Understanding the Bolton Ratio
I have had the privilege of being involved with several Facially-Generated Treatment Planning (FGTP) courses at Spear as the orthodontist consultant. While my role at these courses is to opine with regard to how orthodontic treatment may or may not be useful in specific cases, I have observed that there are recurring general questions that participants bring concerning orthodontics. I will be addressing these concerns in a series of articles.
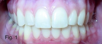
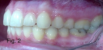
To begin this series, I’ll be discussing the Bolton ratio. This is a useful measurement that relates the relative M-D tooth size of upper and lower teeth. The concept behind the Bolton ratio is simple and intuitive; collectively the lower teeth need to be smaller mesio-distally than the upper teeth; otherwise it would be impossible for all of the lower teeth to fit inside the upper arch, while simultaneously having a Class I molar relationship, proper overbite and overjet, and closed interproximal contacts without crowding (Fig. 1 and 2). The Bolton ratio quantifies these relative proportions.


Bolton ratios have been determined for both the entire arch, and for the anterior teeth only. (Fig. 3 and 4). Both because there is generally more variability in anterior tooth size than posterior tooth size (within an individual), and because patients care more about crowding and spacing in the anterior. The Bolton ratio for anterior teeth is the one that is more often used.


Calculating the ratio is simple; measure the M-D widths of all the anterior teeth (Fig. 5), and calculate the percentage of lower relative to upper (Fig. 6). If the ratio is 77.2 +/- 1.65, then it is possible to fulfill all the requirements mentioned earlier, (proper overbite, overjet, etc.,) that make a functional occlusion possible, along with ideal alignment and no spaces.


A common clinical presentation which demonstrates a deviation from a normal Bolton ratio is peg or undersized laterals. In these cases the proportion of lower anterior M-D tooth mass to upper is too high, and the resultant Bolton ratio would be greater than the desired 77.2 +/- 1.65. If the remaining dentition is well aligned, this discrepancy is apparent, and it is not necessary to calculate the Bolton ratio to know that addition of M-D tooth mass in the upper anterior is what is needed to satisfy all the other requirements of a desirable relationship between upper and lower teeth.
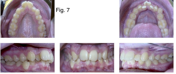
However, observe the upper laterals (Fig. 7). They do appear small, but are they too small? It would be an unpleasant surprise for all parties (referring dentist, orthodontist and patient) to discover that unanticipated additional treatment (e.g.; upper lateral veneers, lower anterior IPR) would be necessary to achieve the best result. In a case like this, calculating the Bolton ratio prior to treatment does provide valuable information.

I consider calculation of the Bolton ratio a necessary part of any orthodontic treatment plan but it is particularly critical whenever any anterior restorative treatment is planned. Adding it to your tool kit will not only help you have useful discussions with your orthodontist, but will also help you with your restorative treatment planning.
If you have a particular topic you would like to have addressed, let me know; you can send your suggestions for topics to me directly: dewoodorthodontics@gmail.com.
SPEAR campus
Hands-On Learning in Spear Workshops
With enhanced safety and sterilization measures in place, the Spear Campus is now reopened for hands-on clinical CE workshops. As you consider a trip to Scottsdale, please visit our campus page for more details, including information on instructors, CE curricula and dates that will work for your schedule.

By: Cheryl DeWood
Date: April 8, 2014
Featured Digest articles
Insights and advice from Spear Faculty and industry experts



