Basics of Layering Composites in the Esthetic Zone
Most dentists are not layering composites because they weren’t trained. Learning a new system amid day-to-day practice management can seem overwhelming. Maybe you’ve tried to layer a few anterior composites, but you can’t figure out what went wrong. You’ve seen all those fancy composites on Instagram , and you’re dying to know how they do it.

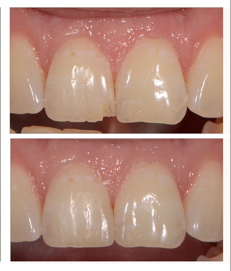
We use one shade/translucency in traditional posterior composites because they don’t have to look completely natural. If you use one shade in anterior restorations, you’ll see that line between the tooth and composite. It’s time to eliminate that line by layering composites correctly. To improve your anterior composites, you need to first understand the basics of tooth anatomy so that you comprehend what we’re trying to recreate. At the risk of really oversimplifying things, let’s review the basics of tooth anatomy.
Natural Teeth
Natural teeth have dentin and enamel. Dentin is more opaque than enamel and holds most of the color (chroma). Enamel is more translucent and provides the cool opalescent effect. Light passes through the translucent enamel and reflects the color of the dentin. That’s all you need to know for most anterior composites.

The properties of natural teeth change with age and wear. Young teeth are brighter, have more enamel, and have more translucency at the incisal edge. As the incisal edges of teeth wear with age, the enamel wears off, and the dentin comes closer to the edge of the tooth. Older patients will have thinner enamel, which means the dentin layer is closer to the tooth’s surface and will be more chromatic/darker.
Esthetic Composite
Esthetic composite comes in different translucencies, opacities, and color modifiers (tints) so we can recreate the properties of natural teeth. They make it this way, so once you understand tooth anatomy, you can replace what is missing.
Just like in nature, dentin composite is more opaque and chromatic. Enamel composite is more translucent, allowing the dentin chroma to show through. We use the variations of opacities, translucencies and color modifiers to enhance a desired effect like white spots, halos and craze lines. We can also use these composites to mask discolored areas, amalgam stains, and implant abutments.

Putting It All Together
A natural-looking restoration is much more about matching value than hue, or controlling the amount of light that passes through (or doesn’t pass through) the material.
If you’ve been layering different hues (A2/A3) but haven’t been focused on the value of your materials, you’ve probably discovered your restorations still don’t look right. Understanding how natural teeth wear will help you learn how to layer your composite. The enamel layer should be thinner in an older tooth than in a younger tooth. Layering the composite this way helps control the restoration’s value, independent of your chosen hue.
Always remember that dentin is more opaque than enamel. If you want to mask the junction between composite and natural tooth, you must make sure the fake opaque dentin blends over the natural opaque dentin.
To summarize, here are the important things you need to know about layering esthetic composites:
- Enamel is translucent and provides a natural looking luster/opalescence
- Dentin is about 20% more opaque than enamel
- “Effect” composites accentuate the translucency and opaqueness of enamel and dentin layers
- Opaquers help block out ugly stuff (stains, posts and pins)
- The hues (A1, A3, etc.) are least important
If you want to be a top-tier dentist, having a transition line in your anterior composites is unacceptable. Now that you understand the basics, it’s time to try it. You can also read about the “Dentin Samich Technique” for a simple way to create a natural-looking restoration.
FOUNDATIONS MEMBERSHIP
New Dentist?
This Program Is Just for You!
Spear’s Foundations membership is specifically for dentists in their first 0–5 years of practice. For less than you charge for one crown, get a full year of training that applies to your daily work, including guidance from trusted faculty and support from a community of peers — all for only $599 a year.

By: Dawn Wehking
Date: February 26, 2020
Featured Digest articles
Insights and advice from Spear Faculty and industry experts


