A Brief History of Dental Floss
From horse hair in prehistoric times to modern floss picks and interdental brushes, the evolution of dental floss shows how far oral hygiene has come. And hints at where it might go next.
The Pursuit of Great Dentistry
The Pursuit of Great Dentistry
From horse hair in prehistoric times to modern floss picks and interdental brushes, the evolution of dental floss shows how far oral hygiene has come. And hints at where it might go next.
A Thought Experiment for Dentists Suppose you could review a full set of clinical records and photographs from 10 years ago for every one of your patients. And suppose you put those next to a full set of records and photos from today — a full set of side-by-side “then vs. now” visual evidence for…
Peak performance begins in the mind, and a few focused moments can turn an ordinary day into your best one yet.
Options for Immediate Temporization In a recent article, I went over the various options clinicians have when treating patients who need an immediate implant placed. As I mentioned in that article, placing a temporary the day of implant placement has significant advantages in preserving the gingival form. The temporary may be attached to the implant…
Dogs Take a Bite Out of Dental Office Anxiety With recent headlines alluding to dental phobias being passed on to children by their parents, a new concept known as dog therapy aims to ease the nerves of anxious and fearful patients. Dentophobia, otherwise known as the fear of dentists, isn’t a new concept at all — in…
Great leadership means trusting capable people to do their jobs, so you can focus on the work only you can do.
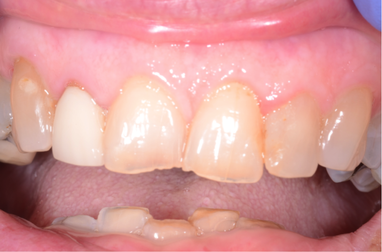
Shade Selection in the Anterior
Mouthwash has been around for centuries. This article dives into the evolution of mouthwash and how its solutions have catered to treating oral issues.
Knowing the steps involved in the cross-mounting of casts helps the lab verify information and ensures a smooth cementation process.
Eight Steps to Facially Generated Treatment Planning [Part I] Planning treatment for wear patients can be difficult because of all the different possibilities that can occur as teeth wear. In some patients, the wear is isolated to only a few teeth, which means the vertical dimension can’t change, so if the worn teeth are in…
End of content
End of content
Deliver Exceptional Patient Care and Take the Next Steps
7201 E. Princess Blvd, Scottsdale, AZ 85255
Phone: 866.781.0072 | Fax: 480.588.9072
User Agreement & Policies | Accessibility | Sitemap
© Copyright Spear Education, LLC, All rights reserved
Spear Education
Nationally Approved PACE Program
Provider for FAGD/MAGD credit.
Approval does not imply acceptance by
any regulatory authority or AGD endorsement.
4/1/2025 to 03/31/2028
Provider ID# 219029
7201 E. Princess Blvd, Scottsdale, AZ 85255
Phone: 866.781.0072 | Fax: 480.588.9072
User Agreement & Policies | Accessibility | Sitemap
© Copyright Spear Education, LLC, All rights reserved
Spear Education
Nationally Approved PACE Program
Provider for FAGD/MAGD credit.
Approval does not imply acceptance by
any regulatory authority or AGD endorsement.
4/1/2025 to 03/31/2028
Provider ID# 219029
7201 E. Princess Blvd, Scottsdale, AZ 85255
Phone: 866.781.0072 | Fax: 480.588.9072
User Agreement & Policies | Accessibility | Sitemap
© Copyright Spear Education, LLC, All rights reserved
Spear Education
Nationally Approved PACE Program
Provider for FAGD/MAGD credit.
Approval does not imply acceptance by
any regulatory authority or AGD endorsement.
4/1/2025 to 03/31/2028
Provider ID# 219029