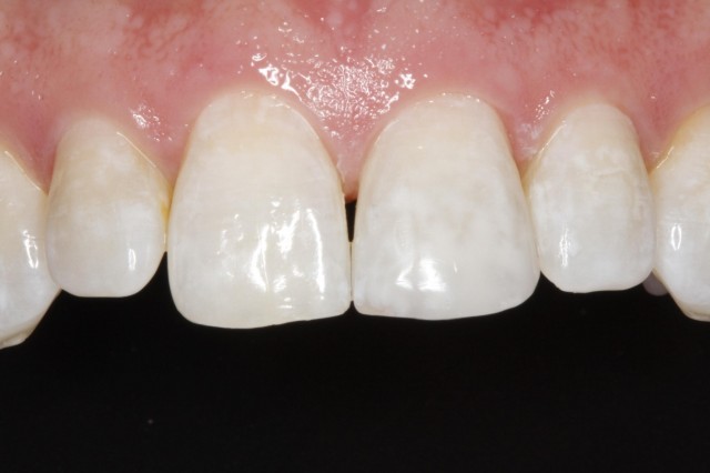
Why You Should Be Using Glycerin on Your Composite Restorations
Dr. Gregg Kinzer discusses composite restorations and the use of glycerin to get a harder composite surface.
The Pursuit of Great Dentistry
The Pursuit of Great Dentistry
Dr. Gregg Kinzer discusses composite restorations and the use of glycerin to get a harder composite surface.
This article will help you analyze your protocol for placing composites and determine what you might need to change to minimize sensitivity and streamline your technique.
In this article, Dr. Frank Spear explains how to eliminate sensitivity after placing direct composites.
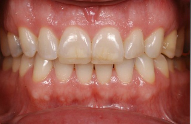
Is composite sensitivity just a fact of life? It doesn’t have to be if you follow these four tips.
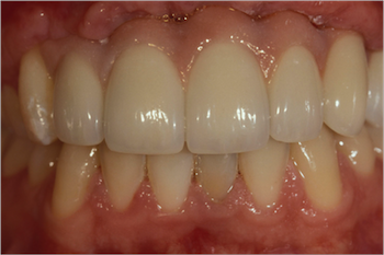
Consistently incorporating these 8 simple steps will allow you to actually look forward to “emergency” anterior composite cases.
What dental composites should you use? And what should you look for when shopping around? This article answers those questions.
Here are four composite restoration products that will help you take your dentistry to the next level.
Direct posterior resin is a mainstay in clinical practice. However, it is not uncommon for clinicians to struggle creating consistently tight interproximal contacts.
Pink Ceramic vs. Pink Composite for Soft Tissue Simulation There is the need at times to simulate soft tissue with artificial materials because of ridge or papillae deficiencies. One of the goals of the restorative clinician is to create a long-term outcome for patients that requires minimal or no professional maintenance of the prosthesis. The…
Choose Your Membership Spear memberships offer access to clinical and leadership courses, virtual and live events, community discussions and practice growth support. View a Full List of Features Looking for a plan for your DSO? Contact Us Need Help Choosing? Our education specialists are here to help you find the perfect membership for your needs…
End of content
End of content
Deliver Exceptional Patient Care and Take the Next Steps
7201 E. Princess Blvd, Scottsdale, AZ 85255
Phone: 866.781.0072 | Fax: 480.588.9072
User Agreement & Policies | Accessibility | Sitemap
© Copyright Spear Education, LLC, All rights reserved
Spear Education
Nationally Approved PACE Program
Provider for FAGD/MAGD credit.
Approval does not imply acceptance by
any regulatory authority or AGD endorsement.
4/1/2025 to 03/31/2028
Provider ID# 219029
7201 E. Princess Blvd, Scottsdale, AZ 85255
Phone: 866.781.0072 | Fax: 480.588.9072
User Agreement & Policies | Accessibility | Sitemap
© Copyright Spear Education, LLC, All rights reserved
Spear Education
Nationally Approved PACE Program
Provider for FAGD/MAGD credit.
Approval does not imply acceptance by
any regulatory authority or AGD endorsement.
4/1/2025 to 03/31/2028
Provider ID# 219029
7201 E. Princess Blvd, Scottsdale, AZ 85255
Phone: 866.781.0072 | Fax: 480.588.9072
User Agreement & Policies | Accessibility | Sitemap
© Copyright Spear Education, LLC, All rights reserved
Spear Education
Nationally Approved PACE Program
Provider for FAGD/MAGD credit.
Approval does not imply acceptance by
any regulatory authority or AGD endorsement.
4/1/2025 to 03/31/2028
Provider ID# 219029