Battling the Dental Overtreatment Tsunami in Today’s Market
In healthcare, especially dentistry, our focus should always be on our patients’ best interests. The variations in treatment philosophies among clinicians are notable, especially when it comes to the potential issues of dental overtreatment — where procedures may be unnecessary. Despite our shared commitment to patient welfare, these differences highlight the need to understand how practitioners manage and address the risks associated with dental overtreatment.
How Dental Patient Demands are Changing in the Age of Information
I have consistently maintained that practicing dentistry is akin to walking on a tightrope, demanding a delicate balance to steer clear of either undesirable extreme. On one side lies negligence, the failure to address crucial existing conditions, and on the other is overtreatment, where practitioners propose unnecessary procedures. It is common to see some dentists err on the side of excessive conservatism, neglecting necessary interventions, while others lean towards an overly aggressive stance in recommending treatments.
In a previous article, we described the challenging nature of communicating with patients in this so-called “Age of Information” and how the notion of immediate gratification influences everyone’ s discerning ability. No one could argue that it is a natural human urge to want good things and to want them now. This concept was first described in the early last century’s work of Dr. Sigmund Freud.
As part of his psychoanalytic theory of personality, he described the “Pleasure Principle,” which has to do with a primitive, impulsive, and irrational unconscious that operates solely on the outcome of pleasure.
In the contemporary digital age, the pursuit of immediate gratification has intensified, reaching new heights. It is now more apparent than ever that there exists a distinct inclination to forsake future benefits in favor of acquiring immediate but comparatively less rewarding outcomes.
People don’t know what they don’t know. You probably have heard this before, but Noam Chomsky’s original quote says:
“People not only don’t know what’s happening to them, they don’t even know that they don’t know.”
Our patients typically have clear preferences and are well-versed in what they prefer and dislike. They often appear informed about the treatment options they believe they “need.” However, the reality is that their comprehension of the overall situation is often limited. This lack of a comprehensive understanding frequently prompts both patients and, at times, clinicians to opt for the seemingly straightforward but not necessarily optimal solutions — the easy way rather than the best way.
A Story of Avoiding Dental Overtreatment Through Patient Communication
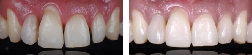
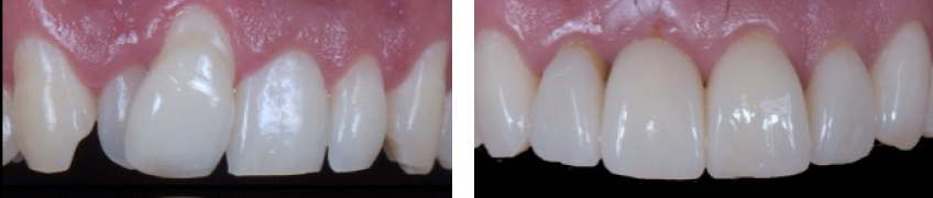
Around 10 years ago, a local “on-the-rise” standup comedian came to see me in search of a second opinion. He was enquiring about a treatment solution that would address his esthetic concerns.

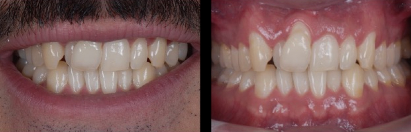
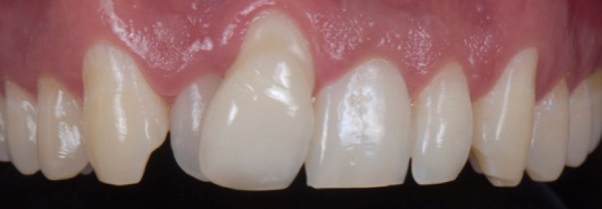
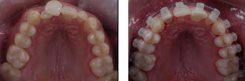
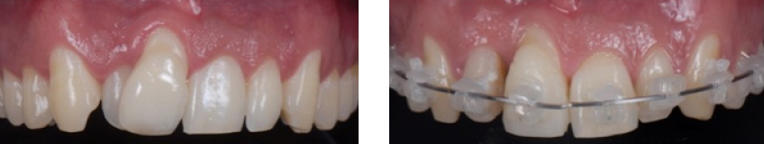
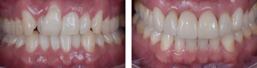
He presented with accentuated crowding of his maxillary anterior teeth and came to see us after having a previous consultation with a colleague who proposed a rather extreme approach consisting of extraction of his four maxillary incisors and placing implants. He claimed he could then re-distribute the spaces prosthetically and to correct the crowding, stating that the overall treatment could be carried out in a relatively short time.
As dentists, the spectrum of clinical solutions we offer to our patients is confined by our dynamic knowledge, biases, assumptions, and moral compasses. This colleague had his set of biases, and I certainly had mine, which appeared to be profoundly different.
My postdoctoral education was heavily influenced by orthodontic mentors like Dr. Vince Kokich and Dr. Ward Smalley during my years as a prosthodontic resident at the University of Washington. Therefore, my treatment philosophy regarding most space appropriation dilemmas translated into an unbending prescription; in most cases, I unwaveringly recommend orthodontic therapy to address these issues.
However, and let me emphatically underline the word — however — such unyielding suggestion needs to be conveyed through an artistically delicate rigor, particularly since it completely challenges today’s most sought-after patient preference. I am referring to the just described so-called immediate gratification, which typically translates into “I want things done now.”
Now remember, our patient is an individual who is in a hurry to become a standup comedy star. If you know a few things about these professionals, they must exude self-confidence. A lot of this comes from how comfortable they are with their image. For Mauricio, his smile was everything. Getting him to even consider the idea of conventional orthodontic therapy was difficult. His immediate response was that it would represent the end of his career.
But this is where we had to step up and play our best patient educator game to calmly explain the “why” behind orthodontic therapy. That way, it becomes compelling enough for him to entertain that treatment possibility.

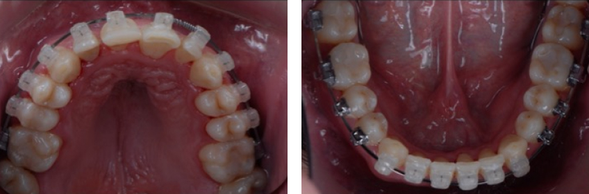
In his case, his teeth had such malposition and crowding that they required orthodontic therapy. I would not consider any other possibility. I ultimately mentioned that if he chose to do anything else, he would have to go somewhere else, because I would not treat him.

But before I conveyed such an ultimatum, I situated the treatment time in a broader scheme. I demonstrated how embarking on orthodontic therapy would provide results that he would enjoy for the rest of his life.
Believe me, when you present the “benefit for the rest of your life” argument, it often works like magic. It prompts patients to view things from a new perspective, allowing the advantages of orthodontic therapy to deeply resonate with many. It’s common for them to start asking questions, and the key is to encourage as many as possible. As they begin to ask questions, they gradually become actively engaged in the alternative you recommend. This is precisely what unfolded with our patient Mauricio.
He started “negotiating time” with questions like;
- What would be the soonest it would take for the orthodontist to align my teeth?
- Are there any metal-free brackets?
- Why are you against the extractions and implant option?
- Aren’t those implants for life?
- Wouldn’t that help me look good sooner?
The moment we started engaging in this Q&A type of discussion, we laid out all the variables in the table. He started to understand why the previous alternative to extract teeth and place implants was simply the wrong thing to do.
Another aspect of our conversation that became crucial was the fact that we presented a more comprehensive approach to treatment. Orthodontic therapy would also correct the lower incisor’s crowding at the same time. This additional aspect greatly reinforced the orthodontic argument and helped Mauricio reach a more educated and rational decision.

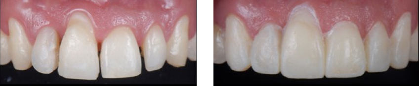
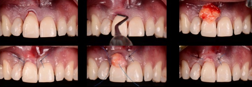
Conventional orthodontic therapy was carried out followed by a mucogingival graft to address the severe recession. Ceramic veneers were ultimately fabricated to enhance the contours of his anterior teeth, allowing us to ultimately provide him with the smile of his dreams.









In case you were wondering, Mauricio did become an extremely popular standup comedian in Mexico.
Why Dentists Must Address and Prevent Overtreatment Risks
Dental overtreatment refers to unnecessary or excessive procedures performed on patients, happening when a dentist suggests treatments lacking clinical justification or benefit to oral health. This can result from financial incentives, defensive medicine, patient requests, or a lack of current knowledge.
To minimize overtreatment, active communication between patients and dental providers is crucial. Patients should ask questions, seek information about diagnosis and the pros and cons of therapies, and understand long-term implications. While dental overtreatment is common, most dentists prioritize patient well-being, delivering appropriate treatments. Open communication with dentists and staying informed about oral health needs help minimize overtreatment risks.
Ricardo Mitrani, D.D.S., M.S.D., is a Spear Resident Faculty member.
FOUNDATIONS MEMBERSHIP
New Dentist?
This Program Is Just for You.
Spear’s Foundations membership is specifically for dentists in their first five years of practice. For less than you charge for one crown, get a full year of training that applies to your daily work, including guidance from trusted faculty and support from a community of peers.

By: Ricardo Mitrani
Date: March 7, 2024
Featured Digest articles
Insights and advice from Spear Faculty and industry experts


