Managing Implant Challenges in the Esthetic Zone
In contemporary restorative dentistry, esthetic challenges associated with implants in the anterior maxilla aren’t uncommon. While multifactorial, these challenges often stem from improper three-dimensional placement of the implant.
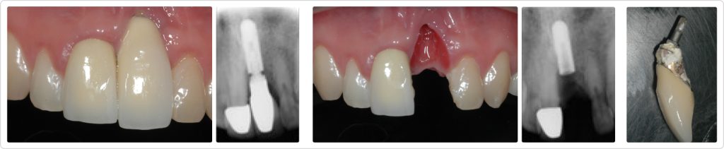
This patient had been in an auto accident that avulsed Tooth #9. His dentist at the time replaced the avulsed tooth with an immediate implant-supported restoration, but the patient was unhappy with the outcome and presented to our practice one year after the restoration had been delivered, seeking other solutions.

Several elements of his previous treatment (Figs. 1–5) were visibly deficient:
- The restoration was ill-fitting, and tartar and plaque had accumulated at the implant interface.
- The implant was placed too far apical and facial, creating an asymmetric gingival level when viewed alongside the adjacent central incisor. (When working with central incisors, care must be taken to provide gingival symmetry to attain an esthetic outcome, and this was far from it.)
Although the patient remained emotionally affected by his auto accident and previous implant surgery, he still wanted to explore the most predictable solution to his problem.
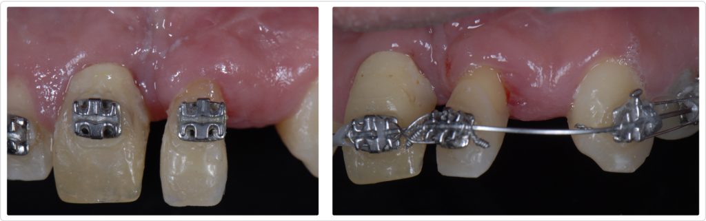
First, we surgically removed the faulty implant and placed a bone graft to compensate for the residual defect. Tooth #8 had a ceramic crown that would need to be replaced, so it was straightforward to provide a cantilever provisional restoration during the healing phase (Figs. 6–8).

The first restoration option presented was a tooth-supported cantilever fixed partial denture, but the patient wanted to know if something could be done to further enhance esthetics and functional aspects.
- Esthetically, he was aware of the lack of interproximal papilla between the central incisors and was not pleased with the overly long centrals.
- He also expressed concern about the long-term predictability of a cantilever bridge. (The patient was an engineer, so explaining the biomechanical principles associated with implants ended up being quite simple.)
Implant placement options and challenges
A single-tooth implant would normally be the logical approach to address this situation; however, our team faced an important concern: Despite the graft placed after the implant had been removed, the residual defect would likely require another bone and soft tissue graft to obtain a more predictable soft tissue outcome around the implant. And the patient had mentioned that he’d like to minimize the number of surgical interventions.
Another approach for improving the peri-implant site would utilize the proven benefits of tissue enhancement with adjunctive orthodontic therapy (AOT). The lateral incisor could be bodily moved into the position of the central incisor, and an additive ceramic veneer would provide an ideal contour for Tooth #9. This would provide our team with an optimal site for the placement of an implant and its subsequent restoration. However, Tooth #10 exhibited post-traumatic root resorption with a poor prognosis. This meant we could opt to either:
- position the tooth as a central incisor once the orthodontic phase was finalized, place only one implant in the position of the lateral, then eventually extract #10 and replace it with an additional implant, or
- extract #10 immediately after the orthodontic phase was completed and place implants to replace both the central and the lateral incisor.
Planning adjacent implants presents an enormous esthetic challenge because the team needs to mimic the dento–gingival architecture, particularly the interdental papilla, of the contralateral side. Otherwise, a distracting asymmetry will result.
Adjunctive orthodontic therapy
Both treatment options were presented to the patient during a thorough discussion that helped him understand their implications. During the conversation, another important challenge involved with the AOT alternative was highlighted: managing the space created during the orthodontic phase before implant placement.
Fortunately, the patient insisted on the most structurally and biomechanically sound solution. Accordingly, the team proposed performing AOT as a proven, predictable means of getting optimal hard and soft tissue volume, instead of performing additional bone and soft tissue grafts.

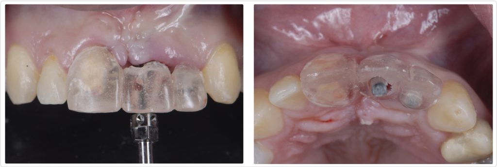
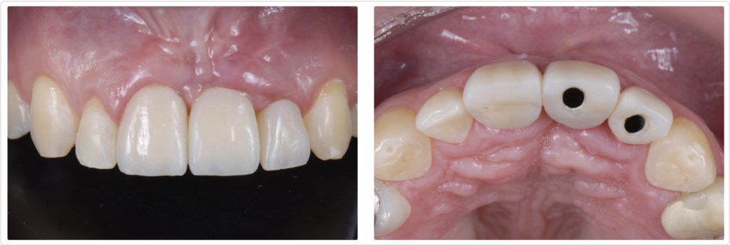
The orthodontic therapy (Figs. 9 and 10) took nearly a year, and luckily the patient adhered to our recommendations and home care (which can be problematic with some patients). Once the ortho was finalized, we extracted the lateral incisor, placed two osseointegrated implants using a restrictive surgical template, and then restored them (Figs. 11 and 12).

While the esthetic outcome (Figs. 13 and 14) wasn’t 100% perfect, our team provided a very reasonable result, particularly when considering how the patient initially presented.

Practice active listening to increase patient acceptance
While not every patient will agree to undergo a process that could take well over a year, adjunctive orthodontic therapy can be a great treatment option for someone willing to adhere to recommendations to attain a better result.
With the advent of clear aligner therapy, adult patients are more willing to undergo orthodontic treatment, particularly when it involves esthetic tooth alignment. However, acceptance of AOT where restorative and/or surgical intervention is also indicated is still challenging, particularly if AOT is recommended for implant site development.
The value of AOT is often hard to comprehend at first glance, and it should be expected that patients will initially resist the idea of orthodontics. It requires an artful, full-communication endeavor for them to grasp the unique advantages such therapy poses.
The secret ingredient in presenting therapy involves two parts:
This is when we can express the “why” behind our recommendation, and that the “why” stems from our conviction that what we’re offering is irrefutably in their best interest.
Active listening on our end shows patients that we care and understand their concerns; only when they believe this can we expect them to follow up and become active listeners.
SPEAR campus
Hands-On Learning in Spear Workshops
With enhanced safety and sterilization measures in place, the Spear Campus is now reopened for hands-on clinical CE workshops. As you consider a trip to Scottsdale, please visit our campus page for more details, including information on instructors, CE curricula and dates that will work for your schedule.

By: Ricardo Mitrani
Date: December 3, 2024
Featured Digest articles
Insights and advice from Spear Faculty and industry experts


