A Daily Dental Office Manager Checklist for Patient-Centric Experiences
Streamline your dental office management with our daily checklist, ensuring smooth operations, optimal organization, and enhanced patient care.
The Pursuit of Great Dentistry
The Pursuit of Great Dentistry
Streamline your dental office management with our daily checklist, ensuring smooth operations, optimal organization, and enhanced patient care.
Spear Education Welcomes Mike Skramstad, D.D.S., as New Resident Faculty Member Dr. Skramstad will serve as instructor for Spear Education’s new workshop, Integrating Digital Technology Into Treatment Planning and Case Acceptance Spear Education is excited to announce the latest addition to our Resident Faculty, Dr. Mike Skramstad. With a wealth of experience in digital dentistry,…
Dr. ArNelle Wright: Spear Online Member, Social Media Influencer, and Mentor “The Daily Dentist” and Spear Online member Dr. ArNelle Wright talks mentorship, social media, and her Spear Education experience Spear Online member and the creative mind behind The Daily Dentist on Instagram, Dr. ArNelle Wright shares how her journey in dentistry has been shaped…
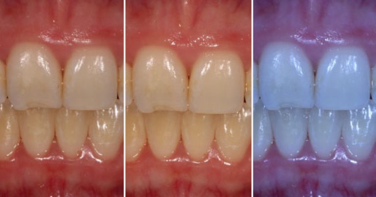
Dr. Andy Janiga shares the importance of white balance in dental photography and best practices in camera settings.
Using your dental waiting room TV to distract and educate patients during treatment can improve the patient experience and reduce anxiety and pain.
Spear Education Revolutionizes Dental Workshops With New Treatment Planning Series Spear’s new workshop series includes Treatment Planning With Confidence and Integrating Digital Technology Into Treatment Planning Spear Education, a trusted leader in dental education, is excited to announce a transformative change in its renowned workshop lineup. The workshop Facially Generated Treatment Planning will evolve into…
Spear Faculty Showcase Interdisciplinary Collaboration at Two European Conferences Spear Resident Faculty members Drs. Greggory Kinzer and Jim Janakievski, along with world-renowned orthodontist Dr. Vincent Kokich Jr., recently shared their expertise with working together as an interdisciplinary team to treat patients during both the European Association for Osseointegration Annual Congress in Berlin and the Congress…
Dr. Melissa Seibert discusses the kinds of dental cements used in restorative procedures, their differing properties, and which types to use with which cases.
Dr. Jefferey Bonk outlines the importance of enamel rods in ensuring optimal adhesion and ideal longevity of restorations.
Spear Education Launches New Spear Talk With Mobile App, Enhancing Community Engagement Spear Education, a pioneer in dental education, is excited to announce the launch of its revamped Spear Talk member community message board along with the introduction of a new mobile app. These updates are designed to provide an enhanced, interactive experience for Spear…
End of content
End of content
Deliver Exceptional Patient Care and Take the Next Steps
7201 E. Princess Blvd, Scottsdale, AZ 85255
Phone: 866.781.0072 | Fax: 480.588.9072
User Agreement & Policies | Accessibility | Sitemap
© Copyright Spear Education, LLC, All rights reserved
Spear Education
Nationally Approved PACE Program
Provider for FAGD/MAGD credit.
Approval does not imply acceptance by
any regulatory authority or AGD endorsement.
4/1/2025 to 03/31/2028
Provider ID# 219029
7201 E. Princess Blvd, Scottsdale, AZ 85255
Phone: 866.781.0072 | Fax: 480.588.9072
User Agreement & Policies | Accessibility | Sitemap
© Copyright Spear Education, LLC, All rights reserved
Spear Education
Nationally Approved PACE Program
Provider for FAGD/MAGD credit.
Approval does not imply acceptance by
any regulatory authority or AGD endorsement.
4/1/2025 to 03/31/2028
Provider ID# 219029
7201 E. Princess Blvd, Scottsdale, AZ 85255
Phone: 866.781.0072 | Fax: 480.588.9072
User Agreement & Policies | Accessibility | Sitemap
© Copyright Spear Education, LLC, All rights reserved
Spear Education
Nationally Approved PACE Program
Provider for FAGD/MAGD credit.
Approval does not imply acceptance by
any regulatory authority or AGD endorsement.
4/1/2025 to 03/31/2028
Provider ID# 219029