Customized Impression Coping for a Single Tooth Implant in a Maxillary Central Incisor
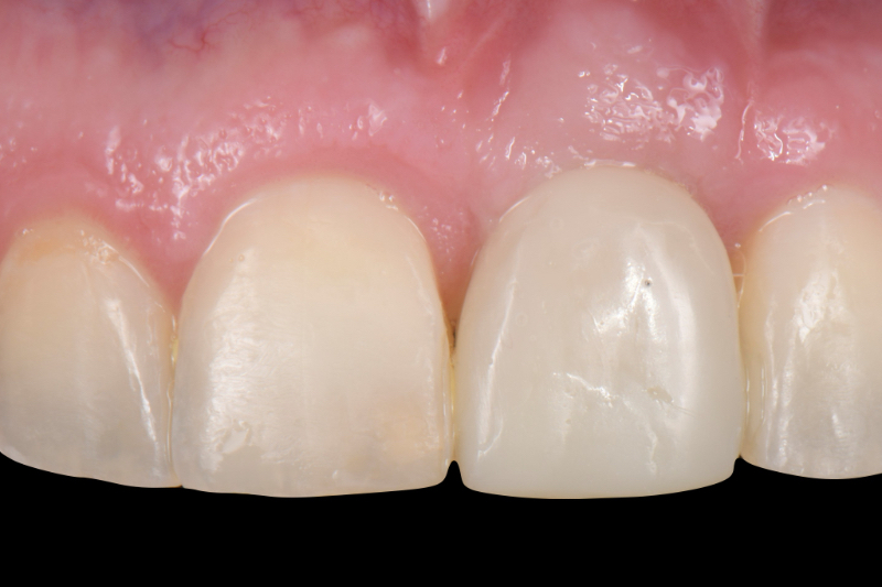
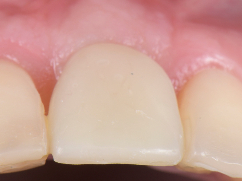
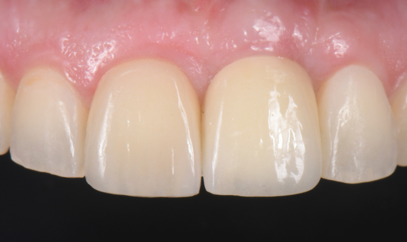
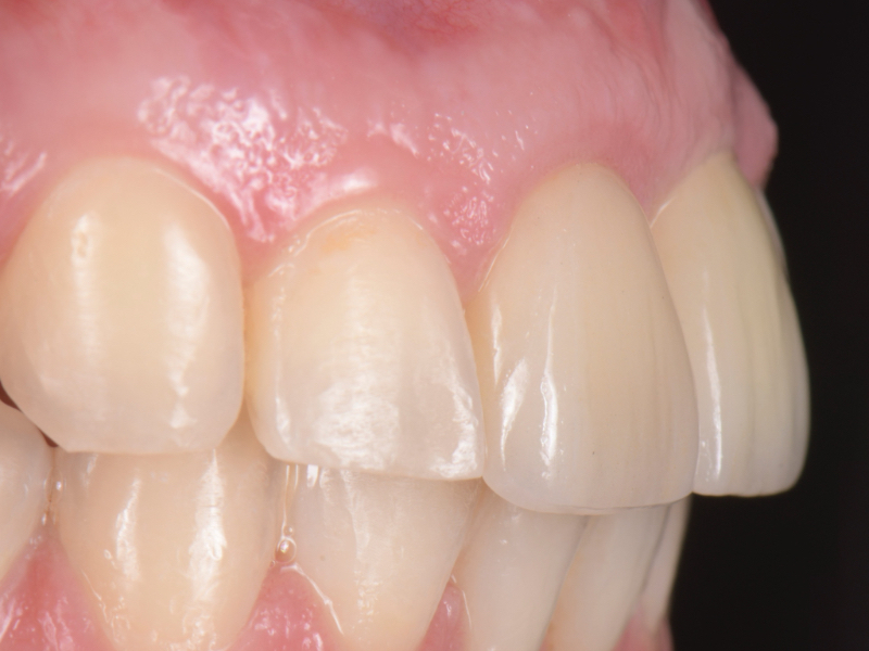
The esthetic success of an anterior implant-supported restoration mostly depends on having a soft-tissue architecture indistinguishable from the adjacent teeth. One of the most critical steps to achieve this “esthetic success” is correctly using the provisional restoration to optimize and properly contour (groom) the peri-implant tissue anatomy.
Once the optimal emergence profile has been developed, we need to communicate and transfer this information properly to the laboratory. Unfortunately, all implant companies provide stock round impression copings that do not precisely transfer the soft-tissue contours. A simple protocol to communicate this information is described here.
This visual essay walks through a step-by-step description of how to fabricate a personalized impression coping with transfer ofthe peri-implant tissue anatomy properly.




















A step-by-step technique for fabricating a personalized impression coping was described to optimize the transfer of the peri-implant soft tissue architecture to the laboratory.
SPEAR STUDY CLUB
Join a Club and Unite with
Like-Minded Peers
In virtual meetings or in-person, Study Club encourages collaboration on exclusive, real-world cases supported by curriculum from the industry leader in dental CE. Find the club closest to you today!

By: Ricardo Mitrani
Date: November 16, 2020
Featured Digest articles
Insights and advice from Spear Faculty and industry experts


