Getting the SRA Abutment Right in Implant-Supported Restorations
A common and integral component in fabricating an implant-supported fixed dental prosthesis or fixed hybrid prosthesis is the “SRA abutment” — also known as the transmucosal abutment. This component is designed to provide two key features:
- Elevating the implant platform by bringing the prosthetic connection to an equi-gingival level facilitates all subsequent processes (securing the impression copings, validating the restorations’ passive fit, and seating the restorations).
- Correcting the angulation of the implant. It is common to tilt the implant deliberately at an angle to optimize the antero-posterior (AP) spread.
Often, during surgery, the treating team may choose a specific set of transmucosal or SRA abutments, as these vary in height and angulation (Straight, 17 degrees, and 30 degrees). The team then fabricates the provisional restoration and waits for the implants to be fully osseointegrated prior to fabricating the definitive prosthesis.
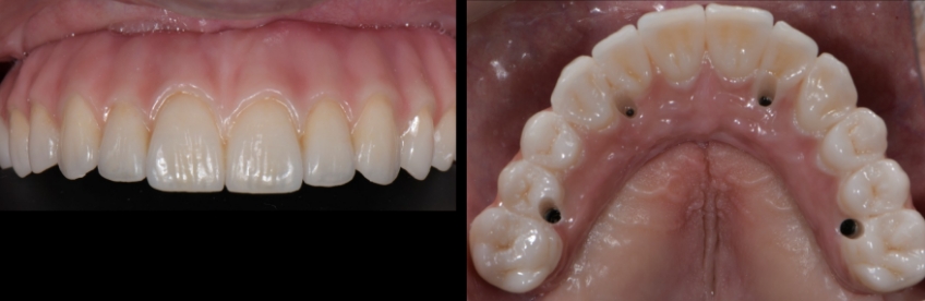
Usually, straight SRA abutments are used with anterior implants when they are parallel. Still, it is not uncommon for the restorative dentist to realize during the prosthetic phase of treatment that the position of the screw access hole could be optimized by changing the angulation of the SRA abutments. Ideally, the treating team aims to have the access holes coming out of the cingulum in anterior implants and the center of the occlusal area in posterior implants.
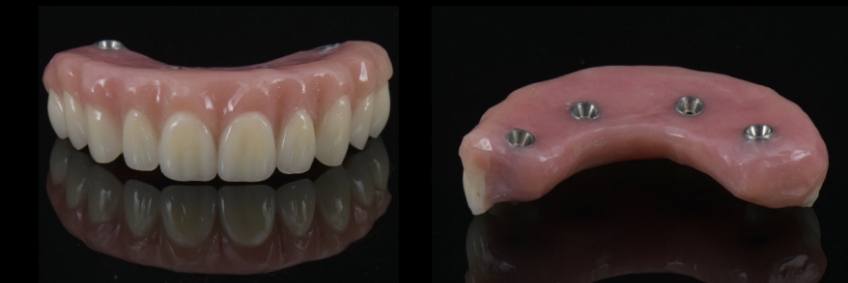
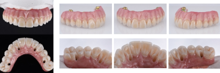
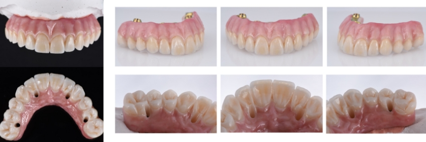
This visual essay shows, through a series of images, the fabrication of a maxillary implant-supported fixed dental prosthesis. The SRA abutments of the anterior implants were changed to optimize the definitive implant-supported fixed dental prosthesis design.








Suppose we decide to alter the angulation of the SRA abutments. In that case, we can position the access hole more anteriorly, thus increasing the palatal thickness and improving the biomechanics and hygiene access.





In this visual essay, we have outlined the steps in the fabrication of a maxillary full arch implant-supported prosthesis solution where the SRA abutment needs to be changed because the orientation of the screw access hole in the provisional restorations seems too palatal from an ideal position, thereby underlining the importance of analyzing these aspects during the provisional phase and correcting the angulation of them to provide a more ideal design and increase the long term predictability of the prosthetics.
SPEAR ONLINE
Team Training to Empower Every Role
Spear Online encourages team alignment with role-specific CE video lessons and other resources that enable office managers, assistants and everyone in your practice to understand how they contribute to better patient care.

By: Ricardo Mitrani
Date: December 20, 2022
Featured Digest articles
Insights and advice from Spear Faculty and industry experts


