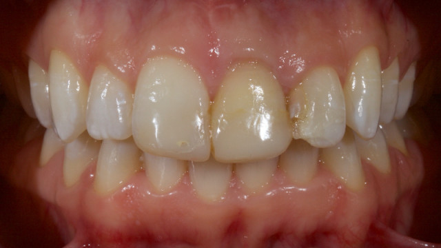
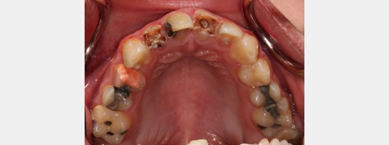
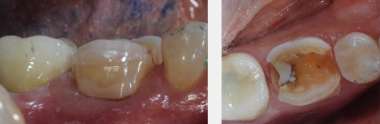
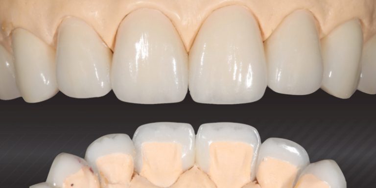
Technique for ‘Cementing’ and Retaining Conservative Ceramic Onlay Provisionals
Learn more about how indirect partial coverage ceramic restorations are becoming a mainstay of conservative restorative dental procedures.
The Pursuit of Great Dentistry
The Pursuit of Great Dentistry
Learn more about how indirect partial coverage ceramic restorations are becoming a mainstay of conservative restorative dental procedures.
Dr. Benting walks through the Locator Implant Attachment System essentials, locator abutments, and techniques for more complex implant cases.
Dr. Andy Janiga discusses the history of silver-based products in caries management and the use of silver diamine fluoride (SDF) to prevent caries and halt active lesions.
Explore a more modern, minimally invasive approach to the discolored non-vital teeth using the “Modified Walking Bleach” approach.
Patients who resist dentistry present dental teams with an opportunity to embrace those who need the help and comfort to know there is a solution to their oral care concerns.
Dr. Jeff Bonk provides a dental re-care appointment protocol for evaluating and managing occlusal forces on dental implants.
Caries detection dyes help dentists determine when to stop tooth preparations in conservative treatment.
Learn how to increase the predictability of desired interdental contacts and improve collaboration between dental practice and lab technician.
CBCT is a valuable tool for helping dentists find solutions to correct and prevent problematic sleep, esthetics, and occlusal issues and ensure optimal treatment.
Tempted to respond to a negative online review by immediately deleting it? Here’s why you should keep them up, what they’re communicating, and how to respond.
End of content
End of content
Deliver Exceptional Patient Care and Take the Next Steps
7201 E. Princess Blvd, Scottsdale, AZ 85255
Phone: 866.781.0072 | Fax: 480.588.9072
User Agreement & Policies | Accessibility | Sitemap
© Copyright Spear Education, LLC, All rights reserved
Spear Education
Nationally Approved PACE Program
Provider for FAGD/MAGD credit.
Approval does not imply acceptance by
any regulatory authority or AGD endorsement.
4/1/2025 to 03/31/2028
Provider ID# 219029
7201 E. Princess Blvd, Scottsdale, AZ 85255
Phone: 866.781.0072 | Fax: 480.588.9072
User Agreement & Policies | Accessibility | Sitemap
© Copyright Spear Education, LLC, All rights reserved
Spear Education
Nationally Approved PACE Program
Provider for FAGD/MAGD credit.
Approval does not imply acceptance by
any regulatory authority or AGD endorsement.
4/1/2025 to 03/31/2028
Provider ID# 219029
7201 E. Princess Blvd, Scottsdale, AZ 85255
Phone: 866.781.0072 | Fax: 480.588.9072
User Agreement & Policies | Accessibility | Sitemap
© Copyright Spear Education, LLC, All rights reserved
Spear Education
Nationally Approved PACE Program
Provider for FAGD/MAGD credit.
Approval does not imply acceptance by
any regulatory authority or AGD endorsement.
4/1/2025 to 03/31/2028
Provider ID# 219029