Dental Patient Retention Strategies That Support Practice Growth
Dental patient retention strategies that are data-driven and unbiased stand the best chance of driving practice growth.
The Pursuit of Great Dentistry
The Pursuit of Great Dentistry
Dental patient retention strategies that are data-driven and unbiased stand the best chance of driving practice growth.
Hiring for your dental practice should not be a reactive process. You can adjust your strategies to achieve long-term success for your dental team.
Orofacial myofunctional therapy may mitigate the intersection of prevention strategies and referrals, providing your patients a more complete treatment plan.
Crown fractures and luxation of the permanent dentition are the most common injuries, so a busy dental office must know how to manage uncomplicated crown fractures of permanent dentition efficiently and effectively.
Team building ideas for dental offices create a more cohesive and aligned staff. Celebrations, conflict resolution and goal setting are key components to a successful team.
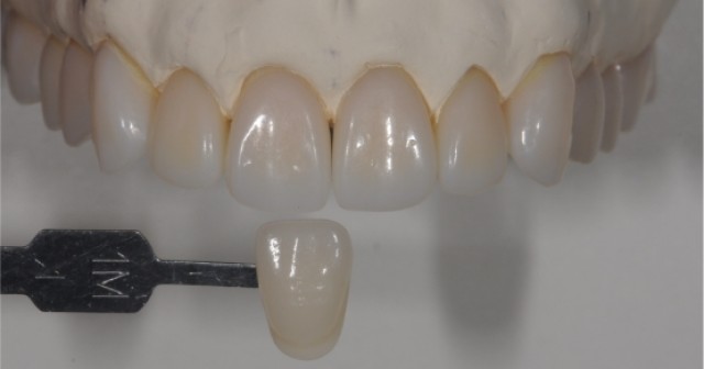
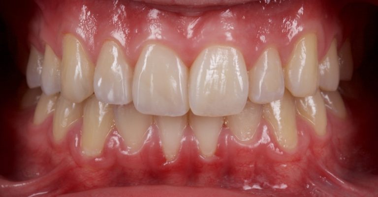
Using this tooth shade matching technique makes selecting a reference tooth shade easy, efficient, and predictable for restorative dentists chairside.
One key aspect of esthetic dentistry is using geometric proportions, like the golden percentage, to create predictable and pleasing restorative outcomes.
Conducting myofunctional therapy training for dental staff using the screening tool ‘BROOM’ provides details about your patient’s health. Before your subsequent referral, use this list.
Addressing missing lateral incisors often requires interdisciplinary solutions like canine substitution, resin-bonded single retainer bridge, cantilever bridge, or a single-tooth implant.
Dr. Doug Benting explains the goals and main features of lingualized occlusion, an occlusal design option for edentulous patients seeking complete dentures.
End of content
End of content
Deliver Exceptional Patient Care and Take the Next Steps
7201 E. Princess Blvd, Scottsdale, AZ 85255
Phone: 866.781.0072 | Fax: 480.588.9072
User Agreement & Policies | Accessibility | Sitemap
© Copyright Spear Education, LLC, All rights reserved
Spear Education
Nationally Approved PACE Program
Provider for FAGD/MAGD credit.
Approval does not imply acceptance by
any regulatory authority or AGD endorsement.
4/1/2025 to 03/31/2028
Provider ID# 219029
7201 E. Princess Blvd, Scottsdale, AZ 85255
Phone: 866.781.0072 | Fax: 480.588.9072
User Agreement & Policies | Accessibility | Sitemap
© Copyright Spear Education, LLC, All rights reserved
Spear Education
Nationally Approved PACE Program
Provider for FAGD/MAGD credit.
Approval does not imply acceptance by
any regulatory authority or AGD endorsement.
4/1/2025 to 03/31/2028
Provider ID# 219029
7201 E. Princess Blvd, Scottsdale, AZ 85255
Phone: 866.781.0072 | Fax: 480.588.9072
User Agreement & Policies | Accessibility | Sitemap
© Copyright Spear Education, LLC, All rights reserved
Spear Education
Nationally Approved PACE Program
Provider for FAGD/MAGD credit.
Approval does not imply acceptance by
any regulatory authority or AGD endorsement.
4/1/2025 to 03/31/2028
Provider ID# 219029