Does Facial Growth Continue as We Age?

It is generally accepted that facial growth is complete and implants can be placed in females at approximately 17 years of age and in males at approximately 21-22 years of age. However, due to patient variations, sequential cephalometric radiographs should be compared for verification prior to implant placement.
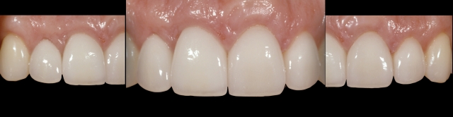
The following female patient lost her right central due to trauma and was treated at the age of 24 with a single tooth implant in the #8 site and veneers on teeth #’s 7, 9, 10 (See Fig.1). The definitive result shows nice symmetry in both the incisal edge positions and gingival margins of the central incisors (See Fig.2). At the 6-year follow up, a discrepancy can be seen in the incisal edge positions of the centrals (See Fig 3) The incisal edge discrepancy is significantly greater at 12 years (See Fig. 4). To what can we attribute this change? Is it due to eruption of the anterior teeth due to unstable occlusal contacts? Or is it due to eruption of the teeth due to continued facial growth?

Interestingly enough, a study was published in 2004 that evaluated the effects of the tooth eruption process on the position of teeth adjacent to implant-borne restorations in adult patients compared to patients in their late adolescence. The paper looked at male and female patients in two different groups of 14 patients:
– A young adult group (ages 15-21)
– A mature adult group (ages 40-55)

These patients presented missing anterior teeth and required insertion of a total of 40 implants. The implants were clinically and radiographically re-evaluated 1 year or more after the surgical procedure (mean interval=4.2 years). Assessment of the eruption of the adjacent teeth was performed using the implant as a stable point of reference. The results were quite remarkable. In the “young adult” group, all patients showed infra-occlusion of the implant-supported crowns. The vertical difference measured on radiographs varied between 0.1 – 1.65 mm. In the “mature adult” group, all patients showed infra-occlusion that ranged from 0.12 – 1.86 mm. From this paper it can be concluded that mature adults can exhibit major vertical steps after anterior implant restorations to the same extent as adolescents or “young adult” individuals with residual growth potential.

So what is the take home message? Does this mean that we should be waiting even longer prior to placing implants? No. It means that when an implant is placed, future esthetic and functional problems can arise due to continued eruption of the adjacent teeth. These changes can occur regardless of age and hence we should be informing our patients of the possibility of these risks.
References
1. Bernard JP, et al.: Long-term vertical changes of the anterior maxillary teeth adjacent to implants in young and mature adults: A retrospective study. J Clin Peiodontol 2004 Nov;31(11):1024-8
Gregg Kinzer, D.D.S., M.S., Spear Faculty and Contributing Author
SPEAR campus
Hands-On Learning in Spear Workshops
With enhanced safety and sterilization measures in place, the Spear Campus is now reopened for hands-on clinical CE workshops. As you consider a trip to Scottsdale, please visit our campus page for more details, including information on instructors, CE curricula and dates that will work for your schedule.

By: Greggory Kinzer
Date: July 16, 2015
Featured Digest articles
Insights and advice from Spear Faculty and industry experts


