How Pulp Testing Can Benefit Restorative Dentistry
Pulp testing is a quick, easy, and predictable way to assess the health of a tooth’s pulp. Although it is commonly utilized in endodontics, pulp testing is an underutilized tool that can help ensure more predictable results for restorative dentistry.
The Pulp Testing Process
Pulp testing assesses the health of a nerve within a tooth. Although historically this process was called vitality testing, this phrase is a misnomer. A pulp oxygen tension test indicates if pulp tissue is vital. Currently, there is no clinically viable way to perform a pulp oxygen tension test. Thus, the actual vitality status of the nerve cannot be definitively determined. However, the sensibility of the nerve (i.e., whether it responds to a stimulus) can be assessed to diagnose the nerve’s status.
A pulp test is performed by applying a stimulus to the tooth and evaluating its response. Multiple studies discuss the most predictable way to perform pulp testing. Both electric stimuli, in the form of an electron pulp test device, and a cold stimulus, in the form of a refrigerant such as Endo Ice, have been found to reliably produce an accurate sensibility response. Heat stimuli like hot water will not produce as accurate a sensibility response and should be avoided for pulp testing.
Pulp Testing Using a Cold Stimulus
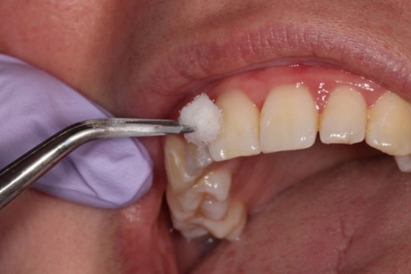
A cold stimulus is a common and efficient way to assess the pulpal status. When a refrigerant is utilized as a cold stimulus, the refrigerant can be sprayed directly on a cotton pellet or sprayed into a cup to make a bath in which cotton pellets can be bathed before being applied to the tooth.

How a cold stimulus is applied to the tooth can affect the test result. When a dense material, such as a cotton tip applicator, is utilized to apply the cold stimulus to the tooth, there is a higher probability of false positive or false negative results. However, when a large cotton pellet is utilized to apply the refrigerant to the tooth, the probability of a false positive or false negative result decreases significantly. Thus, a large cotton pellet is considered the most reliable way to determine pulp sensibility when using a cold stimulus.

Pulp Testing for Restorative Dentistry
Endodontists commonly perform pulp testing to establish a pulpal diagnosis. After pulp testing, a pulpal diagnosis of a normal pulp, symptomatic reversible pulpitis, symptomatic irreversible pulpitis, or pulpal necrosis can be established. Based on the pulpal diagnosis, endodontic therapy may or may not be indicated.
Endodontic therapy is typically not pursued when a normal pulp or symptomatic reversible pulpitis is diagnosed. However, for symptomatic irreversible pulpitis or pulpal necrosis cases, damage to the pulp tissue has occurred and may warrant root canal therapy.
Pulp testing also has benefits in restorative dentistry. Before administering anesthesia, a pulp test can be performed on teeth that clinically and radiographically show signs of deep carious lesions or deep existing restorations.
The sensibility of the pulp tissue will enable the clinician to determine the pulp’s status before starting treatment. If the tooth has a cold response that dissipates within 10 seconds, restorative treatment can be pursued, knowing that the pulp is likely healthy. However, suppose the tooth has a lingering, intense response lasting more than 30 seconds or does not respond to the cold or electric stimulus. In that case, there is likely an unhealthy pulp that may require endodontic therapy before restorative treatment can be completed.


Pulp testing is commonly utilized in endodontics, but also benefits restorative dentistry. This diagnostic procedure helps determine the health of the pulp and provides more predictable results for all patients.
References
- Chen, E., & Abbott, P. V. (2009). Dental pulp testing: a review. International Journal of Dentistry, 2009(1), 365785.
- Hirschberg, C. S., Galicia, J. C., & Ruparel, N. B. (2021). AAE position statement on vital pulp therapy. Journal of Endodontics, 47(9), 1340-4.
- Duncan, H. F. (2022). Present status and future directions—Vital pulp treatment and pulp preservation strategies. International Endodontic Journal, 55, 497-511.
- Peterson, K., Söderström, C., Kiani‐Anaraki, M., & Levy, G. (1999). Evaluation of the ability of thermal and electrical tests to register pulp vitality. Dental Traumatology, 15(3), 127-131.
- Jones, D. M. (1999). Effect of the type carrier used on the results of dichlorodifluoromethane application to teeth. Journal of Endodontics, 25(10), 692-694.
- “Endodontic Diagnosis.” AAE, Colleagues for Excellence, Newsletter, Fall, 2013
SPEAR campus
Hands-On Learning in Spear Workshops
With enhanced safety and sterilization measures in place, the Spear Campus is now reopened for hands-on clinical CE workshops. As you consider a trip to Scottsdale, please visit our campus page for more details, including information on instructors, CE curricula and dates that will work for your schedule.

By: Andy Janiga
Date: September 27, 2022
Featured Digest articles
Insights and advice from Spear Faculty and industry experts


