Ankylosis, Part III: Treating Children With Ankylosed Permanent Teeth
As mentioned in Ankylosis Part I and Part II, several factors must be considered when deciding on the appropriate treatment option for an ankylosed tooth. When ankylosis is diagnosed in a child, evaluating these factors becomes even more crucial before deciding on treatment.

These factors include:
- Whether the ankylosed tooth is deciduous or permanent
- The time/age of the onset of ankylosis
- The time/age at diagnosis
- Patient gender
- The location of the affected tooth
- The patient’s smile line
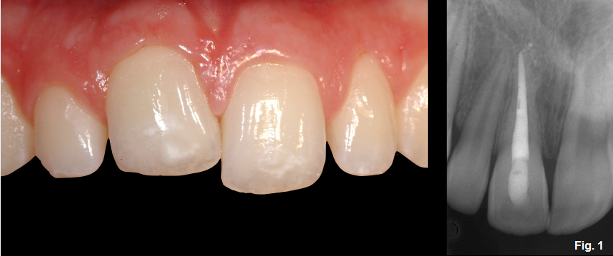
Fig. 1 shows a female patient who presented to the office at the age of 15 with tooth #8 ankylosed. This tooth was avulsed when she was 11 years old and reimplanted after being out of the mouth for approximately one hour. The desire of the patient and her family was to improve the esthetics. As you can see, the incisal edge and gingival margin are more apically positioned, compared with the adjacent teeth.
Patient details
- The tooth most likely ankylosed at age 11 to 12
- The patient is now 15
- The patient is female
Before figuring out what we should do, there are still a few questions that we need to address:
- How fast is the resorption occurring? As can be seen from the radiographs the patient brought (Fig. 2), the rate of resorption seems to be progressing very slowly.

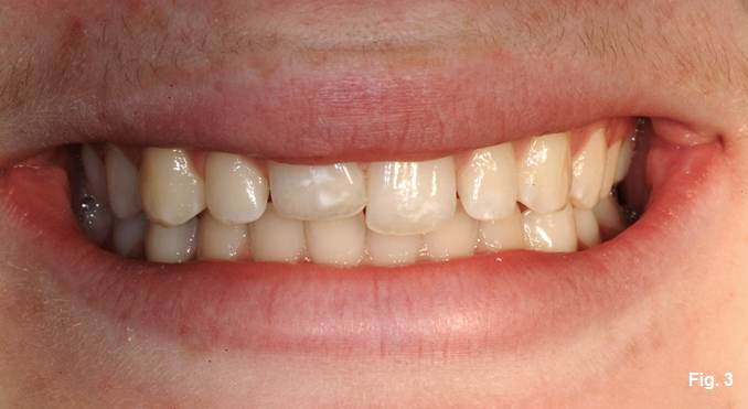
- Where is the smile line? The patient has a very low smile line and does not show the FGM (Fig. 3).
- Where is she in relationship to her growth? Females generally are done growing at the age of 17. Given that the patient is 15 now, it’s anticipated that she’s near the end of her growth phase.

Treatment options and concerns
The treatment options are:
- Extract the tooth and prepare for implant placement
- Subluxate the tooth and orthodontically reposition
- Use a segmental osteotomy to orthodontically reposition to the desired area
- Leave the tooth in its current position and restore the esthetics
If the tooth is extracted, the patient will need hard-tissue augmentation and will have to wait until she is 17 years old to have an implant placed, so we would need to provide an interim tooth replacement option throughout this time period. The downside of this option, as far as the patient and her family are concerned, is that this is a very formidable time in her life. Managing appointments, schedules, and interim tooth replacement would be difficult.
Subluxating the tooth and orthodontically repositioning it into the desired position will have limited success, depending on how much of the tooth is ankylosed. This option typically works better on teeth that have only partial or spot ankylosis.
Using a segmental osteotomy to reposition the desired tooth can be successful depending on the surgical approach, but could be very problematic if necrosis of the segment were to occur.
What about leaving the ankylosed tooth for now and improving the esthetics by adding to the incisal edge? Will this create more problems? What we already know:
- The replacement resorption is occurring slowly, so it could possibly be maintained for another 5–10 years
- The 15-year-old patient is near the end of her growth phase, so the defect created by the ankylosis shouldn’t appreciably increase
- The patient has a low smile, so you don’t see the gingival margin discrepancy
Although the tooth could be extracted now in preparation for a single-tooth implant, the decision was made to leave the tooth and restore the incisal edge length with composite (Fig. 4).

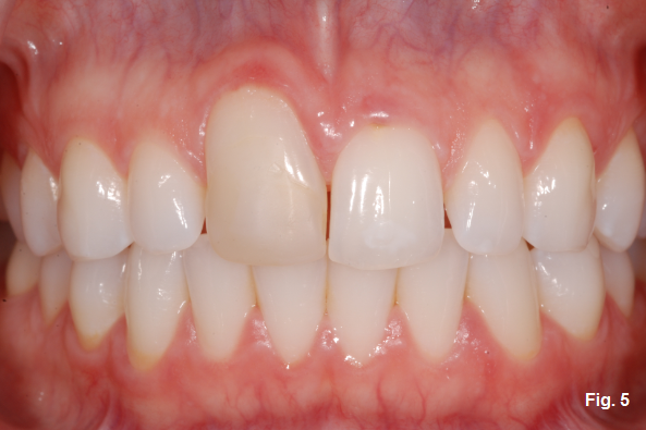
The patient and her family knew that the composite was an interim restoration and that the tooth would require extraction and implant placement in the future. The question of when depends on the rate at which the resorption progresses. The tooth lasted another 10 years in this patient before it required extraction (Fig. 5).

SPEAR campus
Hands-On Learning in Spear Workshops
With enhanced safety and sterilization measures in place, the Spear Campus is now reopened for hands-on clinical CE workshops. As you consider a trip to Scottsdale, please visit our campus page for more details, including information on instructors, CE curricula and dates that will work for your schedule.

By: Greggory Kinzer
Date: August 17, 2017
Featured Digest articles
Insights and advice from Spear Faculty and industry experts


