worn dentition is rarely the sole contributor of terminal dentition; it’s usually a co-morbid factor with xerostomia and GERD. Worn dentition is one of those subtle disease processes that can sneak up on you and your patient. Many times, you may wonder, “When do I say something about a patient’s excessive wear?” I try to relate the consequences to worn dentition as soon as I see signs of wear.
Drug abuse
Drug abuse is a slightly different contributor to terminal dentition. Many times, these patients are much younger. Though it may seem unlikely that this group would be included in the terminal dentition conversation, their disease is no less damaging than those diseases outlined above. The rampant caries seen in this group is often so advanced by the time they seek help that the damage is beyond repair. Many times, it’s just too late to salvage their dentition. We need a restorative platform that addresses this impending need; one resource is a familiar implant-supported restoration.
Presenting a fixed hybrid solution
Terminal dentition is one reason the fixed hybrid restoration is gaining new attention and popularity. The availability of immediate delivery is likely responsible for much of this new attention. Immediate delivery satisfies most patients facing the difficult dilemma of edentulism. You have no doubt heard advertisements for “teeth in a day.” It comes as no surprise that a patient would be drawn to this type of resolution when faced with a denture. The comfort of knowing they will awaken from surgery with a fixed prosthesis is understandable.
You might now wonder if you need to advertise for this patient population. Should you blog for this particular group of patients, or perhaps hire SEO advertisers to help you find them? I would tell you that you do not have to do any of the above to begin treating this patient population. Your desire to identify these patients merely involves identifying the syndrome we mentioned earlier.
In short, your next “new patient” examination might be an “immediate fixed hybrid” patient, a longstanding patient with new physiologic conditions that leave them vulnerable to disease, or an emergency patient you’re going to see next week. This latter scenario is exactly how I met the patient in this case study.
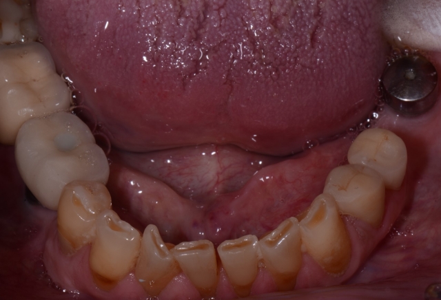
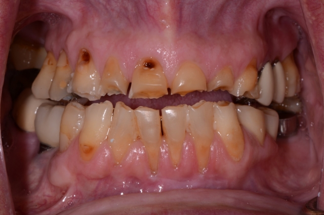
Roger came to my practice as an emergency patient; in his mind, he only needed to have his implant crown retightened.


During the oral examination, I recognized that Roger had three of the syndromes we discussed above: extreme worn dentition, xerostomia, and GERD. The damage was extensive and left his dentition in an extremely catastrophic state.


At this point, my job was to educate him as to the true state of his dentition. A patient doesn’t always recognize the gravity of the situation until it’s too late; it becomes our responsibility to inform them and educate them as to the consequences of these conditions.
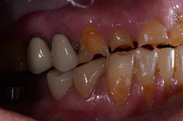
This is a great time to enlist the skills taught at Spear. The Treatment Planning With Confidence course specifically equips dentists to address these challenges. For example, knowing how to illustrate the patient’s true condition with 35 mm photography is a powerful teaching tool that not only identifies the disease processes but also effectively educates the patient as to their best restorative option.
When we see the syndromes causing a terminal dentition, we see the potential IMFH patient. I say “potential” patient because I believe it’s important to share all treatment options with a patient. Roger, for example, was presented several options, including orthodontic correction and traditional crown and bridge, and it was his choice as to which option best fit his life circumstance.
Many times, I see patients drawn to the IFH because of its simplicity. Patients can see the end goal more easily, there are fewer steps, and they’re happy to avoid an edentulous period no matter how short. Not all patients have options like Roger; in some cases, the options for patients are more limited. The IFH may be their only fixed restorative choice.
Any patient could be your next case
When you started this article, you may have been after a specific answer to “Who are these patients?” or “What does an IFH patient look like?” I hope you realize the IFH patient can be anyone and everyone impacted by one of the key syndromes outlined today.
Remember, you may be seeing your next IFH patient when you step back and really assess your patient’s overall condition. Stop and take some photos of the patient’s dentition. Be aware of changes in hard and soft tissue. Is there new recurrent coronal decay? Is there active root caries and decreased salivary flow? When you recognize signs of teeth under attack and segments of the dentition are affected, it may be time to take a new direction. The population of patients affected by these syndromes is only growing larger.
References
- Dye BA, Thorton-Evans G, Li X. Lafolla T. Dental caries and tooth loss in adults in the United States, 2011–2012. NCHS Data Brief. No 197, May 2015. U.S. Department Of Health And Human Services
- Int. J Dentistry. The impact of edentulism on oral and general health, Published Online, 2013. May 8.
- The burden of oral disease, 2012. National Institute of Health, National Institute of Dental and Craniofacial Research, Baltimore.
- Poss S. Diagnostic evaluation and treatment approaches used in dental sleep medicine. Compendium 2016 Volume 37, 3:156-162

By: William Ralstin
Date: June 28, 2016
Featured Digest articles
Insights and advice from Spear Faculty and industry experts


