5 Elements of the ‘Less is More’ Approach in Interdisciplinary Treatment
German-American architect Ludwig Mies van der Rohe, who is considered a pioneer of modernist architecture, adopted the term “less is more” to describe the esthetic principle of his work. The concept revolved around deliberately including only the essential components of a building to create an element of extreme simplicity.
Conversely, over the years, dentists and dentistry alike have earned a reputation for consistently utilizing both invasive and aggressive techniques, which presents the notion of overtreating patients.
In today’s dental landscape, patients are becoming increasingly aware and sensitive to the implications of getting extensive dental work, and are more interested in conservative approaches to tackle their dental conditions.
While there is a pretty thin line between overtreatment and negligence, I would like to present a comprehensive “less is more” concept, as in architecture or design.
Conservative interdisciplinary dental treatment revolves around five fundamental pillars:
- Maintain the most tooth structure
- Minimize the number of teeth involved
- Utilize the least invasive techniques
- Delay treatment
- Phase treatment
#1: Maintain the most tooth structure
The full coverage restoration or crown has historically been one of the most popular dental solutions
to restore extensive decay, protect the tooth post-endodontic treatment, or as abutment teeth for
conventional, fixed partial dentures.
Conversely, an essential feature for these types of restorations is the preparation’s geometry, since it
needs to provide adequate forms of resistance and retention to prevent the restoration from dislodging.
However, with the advent of adhesive dentistry, the name of the game in retention is no longer about preparation geometry; according to restorative textbooks, we relied on a 3.5 mm preparation height and relatively parallel walls with a 6-degree tape. But now we rely on the substrate quality and the extent of the bonded surfaces.
A bonded overlay restoration can be perfectly suitable (Fig. 1) and predictably inserted to restore an endodontically treated tooth or a severely destroyed occlusal surface without the need to extend the preparation axially to the gingival margin.

By preserving all that sound tooth structure and keeping our adhesive restorative margins as high and dry as possible, we are consistently contributing to prolonging the tooth’s longevity, since eventually it is reasonable to consider that most restorations will require replacement.
The more soundly we preserve tooth structure, the more we delay the extractions and the need for implant placement. While implants are phenomenal solutions when teeth are lost (as I explained in my article The Biggest Dental Lie), implant-supported restorations should not be considered a “happily ever after” permanent solution, since they may also fail over time.
In fact, our aim should be that there is no better implant than the one we avoid placing.
#2: Minimize the number of teeth involved
In another article, Patient Communication in the Age of Information, I discuss how immediate gratification is one of the traits of the age. Patients are looking for fast dental makeovers that often require removing tooth structure, which potentially could be managed by orthodontically aligning teeth to improve their position without the need for restorative materials.
When patients are unsatisfied with the esthetic appearance of their smile and are seeking restorative work, it makes perfect sense to minimize the number of teeth involved. By using more conservative approaches — such as bleaching, reshaping, or small composite restorations — we often do not need to involve all the anterior teeth.
With the advent of osseointegrated implants, dentists have become increasingly cautious about removing sound tooth structure on virgin teeth to provide fixed partial dentures. Our ability to replace missing teeth with implants allows us to preserve the integrity of these teeth, which unquestionably represents a more favorable prognosis (Fig. 2).

#3: Utilize the least invasive techniques
Just as we favor being minimally invasive when dealing with tooth reduction and the number of teeth involved, technology has provided the dental team with modern armamentaria that allows us to perform procedures with the most conservative approach.
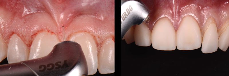
Examples include guided implant placement surgery that allows us to do minimal flaps when possible (Fig. 3), development of instruments that allow us to perform mucogingival microsurgery, utilizing laser units to perform gingivectomies and frenectomies, and those that help us remove old ceramic veneers without running the risk of overpreparing sound tooth structure underneath the previous restorations (Fig. 4).
Performing microscopic dentistry provides an incredible avenue to be as minimally invasive as possible.


#4: Delaying dental treatment
With life expectancy on the rise, dentists need to develop long-term strategies to keep teeth healthier. The best way we can substantially contribute to this endeavor is by delaying elective therapy and diligently working to create a culture of prevention within the patient population.
As for the ideal time for implant placement in congenitally missing teeth, particularly in the esthetic zone, numerous recent scientific publications have addressed a condition called continuous craniofacial growth.
This condition may affect esthetic results in patients with single-tooth implant restorations in the esthetic zone, as gingival margin and incisal edge discrepancies are more likely to occur later. While this may not be an issue for patients with a low lip line, we may want to be vigilant and caution patients, particularly female patients with long face syndrome (LFS).
By delaying implant placement in younger individuals, dentists need to develop strategies to keep teeth healthier for the long term. Single retainer bonded bridges have proven to be an excellent solution for these patients.
#5: Phasing treatment
For many patients, the most common deterrent to undergoing dental treatment is either a lack of time or a lack of financial means — especially for extensive treatment, even when patients fully understand they may require a full arch or a full-mouth reconstruction. For these patients, and as the final pillar of our “less is more” philosophy, phasing therapy is a powerful strategy.
The idea is to break up treatment into sextants or quadrants, or even into a few teeth at a time. This allows the patient to undergo extensive treatment in a more controlled fashion, minimizing long appointments (Fig. 5).

All five of these pillars are pretty linear and contribute significantly to a consistent narrative that aligns the team to provide conservative interdisciplinary dental treatment.
To paraphrase Dr. Robert Barkley: The best dentist makes the patient worse at the slowest rate
possible.
SPEAR campus Workshops
Step Into a Place Built for Mastery
Step away from the noise of practice and into focused, immersive training that changes how you think, diagnose, and lead.

By: Ricardo Mitrani
Date: September 17, 2019
Featured Digest articles
Insights and advice from Spear Faculty and industry experts



