Modern Periodontal Regeneration: Advances in Tissue Engineering for Improved Clinical Outcomes
Over the past several years, dentistry has experienced incredible technological growth. Specifically, periodontology has seen much innovation with tissue engineering-based regeneration to save the natural dentition.
Today, periodontists can predictably change the prognoses of teeth by controlling oral disease and reconstructing lost hard and soft tissues with fascinating and powerful technologies. Dentists need to remember the benefits of saving teeth for a lifetime with periodontal therapies.

The primary goal of periodontal treatment is the maintenance of health, function and esthetics of the natural dentition and supporting structures. When necessary, this includes tooth and tissue replacement with regeneration and dental implants (Figs. 3A, 3B).
Periodontists created, researched extensively and have been practicing tissue engineering (TE) for decades, beginning with guided tissue regeneration — a form of passive tissue engineering that uses barrier membranes to channel new bone and tissue growth to the sites that need it.1,2 Today the dental team has the ability to introduce biologic therapies, such as growth factors and morphogens, to actively influence wound repair and improve regenerative outcomes.
Tissue engineering (TE) continues to evolve but there are limitations on how much wound healing can be influenced. Introducing the correct growth factor — at the right moment during the cascade, in an effective concentration and for the proper duration of time — is the ultimate goal. Just as we strive to understand the host/systemic role in the pathogenesis of periodontal diseases, we must also take into consideration the host influence, both positive and negative, on wound healing following periodontal regenerative procedures.
Procedures that avoid the need for autogenous tissue have motivated periodontal and oral surgeons to search for predictable, efficient strategies that use TE concepts, growth factors and biomimetic therapies. Tissue engineering is used in many areas of medicine and some of these have crossed over to dentistry to our research center.
Periodontal regeneration includes the recreating of periodontal ligament, cementum and alveolar bone along the previously diseased and denuded root surface. The evidence supporting guided tissue regeneration is vast and growing. For decades dental surgeons have been using, with high levels of predictability, resorbable and non-resorbable barrier membranes in passive tissue engineering around teeth and dental implant dehiscence and fenestrations.3, 4 By employing active tissue engineering, new levels of predictability and success can be reached to resolve hard and soft tissue, periodontal and other orofacial defects.









Biologics and Growth Factors
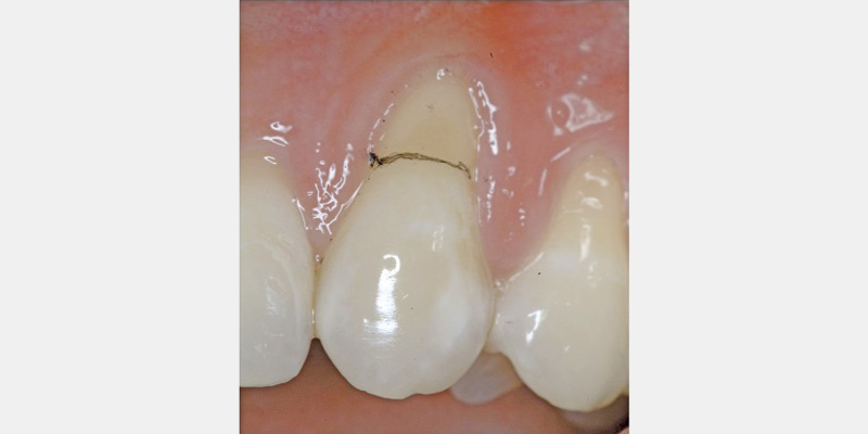
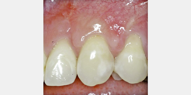
Periodontal defects include the intrabony and furcation-type defects, as well as with gingival recession or loss of attachment. The periodontal literature validates the regenerative potential of biologically active bone replacement grafts (Figs. 1–5).5, 6, 7 Periodontal regeneration with histological evidence of new cementum, periodontal ligament and alveolar bone has been shown in the human model with a recombinant growth factor and a porcine (pig)-derived protein.8, 9, 10
The ability to reconstruct the tissues in an area that was previously infected by periodontitis serves as the ultimate acid test for regenerative achievement. Human recombinant platelet-derived growth factor (PDGF-BB), a protein that regulates cell growth and division, and beta tricalcium phosphate (β-TCP), a drug delivery system for bone, have been shown to accelerate clinical attachment level gains and significantly increase bone growth in severe periodontal defects.11 Recombinant human platelet-derived growth factor (rhPDGF-BB) and enamel matrix derivative (EMD) have demonstrated tissue regeneration when used adjacent to a previously diseased root surface.8, 9, 10


Histologic evidence from a recent study shows that regeneration can be achieved with rhPDGF-BB, β-TCP, and collagen in gingival recession-type defects.12 Gingival recession defects have been treated successfully with rhPDGF, β-TCP and a collagen membrane with a root coverage technique (Figures 6–7). This technique was compared to a subepithelial connective tissue graft within a case series,13 and more recently in a controlled clinical trial. The comparisons demonstrated that the growth factor technique was comparable to the others for root coverage outcomes.14 Many studies validate the use of EMD for periodontal and mucogingival defects.5, 6, 15 The histological article on EMD offers proof of principle for incredible quantities of true periodontal regeneration.16
During clinical regenerative therapies, maintaining adequate blood supply and providing appropriate scaffolding for new tissue formation are key.17 The successful use of recombinant growth factors depends on ensuring that the growth factor is present at the correct concentration and volume. It must then communicate properly with host cells for the appropriate amount of time and work with the host feedback mechanisms to alter activity during the different stages of wound healing. The optimal matrices are needed to carry and maintain these growth factors in the wound — to keep them present for the appropriate time and in efficacious concentrations. We must determine these factors through additional wound kinetic studies. The use of human recombinant growth factors has a promising future for reconstructive therapy in both periodontics and implant dentistry by influencing the early stages of wound healing.
The use of autologous leukocyte rich platelet rich fibrin (l-PRF) has been in vogue in both clinical applications and scientific research over the past few years. This is because l-PRF has been well documented to release various growth factors found in whole blood. These growth factors include VEGF, TGF, BMP and PDGF, among others. There have also been many in vitro, animal studies and in vivo studies that have demonstrated the ability of l-PRF to trigger both hard tissue and soft tissue healing and regeneration.18 It would then follow that the use of l-PRF may be a helpful adjunct to both hard and soft tissue periodontal procedures.
Despite the renewed interest in the subject, there have been few randomized controlled trials that demonstrate the superiority of l-PRF to conventional techniques in the periodontal and oral surgery literature. One such study demonstrated the ability of l-PRF to augment multiple teeth recession defects to a comparable degree to using a conventional connective tissue graft, without the need for a secondary surgical site.19
Review articles analyzing multiple prospective trials and a few randomized controlled trials demonstrate that l-PRF may be useful in augmenting hard tissue healing and osseointegration around dental implants. In one article, it was postulated that the addition of the l-PRF released and recruited autologous growth factors to have a positive effect on bone regeneration and osseointegration.20 More research is needed to further validate I-PRF as a major factor for tissue regeneration.
Live Cell-Based Therapies
Effective augmentation techniques to treat more challenging esthetic concerns, such as open interproximal spaces and other severe oral soft-tissue deficiencies, are not currently available. Cell-based therapies may change this. Live cell-based therapy delivers multiple growth factors and can communicate more dynamically with host cells.
This facet of oral soft-tissue engineering involves the implantation of live cell-based skin substitutes or the in vitro construction of an autologous, transplantable vital tissue. Historically, one of the first bioengineered skin substitutes consisted of autologous expanded fibroblast grown from the patient’s own biopsies. One of the first dental studies using this autologous fibroblast transplantation evaluated the ability to expand interdental gingival soft tissue deficiencies.
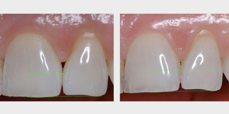
Results showed the injection of autologous fibroblasts created significant improvement when compared to a placebo. Prior to the injection of these expanded fibroblasts, a “priming” procedure was performed in the papillary region to create an inflammatory response. The theory was to develop temporary increased tissue volume by causing inflammation, thus enabling the injection of more volume of the concentrated cell suspension. The cells were delivered 5-7 days after the priming procedure and then again at two other times following the first injection. The subjects were assessed at two, three and four months after the injections. Preliminary results indicate a novel tissue-engineering technique may hold promise in resolving the challenging open interproximal space.21 Further research is under way to evaluate this as a predictable therapy (Figs. 4A-4B).
Our research team is involved with new clinical trials to evaluate amniotic cells for furcation regeneration that will begin to validate the use of these allograft growth factors for periodontal regeneration in a critical furcation model, which is a challenging defect to resolve. Others have published extensively on the use of amniotic allografts factors in dentistry and we are excited to test these materials in a controlled trial.22
Other studies are being conducted on the use of dermal substitutes containing fibroblasts to treat gingival recession and attachment loss defects where no attached gingiva is present. While results were average, the technology holds promise in developing new attached gingiva when compared to the free autogenous graft.23 Unfortunately, this product is no longer available in the marketplace.
A study was conducted to evaluate the safety and efficacy of another live cell material, bi-layered cell therapy (BCT). This was compared to a free gingival graft in generating attached and keratinized gingiva around teeth not requiring root coverage.24 To date, preliminary periodontal results appear encouraging and, based on these early findings, a large multicenter trial was published revealing the clinical efficacy of this live cell technology.25 These therapies need to be validated with human histology and other well-controlled, randomized clinical trials. An unpublished study has provided us profound human histology for bone regeneration in the extraction site and sinus with rhBMP2 (Figs. 5A-5B).26, 27

Future Holds Promise
New technologies will allow dental professionals to more predictably restore lost tissues around teeth and dental implants that have suffered tissue losses from disease, trauma, pathology and/or treatment failure. Further investigation with recombinant growth factors and live cell therapy needs to be conducted to support these methods for everyday clinical practice. Our research center is very busy with TE projects that will help bring new products to clinical implementation. With recent engagement from the National Institute of Dental and Craniofacial Research, many projects are underway.

Implanting live cells is a new dimension of treatment. The hope is that the live cells will communicate with native cells, optimizing the influx of metabolically active molecules at the appropriate time and in the quantity required by the wound. It will not be long before live cell technologies are routinely available in the dental office. These technologies not only deliver growth factors but also provide a template for cell migration, adhesion, proliferation and differentiation, thus optimizing the site-specific regenerative response.
During the next decade, the dental team will be able to rewrite some of the rules of regeneration, providing therapies with fewer side effects, less interventions, shorter treatment times and optimal predictability. As we continue our quest for the ultimate regenerative response, there is no doubt that tissue engineering will play a profound role in the future, providing tomorrow’s clinician with bioactive materials that strongly influence the treatment outcome for the dental team and most importantly — the patient.
References
- Nyman, S., Lindhe, J., Karring, T., & Rylander, H. (1982). New attachment following surgical treatment of human periodontal disease. Journal of Clinical Periodontology, 9(4), 290-296.
- Gottlow, J., Nyman, S., Lindhe, J., Karring, T., & Wennström, J. (1986). New attachment formation in the human periodontium by guided tissue regeneration Case reports. Journal of Clinical Periodontology, 13(6), 604-616.
- Cortellini, P., Clauser, C., & Prato, G. P. (1993). Histologic assessment of new attachment following the treatment of a human buccal recession by means of a guided tissue regeneration procedure. Journal of Periodontology, 64(5), 387-391.
- Mellonig, J. T., & Nevins, M. (1995). Guided bone regeneration of bone defects associated with implants: an evidence-based outcome assessment. International Journal of Periodontics & Restorative Dentistry, 15(2).
- Scheyer, E. T., Velasquez‐Plata, D., Brunsvold, M. A., Lasho, D. J., & Mellonig, J. T. (2002). A clinical comparison of a bovine‐derived xenograft used alone and in combination with enamel matrix derivative for the treatment of periodontal osseous defects in humans. Journal of Periodontology, 73(4), 423-432.
- Velasquez‐Plata, D., Todd Scheyer, E., & Mellonig, J. T. (2002). Clinical comparison of an enamel matrix derivative used alone or in combination with a bovine‐derived xenograft for the treatment of periodontal osseous defects in humans. Journal of Periodontology, 73(4), 433-440.
- Cochran, D. L., Oh, T. J., Mills, M. P., Clem, D. S., McClain, P. K., Schallhorn, R. A., … & Takemura, A. (2016). A randomized clinical trial evaluating rh-FGF-2/β-TCP in periodontal defects. Journal of Dental Research, 95(5), 523-530.
- Nevins, M. (2003). Periodontal regeneration in human Class II furcations using purified recombinant human platelet-derived growth factor-BB (rhPDGF-BB) with bone allograft. Graft, 23, 213-225.
- Nevins, M., Camelo, M., Nevins, M. L., Schenk, R. K., & Lynch, S. E. (2003). Periodontal regeneration in humans using recombinant human platelet‐derived growth factor‐BB (rhPDGF‐BB) and allogenic bone. Journal of Periodontology, 74(9), 1282-1292.
- Yukna, R. A., & Mellonig, J. T. (2000). Histologic evaluation of periodontal healing in humans following regenerative therapy with enamel matrix derivative. A 10‐case series. Journal of Periodontology, 71(5), 752-759.
- Nevins, M., Giannobile, W. V., McGuire, M. K., Kao, R. T., Mellonig, J. T., Hinrichs, J. E., … & Lynch, S. E. (2005). Platelet‐derived growth factor stimulates bone fill and rate of attachment level gain: Results of a large multicenter randomized controlled trial. Journal of Periodontology, 76(12), 2205-2215.
- McGuire, M. K., Scheyer, E. T., Nevins, M., & Schupbach, P. (2009). Evaluation of human recession defects treated with coronally advanced flaps and either purified recombinant human platelet-derived growth factor-BB with beta tricalcium phosphate or connective tissue: a histologic and microcomputed tomographic examination. International Journal of Periodontics & Restorative Dentistry, 29(1).
- McGuire, M. K., & Scheyer, E. T. (2006). Comparison of recombinant human platelet-derived growth factor-BB plus beta tricalcium phosphate and a collagen membrane to subepithelial connective tissue grafting for the treatment of recession defects: a case series. International Journal of Periodontics & Restorative Dentistry, 26(2).
- McGuire, M. K., Scheyer, E. T., & Schupbach, P. (2009). Growth factor–mediated treatment of recession defects: a randomized controlled trial and histologic and microcomputed tomography examination. Journal of Periodontology, 80(4), 550-564.
- McGuire, M. K., & Nunn, M. (2003). Evaluation of human recession defects treated with coronally advanced flaps and either enamel matrix derivative or connective tissue. Part 1: Comparison of clinical parameters. Journal of Periodontology, 74(8), 1110-1125.
- McGuire, M. K., Scheyer, E. T., & Schupbach, P. (2016). A prospective, case‐controlled study evaluating the use of enamel matrix derivative on human buccal recession defects: a human histologic examination. Journal of Periodontology, 87(6), 645-653.
- Cochran, D. L., & Wozney, J. M. (1999). Biological mediators for periodontal regeneration. Periodontology 2000, 19, 40-58.
- Anitua, E., Andia, I., Ardanza, B., Nurden, P., & Nurden, A. T. (2004). Autologous platelets as a source of proteins for healing and tissue regeneration. Thrombosis and Haemostasis, 91(01), 4-15.
- Periodontology, K. M., & Karatay, A. (2017). The use of platelet-rich fibrin versus subepithelial connective tissue graft in treatment of multiple gingival recessions: a randomized clinical trial. Int J Periodontics Restorative Dent, 37, 265-71.
- Castro, A. B., Meschi, N., Temmerman, A., Pinto, N., Lambrechts, P., Teughels, W., & Quirynen, M. (2017). Regenerative potential of leucocyte‐and platelet‐rich fibrin. Part B: sinus floor elevation, alveolar ridge preservation and implant therapy. A systematic review. Journal of Clinical Periodontology, 44(2), 225-234.
- McGuire, M. K., & Scheyer, E. T. (2007). A randomized, double‐blind, placebo‐controlled study to determine the safety and efficacy of cultured and expanded autologous fibroblast injections for the treatment of interdental papillary insufficiency associated with the papilla priming procedure. Journal of Periodontology, 78(1), 4-17.
- Holtzclaw, D. J., & Toscano, N. J. (2013). Amnion–chorion allograft barrier used for guided tissue regeneration treatment of periodontal intrabony defects: A retrospective observational report. Clinical Advances in Periodontics, 3(3), 131-137.
- McGuire, M. K., & Nunn, M. (2003). Evaluation of human recession defects treated with coronally advanced flaps and either enamel matrix derivative or connective tissue. Part 1: Comparison of clinical parameters. Journal of Periodontology, 74(8), 1110-1125.
- McGuire, M. K., Scheyer, E. T., Nunn, M. E., & Lavin, P. T. (2008). A pilot study to evaluate a tissue‐engineered bilayered cell therapy as an alternative to tissue from the palate. Journal of Periodontology, 79(10), 1847-1856.
- McGuire, M. K., Scheyer, E. T., Nevins, M. L., Neiva, R., Cochran, D. L., Mellonig, J. T., … & Bates, D. (2011). Living cellular construct for increasing the width of keratinized gingiva: Results from a randomized, within‐patient, controlled trial. Journal of Periodontology, 82(10), 1414-1423.
- Scheyer ET, McGuire MK. “An open label, non randomized, single arm, multi-center study to assess sinus augmentation (sinus lift) utilizing INFUSE® Bone Graft concurrent with dental implant placement.” In Press.
- Scheyer, E. T., Lipton, D. I., McGuire, M. K., Calahan, B. G., Demetter, R. S., & Mealey, B. L. (2020). Histologic Evaluation of rhBMP-2 in an Extraction Site Model in the Esthetic Zone: A Series of 16 Cases Preparing for Implant Placement. International Journal of Periodontics & Restorative Dentistry, 40(2).
SPEAR campus
Hands-On Learning in Spear Workshops
With enhanced safety and sterilization measures in place, the Spear Campus is now reopened for hands-on clinical CE workshops. As you consider a trip to Scottsdale, please visit our campus page for more details, including information on instructors, CE curricula and dates that will work for your schedule.

By: E. Todd Scheyer
Date: October 11, 2019
Featured Digest articles
Insights and advice from Spear Faculty and industry experts


