How Digital Technology Ignited My Love of Doing Full Dentures
How do you feel about doing full dentures? Although one of my favorite instructors in dental school — who happened to be my best friend’s father — taught me a lot about dentures, I never really loved doing removables. There were so many steps and visits, not only to get to the delivery point but also for follow-up. Also, most patients never truly appreciated their removable solutions because they’re a far cry from the teeth they used to have.
Luckily for us and our patients, two things have improved the world of removable dental prosthetics: implants, which have given us the ability to significantly improve the retention of removable prosthetics, and digital record-taking and fabrication.
This article, which focuses on full dentures, highlights two workflows that have made me enjoy doing dentures more than I used to: immediate fabrication and replacement of an existing, worn-out denture.
When I started down the path of digital full dentures, I was more than a little nervous and skeptical. However, I was genuinely shocked at the results and how big a difference going to a digital workflow and printed prosthetic made in the record-taking steps and the delivery — and, at least so far, the follow-up.
Case 1: Creating an Immediate Denture
Let’s start with the workflow for an immediate denture. Traditionally, you’d be looking at getting as good an impression as possible and then, if practical, making a custom impression tray to get a better impression and bite. From there, if enough teeth were missing, you’d do a wax rim and/or teeth-in wax try-in, then fabricate the denture on models after the teeth were removed from the models.
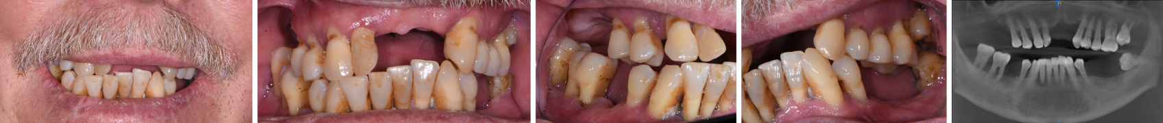
As a comparison, let me walk you through a case I did not long ago, using a CEREC Primescan digital scanner. The patient (Figs. 1–5) was referred by a retired dentist who had worked with one of my primary periodontists, with whom I treated this case.

After reviewing treatment options with the patient, we decided to start with immediate upper and lower dentures, with the understanding we could reconsider implants as needed or desired. We discussed that, at a minimum, we’d eventually need to reline the dentures, and even with relines, we might need to fabricate a new set of dentures after his hard and soft tissues had healed and the initial ridge resorbed.
After evaluating the case further, my periodontist and I decided he would extract some posterior teeth before I scanned the patient and had the immediate dentures printed. Figs. 6–8 show the patient after those extractions; Figs. 9–14 are the scans I took.


From there, it was as simple as selecting a shade and uploading everything to the lab. Having photos of the patient’s existing teeth and face (not shared in this article for HIPAA reasons) allowed the lab to virtually extract the teeth and do a virtual wax try-in with me via team view.
Once approved, the final dentures were fully designed, printed, and returned for delivery. They looked just like traditional dentures! I’ll share an example below in the next workflow, but I have to say they fit even better and required less follow-up adjustment than traditional immediate dentures. Even my periodontist, who delivered the upper and lower dentures when he extracted the remaining teeth, was impressed.
Lab Communication Is Key, Even Afterward
Fast-forward about a year, when the patient was ready for a hard reline. This was our first big hiccup, because we’d decided to use a local lab that could turn around the relined dentures within a day, instead of making the patient wait several days while his dentures were shipped to the out-of-state lab that originally made them.
It turns out that, while I thought I had communicated these were printed dentures, that communication did not take place. As a result, the dentures needed to be rebased, which took until the following morning — not the end of the world, but certainly less than ideal. The lab’s reline and handling processes for printed dentures are slightly different than those for traditional dentures but, as is typical in the dental world, that slight difference makes a big difference.
Hypothetically, if this patient’s immediate denture had been too “off” or fit too poorly after healing and we had to make him a new denture, we could have used his existing denture as a reference point for a new one. Let’s look at a case where I did just that for a patient.
Case 2: Replacement of Existing Dentures
The patient in Figs. 15–20 had existing dentures that were 20-plus years old, so her goal was better-fitting ones with less worn teeth. Interestingly, she was an employee of the lab that had created her dentures! As you can see, they were very worn, and the esthetics could be improved to fill out the buccal corridors and tooth position. And while the fit was reasonable, considering their age, there was also plenty of room for improvement.

The patient expressed interest in implants to help retain or support new prostheses, and upon initial clinical exam, it appeared this might be a possibility on the upper arch but very unlikely on the lower. However, a follow-up CBCT (Fig. 21) revealed that the patient’s upper arch was a poor candidate for implants, while the lower arch could allow for implants mesial to the mental foramen on each side.

After reviewing these findings with the patient, she decided to proceed with new conventional dentures, understanding that we could later revisit the idea of converting her new denture to an implant-retained version.
This is where things get really cool and take a big turn from an old-school analog process: The patient’s old dentures, which fit somewhat, provided a starting reference point for her new dentures.
- I took a wash impression of the existing dentures, then scanned the impression extraorally, 360 degrees, with a Trios 5 scanner.
- Then, the patient placed the dentures in her mouth and the bite was scanned.
- Lastly, full-face photographs were taken to show the lab the esthetics of the existing dentures in the patient’s face.
With these records, the lab could create a virtual set-up/wax try-in via team view, as described for the previous patient in this article.
Once the virtual set-up was approved, the lab printed physical copies of the proposed dentures for physical try-in and confirmation of VDO, tooth position, and fit.
In this case, everything was spot-on, except I had missed a small area on the intaglio of one of the old dentures when I did the 360-degree scan of the wash impression. This was easily rectified, however, by simply doing a second wash impression using this try-in and sending it to the lab to be scanned with their desktop scanner. (This has its own advantages because, in situations like this, desktop scanners are less prone than intraoral handheld scanners to introduce errors.) The final dentures (Figs. 22–27) were then fabricated.

The patient and I were both blown away by these new dentures, which required zero adjustment. She might have been even more impressed than I was — remember, she had worked in the lab that made her previous set of dentures, so she found it hard to believe how smoothly everything had gone and how few steps there were, compared with the old-school analog workflow.
From start to finish, only three visits were required:
- The initial records appointment, which included 360-degree scans of the denture after a wash impression, a scan of the bite with the dentures in the patient’s mouth, and photographs of the existing dentures in the patient’s face, so we could plan the esthetics and tooth position of the new dentures.
- The try-in of a printed mock-up.
- Delivery of the final denture.
I had planned to take final photos with dentures in the patient’s mouth at a follow-up adjustment appointment, which you typically have multiple of, but the patient never needed any.
Of course, not every case will go this smoothly; extra visits might be needed. If changes are required after a patient tries the mockup, for example, we could convey them to the lab in one of several ways:
- For simple esthetic changes, we could take photos and discuss the desired changes with the lab.
- If the VDO or occlusion is off, we could adjust the trial mock-up and send it to the lab.
Either way, a second mock-up would be fabricated and delivered to verify everything was in perfect order.
Another advantage of digital dentures that can’t be achieved with traditional fabrication is that the lab can print a backup denture or dentures very economically. Some labs even provide a flash drive for the patient that contains the files needed to print a new prosthesis, should that be necessary. (The lab will also keep the files on their end for a period of time, of course.)
I hope you took some pearls away, and if you venture into the world of digital dentures, I hope your experience is as good as mine. (If you’re a member of Spear and have comments or questions, head over to Spear Talk!
VIRTUAL SEMINARS
Stay Sharp. Stay Current. Stay Ahead.
Join live, focused training designed to help you implement immediately and strengthen your expertise.

By: John Carson
Date: May 20, 2025
Featured Digest articles
Insights and advice from Spear Faculty and industry experts



