MI Paste Plus and White Spot Lesions
MI Paste Plus is a product that has many benefits in dentistry. Literature clearly demonstrates the benefits of MI Paste Plus for:
- Management of tooth sensitivity
- After scaling and root planing
- Reducing tooth sensitivity
- Combating acid erosion for patients who have a high incidence of dental decay
Studies have also shown that the paste can eliminate and restore the acid imbalance caused by severe dry mouth by enhancing salivary function.

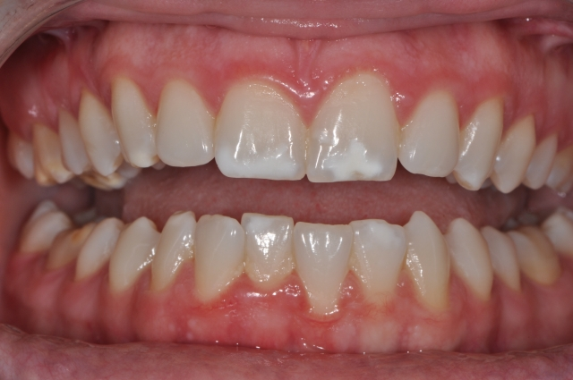
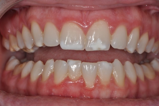
Another application for MI Paste Plus is the elimination of white spot lesions. WSLs are areas of opacity or hypocalcified enamel on the clinical crown, caused by incipient carious lesions secondary to the plaque buildup. This increase in plaque creates an acidic environment that ultimately leads to the demineralization of tooth structure.
WSLs are commonly seen around orthodontic brackets and bands in patients with poor oral hygiene. These areas can then become demineralized. As a result, the enamel surface of the tooth exhibits a milky or chalky white opacity that becomes very unaesthetic. Patients, in turn, can lose confidence in their appearance.
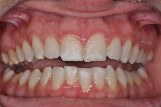
With the advent of MI Paste Plus, it’s possible to treat these areas before bleaching, significantly improving a patient’s smile. Applying MI Paste Plus to the tooth can remineralize the tooth surface, making whitening more successful and resulting in a more symmetric and esthetic tooth appearance.

The mechanism of action is achieved by delivering bioavailable calcium and phosphate back into the oral cavities that are deficient. MI Paste Plus is the only product that contains both fluoride and Recaldent (CPP-APCP), a special milk-derived protein that releases these vital minerals, allowing the tooth to remineralize. Because it is derived from milk casein, it is contraindicated in patients with a milk allergy.
The recommended protocol for using MI Paste Plus on white spot lesions is as follows:

- Microetch the tooth surface affected, then rinse with water.
- Apply 37% phosphoric acid on the affected tooth surface for 2 minutes, followed by rinsing the site with water.
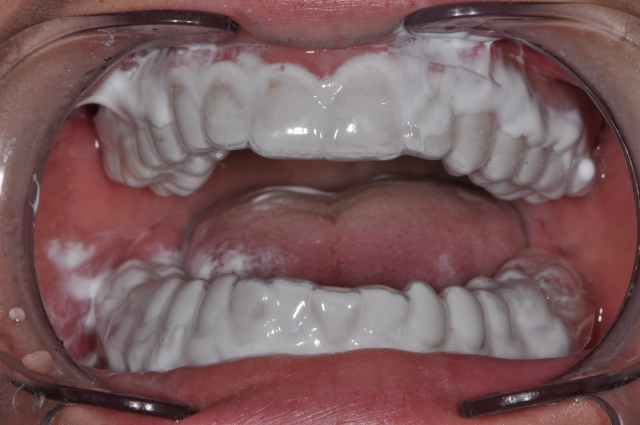
- Apply the paste in premade trays (I use standard bleach or fluoride delivery trays made at the consultation appointment).
- After application for 5 minutes, the patient can expectorate the material but should not rinse. The material will dissolve.
- The patient is sent home with two tubes of MI Paste Plus and applies the material two times a day for 5 minutes each application. The patient should be instructed to not rinse after application, but just to expectorate the material from their mouth. The patient should not eat or drink for a minimum of 1 hour to maximize efficacy.
- The patient should return in one month to document their progress. If white spots remain, a second in-office treatment with microetching, followed by phosphoric acid, can be repeated.
- The patient then applies the paste for another month, two times a day.
- Once the desired result is achieved, the patient can bleach their teeth if necessary and expect a more even and aesthetic result.

Reference
Clark, SE. Remineralization effectiveness of MI Paste Plus — a clinical pilot study. MS thesis, University of Iowa, 2011. http://ir.uiowa.edu/etd/939.
SPEAR STUDY CLUB
Join a Club and Unite with
Like-Minded Peers
In virtual meetings or in-person, Study Club encourages collaboration on exclusive, real-world cases supported by curriculum from the industry leader in dental CE. Find the club closest to you today!

By: Andrew Cohen
Date: December 30, 2015
Featured Digest articles
Insights and advice from Spear Faculty and industry experts



