Diagnostic Wax-Up Fabrication: Pre-Restorative Treatment and Ortho
This article continues the series discussing diagnostic wax-ups (DWUs). The first article addressed why you should prescribe a DWU. The second began the discussion on when the diagnostic wax-up should be fabricated. Now, we’ll focus on fabricating the wax-up after a patient commits to treatment.

If the DWU is completed after the patient accepts the treatment plan, its fabrication timing depends on the treatment proposed and its phasing or sequencing. The DWU is used to confirm that the outcome of the planned treatment is achievable and to make treatment aids such as preparation reduction guides, stents, provisional restorations, and surgical guides.
The DWU can be fabricated:
- Pre-restorative treatment
- Pre, during, and/or post-orthodontic treatment
- Pre-and/or post-periodontal treatment
- Pre-and/or post-implant placement
Pre-Restorative Treatment
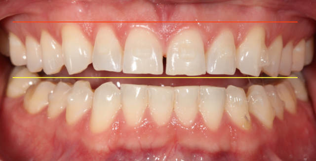
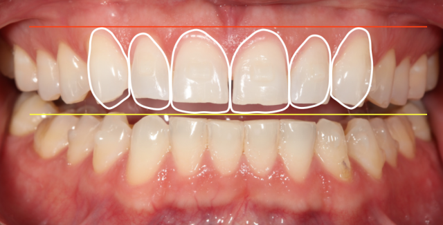
If the only treatment planned is restorative dentistry completed in one or multiple phases over a specific period, an ideal DWU should be completed on all the teeth involved. You’ll need to figure out the type of wax-up you’ll need to prescribe, either additive only or subtractive stone, followed by the addition of wax. I’ll be sure to explain the details associated with deciding the appropriate technique when making this decision in a subsequent article.
Pre, During, and Post Orthodontic Treatment
If orthodontic and restorative treatment is planned, the DWU can be fabricated during any phase of treatment. However, it’s recommended that the orthodontist complete an orthodontic set-up before treatment. This involves sectioning the stone cast tooth-by-tooth, then repositioning and aligning them on the cast and setting them with wax to simulate the desired outcome of orthodontic movement using existing tooth morphology. The goal of the setup is to visualize the proposed outcome before orthodontic movement of the teeth has begun.
Prescribing a Wax-Up Pre-Orthodontic Treatment
If a wax-up is prescribed pre-orthodontic treatment, there are two options to consider.
First, the wax-up can be prescribed to establish ideal tooth morphology (crown form). This would be done if the orthodontist wants the restorative dentist to establish ideal tooth morphology with interim direct composite bonding or provisional crowns. The technician must wax the crown form of the teeth to correspond to the long axis of the teeth.
Radiographs would be required to help the technician determine the tooth inclination. Technicians do not interpret radiographs, so close collaboration between the clinician and technician is required. When the wax-up is completed, it does not represent the final tooth arrangement, alignment, or occlusion; it only establishes individual tooth morphology.
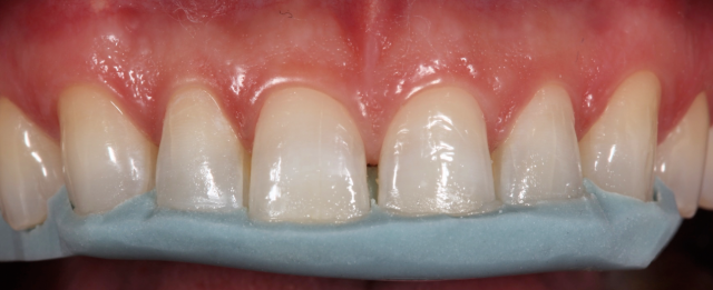
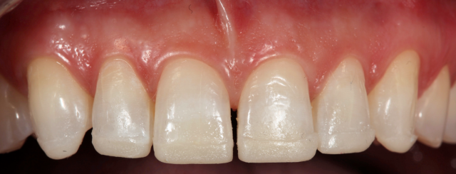
If the restorative dentist has planned interim direct-bonded restorations, the technician would utilize an additive-only technique. A copyplast stent or silicone matrix can be made from the wax-up to act as a mold for the restorative dentist when composites are bonded to the teeth. If existing crowns need to be removed or teeth prepared for structural reasons, provisional restorations should be fabricated using the stent and cemented with permanent cement.
Establishing the ideal tooth form before orthodontic treatment allows the orthodontist to level CEJs and incisal edges and close interdental spaces more efficiently.

The second reason is to do a wax-up with an orthodontic set-up to establish tooth morphology and position, and align teeth. The orthodontist may prescribe the orthodontic setup before beginning treatment using an additive wax technique.

A combination set-up and wax-up helps the technician and orthodontist visualize an orthodontic outcome that includes tooth morphology and alignment/position changes before beginning treatment. This approach is best suited for cases requiring minor changes in tooth form.
Prescribing a Wax-Up During Orthodontic Treatment
In more complex cases where significant tooth movement is required, or greater tooth form changes are needed to restore ideal tooth proportions, a DWU is recommended after initial movement of the teeth, but before completion of orthodontic treatment.
The brackets may be removed to achieve a more accurate impression of the cast used to make the DWU. The DWU is completed, establishing ideal tooth morphology. The restorative dentist makes a silicone index from the DWU and uses it as a mold to bond composite resin.
The bonded composite resin restoration(s) may be interim or definitive. The orthodontist then completes the final alignment and leveling of the restored teeth.



Prescribing a Wax-Up Post-Orthodontic Treatment
A diagnostic wax-up may be completed post-orthodontic treatment if restorative treatment is planned. The wax-up would follow the same protocols as in pre-restorative treatment.

The following article in the series will continue discussing the timing of the completion of the diagnostic wax-up when periodontal and implant procedures will be performed.
SPEAR campus
Hands-On Learning in Spear Workshops
With enhanced safety and sterilization measures in place, the Spear Campus is now reopened for hands-on clinical CE workshops. As you consider a trip to Scottsdale, please visit our campus page for more details, including information on instructors, CE curricula and dates that will work for your schedule.

By: Robert Winter
Date: February 11, 2018
Featured Digest articles
Insights and advice from Spear Faculty and industry experts


