Eight Steps to Facially Generated Treatment Planning [Part I]
Planning treatment for wear patients can be difficult because of all the different possibilities that can occur as teeth wear. In some patients, the wear is isolated to only a few teeth, which means the vertical dimension can’t change, so if the worn teeth are in occlusion, they must have erupted.
Other patients have wear on all their teeth, which opens up the possibility of a loss of vertical dimension, but doesn’t mean that there was any change in vertical since the teeth might have erupted at the same rate they wore.
This creates the dilemma of not knowing how to proceed, not to mention the concern about what caused the wear and what the etiology means to the prognosis if restorative treatment is performed.
The typical starting point for these patients is to focus on the occlusion and what caused the wear. This makes sense and is critical to the future prognosis. But once the problems have been identified and a potential etiology determined, it is now critical that the planning process have a logical progression which incorporates the correction of tooth position and how the occlusal relationships need to be created to incorporate the etiology in the plan.
The name I like to give this process is Facially Generated Treatment Planning. It’s the title of a lecture I did back in 1986 to the American Academy of Esthetic Dentistry. The concept is very simple: You must first correct tooth position of the maxillary teeth before you can develop the occlusion. And you must develop the occlusion on mounted models to understand how the mandibular tooth position needs to be corrected before you can determine how to replace or restore the teeth. Finally, once you understand the desired outcome, you can determine how to perform any perio, endo, or oral surgery that is needed.
![Eight Steps to Facially Generated Treatment Planning [Part I] main 320x235 1](https://www.speareducation.com/wp-content/uploads/2012/12/main-320x235-1.png)
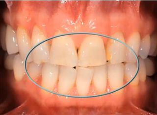
The patient in this picture is unhappy with how her teeth look. She came in with a high school photo that showed her teeth have shortened over time and she wants to get them back to their more youthful appearance. The wear is confined to the anterior teeth, so we know there hasn’t been any change in vertical dimension. The problem is that when she bites, the incisors are end to end; there is no overjet. The question becomes: How do we lengthen her teeth to give her the appearance she is looking for?
What follows are the first four of eight steps I would go through to determine the answer.
Step 1: Central incisal edge.
![Eight Steps to Facially Generated Treatment Planning [Part I] step 1 150x112 1](https://www.speareducation.com/wp-content/uploads/2012/12/step-1-150x112-1.png)
The starting point for determining tooth position is always the maxillary central incisors, just as it is in a denture. Until we know how to correct the central position, we don’t know where the remaining maxillary teeth should go. After evaluating her incisal edge position at rest and in a full smile, as well as in relationship to the posterior occlusal plane, she would need a 1–1.5 mm added on to her tooth length incisally.
Step 2: Maxillary incisor inclination.
![Eight Steps to Facially Generated Treatment Planning [Part I] step 2 150x112 1](https://www.speareducation.com/wp-content/uploads/2012/12/step-2-150x112-1.png)
The next point of reference for the centrals is their labial lingual inclination. Remember she has no overjet and we want to lengthen her teeth 1–1.5 mm; the question is how to accomplish it. The options are to create overjet or open her bite, but she has no wear on her posterior teeth and she needs minimal posterior restorations. This means the ideal solution is to create overjet. This can occur from proclining or moving facially the maxillary anteriors, or retracting or retroclining the mandibular anteriors. Step 2 lets us determine what changes need to be made to the maxillary anteriors. In her case, a small amount of proclination may be beneficial, but it certainly won’t create the needed overjet, which means a change will have to be made on the lower.
Step 3: Maxillary occlusal plane.
![Eight Steps to Facially Generated Treatment Planning [Part I] step3 150x112 1](https://www.speareducation.com/wp-content/uploads/2012/12/step3-150x112-1.png)
Following the determination of the central incisor position, it is possible to evaluate the position of the remaining maxillary teeth. We do this relative to our desired central incisor position. In this image, you can see initially the centrals are apical to the occlusal plane of the posteriors. But if we lengthen the centrals 1–1.5 mm, the existing posterior position looks quite good.
Step 4: Determine ideal gingival levels.
![Eight Steps to Facially Generated Treatment Planning [Part I] step 4 150x112 1](https://www.speareducation.com/wp-content/uploads/2012/12/step-4-150x112-1.png)
After determining the desired tooth position concerning the incisal edges and cusp tips, it is possible to determine the correct gingival levels. Remember that often teeth erupt as they wear; this is where we usually determine if they did or not.
By now evaluating overall tooth length from our desired incisal edge position, we can determine if the gingiva needs to be moved or not, based on pleasing width-to-length ratios. If it doesn’t, it’s unlikely any eruption took place. If the tissue needs to be moved apically, some eruption probably did occur. On this particular patient, the two centrals should ideally have the gingiva moved apically, indicating some eruption probably occurred as the teeth wore.
Read Part II for Steps 5–8, including the importance of mandibular incisor incisal edges.
FOUNDATIONS MEMBERSHIP
New Dentist?
This Program Is Just for You!
Spear’s Foundations membership is specifically for dentists in their first 0–5 years of practice. For less than you charge for one crown, get a full year of training that applies to your daily work, including guidance from trusted faculty and support from a community of peers — all for only $599 a year.
![Eight Steps to Facially Generated Treatment Planning [Part I] Spear Education Icon](http://numerous-monsoon.flywheelsites.com/wp-content/uploads/2025/07/Spear-Education-Icon.png)
By: Frank Spear
Date: December 4, 2012
Featured Digest articles
Insights and advice from Spear Faculty and industry experts


