The Diagnosis-First Approach to Occlusal Splints
Occlusal splints are a crucial aspect of dental care. Delve into the diverse benefits for patients with airway-disordered breathing
The Pursuit of Great Dentistry
The Pursuit of Great Dentistry
Occlusal splints are a crucial aspect of dental care. Delve into the diverse benefits for patients with airway-disordered breathing
Conflict management in a dental practice is crucial for staff morale and productivity. Here’s what you need to know about handling interpersonal conflicts effectively.
Spear’s Amy Morgan Talks Case Acceptance With AADOM’s QUICKcast Spear’s Vice President of Practice Growth Strategies, Amy Morgan, provided insights on unifying the dental team to increase case acceptance on AADOM’s QUICKcast with John Stamper. Recently, Spear’s Vice President of Practice Growth Strategies, Amy Morgan, joined John Stamper on AADOM’s QUICKcast to provide a guided…
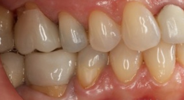
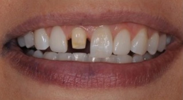
Restoring a single central incisor demands meticulous planning from managing patient expectations to selecting the right materials and maintaining constant communication with the lab. A structured checklist and strategic collaboration are what make these notoriously challenging restorations predictable, beautiful, and worth the effort.
Dental mentoring and study clubs foster personal and professional development. Dr. Steinberg offers insights into finding mentors and engaging in study clubs in this post.
Dental knowledge can be a curse when trying to communicate with patients effectively. Dr. Mitrani offers some tips for overcoming this challenge.
Dr. Jason Smithson explores the rubber dam in dentistry, its origins, benefits, and practical tips for placement. Learn why it’s crucial for clinical success.
There are five illegal billing practices you may unintentionally commit when providing estimates, unbundling services, or navigating medical coding. Stay informed!
Dental zirconia is popular in dentistry but often misunderstood due to its types and uses. Expert guidance ensures optimal results.
New OSHA and HIPAA Compliance Courses Added to Spear Online Eight courses are presented by Mary Govoni from The Compliance Divas Spear Education has added eight new OSHA and HIPAA compliance courses to Spear Online intended for both dentists and their teams. These highly requested and critical courses cover topics such as safety standards specific…
End of content
End of content
Deliver Exceptional Patient Care and Take the Next Steps
7201 E. Princess Blvd, Scottsdale, AZ 85255
Phone: 866.781.0072 | Fax: 480.588.9072
User Agreement & Policies | Accessibility | Sitemap
© Copyright Spear Education, LLC, All rights reserved
Spear Education
Nationally Approved PACE Program
Provider for FAGD/MAGD credit.
Approval does not imply acceptance by
any regulatory authority or AGD endorsement.
4/1/2025 to 03/31/2028
Provider ID# 219029
7201 E. Princess Blvd, Scottsdale, AZ 85255
Phone: 866.781.0072 | Fax: 480.588.9072
User Agreement & Policies | Accessibility | Sitemap
© Copyright Spear Education, LLC, All rights reserved
Spear Education
Nationally Approved PACE Program
Provider for FAGD/MAGD credit.
Approval does not imply acceptance by
any regulatory authority or AGD endorsement.
4/1/2025 to 03/31/2028
Provider ID# 219029
7201 E. Princess Blvd, Scottsdale, AZ 85255
Phone: 866.781.0072 | Fax: 480.588.9072
User Agreement & Policies | Accessibility | Sitemap
© Copyright Spear Education, LLC, All rights reserved
Spear Education
Nationally Approved PACE Program
Provider for FAGD/MAGD credit.
Approval does not imply acceptance by
any regulatory authority or AGD endorsement.
4/1/2025 to 03/31/2028
Provider ID# 219029