Interproximal Contacts: Assessment and Adjustment
Achieving the desired outcome for the interproximal contact of an indirect restoration is a fundamental element in fabrication. Still, it tends to be a source of high tension between the dentist and laboratory technician because many variables can affect the degree of tightness/firmness of the interdental contact.
Setting expectations concerning interproximal contacts is an essential component in dentist-laboratory communication. If the contact is too light or is over-adjusted at the time of try-in, ceramic will need to be added to establish the correct tightness of the contact. After adding ceramic, another intraoral try-in is required to adjust and polish the interproximal surface. It is possible to adjust/polish, which may cause the need for another correction.
Every dentist will have their own expectation of how “tight” the contact should be. This article reviews how to establish an interproximal contact on the cast and how to check and troubleshoot what occurs clinically. If ceramic needs to be added, a protocol will be outlined for the procedure in the dental office or the laboratory if it is returned.
Establishing the Contact on the Cast
The accuracy of the “correct” tightness of the contact on the cast is improved if it is determined on a solid cast compared to a sectioned cast with removable components. Anytime a removable die on a cast increases the chance of it being different intra-orally. Follow these steps to check the interproximal contacts on the cast:
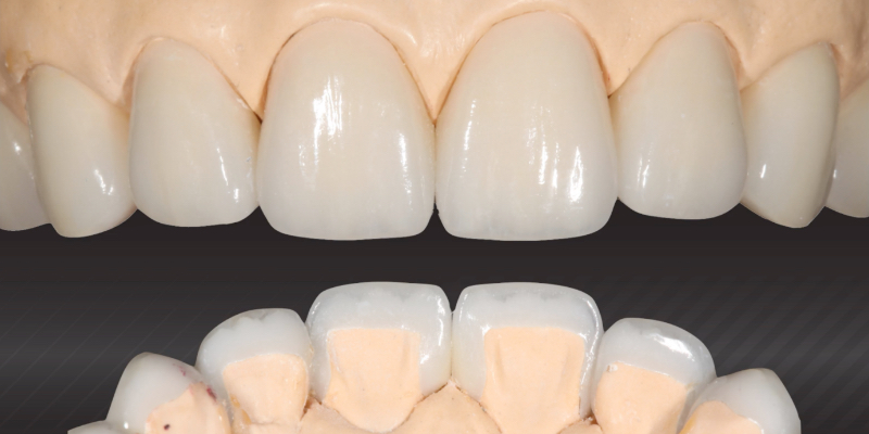
- Using magnification, determine whether all the restoration margins are closed. The marginal fit must be compared to how the restoration fits on the individual master die. They should be identical.
- How tight do you want the contact? Clinician preference must be established for the technician to create the desired outcome. The seated restoration on the cast can “hold” the articulating paper or shimstock from being pulled through. Allowing the articulating paper/shimstock to drag through with tension is also possible. Of course, there are varying degrees of tension.
If the articulating paper/shimstock can pass through the contact without tension, there will be a slight space between the restoration and the adjacent tooth. If this is the clinician’s preference, it is less likely that an intraoral adjustment will be required; however, it is more likely that the contact will be too light. The dental floss will not snap through the contact, depending on the thickness of the floss. Articulating paper varies in thickness depending on the brand — AccuFilm II from Parkell measures 21 microns. Shimstock Occlusion Foil measures eight microns.
Some suggest checking the contact on the cast using the same dental floss they use clinically. There is a significant difference between the solid cast, where nothing moves, and the mouth, where teeth have a periodontal ligament and therefore movement is possible. If the floss is used on a cast, it will guarantee an open contact clinically.
Clinically, checking the interdental contact is like checking it on the stone cast. First, could you confirm complete seating of the restoration by checking the marginal area? Second, dental floss is used to confirm the desired tension when snapping the floss through the interproximal contact. If the contact is too heavy, adjust the ceramic with a straight handpiece and medium polishing wheel (long shaft) operating at 5,000 to 8,000 rpm.
After achieving the desired contact, establish a high luster with a fine polishing wheel operating between 2,000 and 5,000 RPM. Brasseler USA recommends adjusting/polishing wheels: Dialite LD: W18MLD Medium (red) and Dialite LD: W18FLD Fine (yellow).
If the contact is too light, a ceramic addition is required. The procedure is the same whether done in the dental office or laboratory. I recommend that every dental office have the materials and equipment to do this process because it eliminates the need to reschedule the patient for an additional appointment.
An add-on ceramic is applied to the contact area, which fires lower than glaze temperature so the esthetic qualities will not change. Ivoclar Vivadent Programat P310 is a ceramic furnace recommendation. The ceramic used is IPS e.max Ceram Add-On for e.max restorations. After the addition of the ceramic, the contact is only checked intra-orally, not on the master cast.
Following these suggestions should increase the predictability of the desired interdental contacts and improve collaboration between the dentist and technician.
SPEAR ONLINE
Team Training to Empower Every Role
Spear Online encourages team alignment with role-specific CE video lessons and other resources that enable office managers, assistants and everyone in your practice to understand how they contribute to better patient care.

By: Robert Winter
Date: March 3, 2021
Featured Digest articles
Insights and advice from Spear Faculty and industry experts



