The Importance and Strategy Behind Custom Incisal Guide Tables
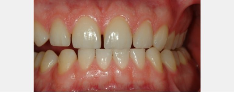
Custom anterior guide tables are the key to achieving more predictability for indirect restorations. Dr. Jeff Bonk explains why and how to use them.
The Pursuit of Great Dentistry
The Pursuit of Great Dentistry
Custom anterior guide tables are the key to achieving more predictability for indirect restorations. Dr. Jeff Bonk explains why and how to use them.
Dr. Bob Winter highlights why radiographic assessment before cementation for indirect restorations is unreliable and, therefore, not recommended.
Why are dental caries on the rise? Visiting faculty Dr. Jeff Lineberry discusses the causes behind the increase in decay.
Get insights into the importance of dentists taking vacation time from resident faculty Dr. Martin Mendelson.
Dr. Doug Benting explores the vertical and horizontal space considerations for locator-assisted or supported removable prostheses.
Are you considering buying an existing practice or starting one from scratch? Dr. Carl Steinberg shares 40+ years of wisdom for doctors taking the leap.
Follow Dr. Darin Dichter as he outlines current loading protocols and recommendations for implant overdentures, based on current literature.
Looking to land the right job at the right dental practice? Dr. Andy Janiga shares his tips for new dentists and recent dental school grads.
Dr. Frank Spear explores considerations for pandemic-induced increases in bruxism—and discusses how the co-diagnosis approach can inspire action.
Meet Dr. Daniel Balderrama, an Illinois-based practice owner and Spear member who transformed his team through continuing education with Spear.
End of content
End of content
Deliver Exceptional Patient Care and Take the Next Steps
7201 E. Princess Blvd, Scottsdale, AZ 85255
Phone: 866.781.0072 | Fax: 480.588.9072
User Agreement & Policies | Accessibility | Sitemap
© Copyright Spear Education, LLC, All rights reserved
Spear Education
Nationally Approved PACE Program
Provider for FAGD/MAGD credit.
Approval does not imply acceptance by
any regulatory authority or AGD endorsement.
4/1/2025 to 03/31/2028
Provider ID# 219029
7201 E. Princess Blvd, Scottsdale, AZ 85255
Phone: 866.781.0072 | Fax: 480.588.9072
User Agreement & Policies | Accessibility | Sitemap
© Copyright Spear Education, LLC, All rights reserved
Spear Education
Nationally Approved PACE Program
Provider for FAGD/MAGD credit.
Approval does not imply acceptance by
any regulatory authority or AGD endorsement.
4/1/2025 to 03/31/2028
Provider ID# 219029
7201 E. Princess Blvd, Scottsdale, AZ 85255
Phone: 866.781.0072 | Fax: 480.588.9072
User Agreement & Policies | Accessibility | Sitemap
© Copyright Spear Education, LLC, All rights reserved
Spear Education
Nationally Approved PACE Program
Provider for FAGD/MAGD credit.
Approval does not imply acceptance by
any regulatory authority or AGD endorsement.
4/1/2025 to 03/31/2028
Provider ID# 219029